About   Help   FAQ
Gene Expression Data
Assay Details
Assay
Reference: J:228563 Koscielny G, et al., The International Mouse Phenotyping Consortium Web Portal, a unified point of access for knockout mice and related phenotyping data. Nucleic Acids Res. 2014 Jan;42(Database issue):D802-9
Assay type: In situ reporter (knock in)
MGI Accession ID: MGI:6691064
Gene symbol: Vps25
Gene name: vacuolar protein sorting 25
Reporter: lacZ
Direct Detection
Results
Specimen TCP_2459983: postnatal adult; Vps25tm1.1(KOMP)Vlcg/Vps25+ (more )
Structure Level Pattern Image Note
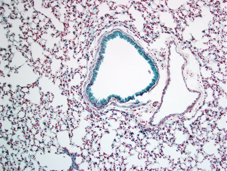
TS28: lung Present TCP_2459983

Specimen TCP_2459984: postnatal adult; Vps25tm1.1(KOMP)Vlcg/Vps25+ (more )
Structure Level Pattern Image Note
TS28: lung Present TCP_2459984

Specimen TCP_2459985: postnatal adult; Vps25tm1.1(KOMP)Vlcg/Vps25+ (more )
Structure Level Pattern Image Note
TS28: spinal cord Present TCP_2459985

Specimen TCP_2459986: postnatal adult; Vps25tm1.1(KOMP)Vlcg/Vps25+ (more )
Structure Level Pattern Image Note
TS28: spinal cord Present TCP_2459986

Specimen TCP_2459979: postnatal adult; Vps25tm1.1(KOMP)Vlcg/Vps25+ (more )
Structure Level Pattern Image Note
TS28: cerebellum Present TCP_2459979

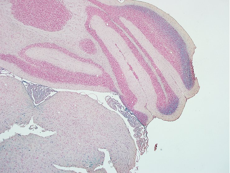
Specimen TCP_2459980: postnatal adult; Vps25tm1.1(KOMP)Vlcg/Vps25+ (more )
Structure Level Pattern Image Note
TS28: cerebellum Present TCP_2459980

Specimen TCP_2459981: postnatal adult; Vps25tm1.1(KOMP)Vlcg/Vps25+ (more )
Structure Level Pattern Image Note
TS28: hippocampus Present TCP_2459981

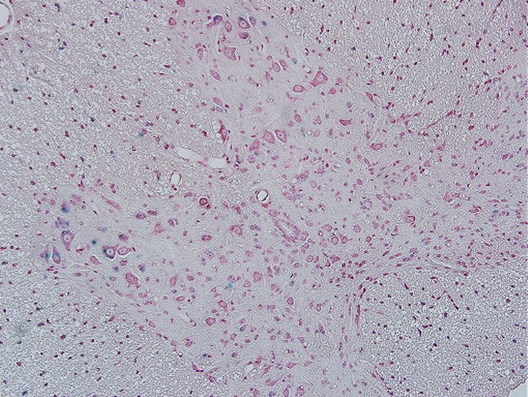
Specimen TCP_2459982: postnatal adult; Vps25tm1.1(KOMP)Vlcg/Vps25+ (more )
Structure Level Pattern Image Note
TS28: hippocampus Present TCP_2459982


Contributing Projects:
Mouse Genome Database (MGD), Gene Expression Database (GXD), Mouse Models of Human Cancer database (MMHCdb) (formerly Mouse Tumor Biology (MTB)), Gene Ontology (GO)
Citing These Resources
Funding Information
Warranty Disclaimer, Privacy Notice, Licensing, & Copyright
Send questions and comments to User Support.
last database update
12/30/2025
MGI 6.24
The Jackson Laboratory