About   Help   FAQ
Gene Expression Data
Assay Details
Assay
Reference: J:228563 Koscielny G, et al., The International Mouse Phenotyping Consortium Web Portal, a unified point of access for knockout mice and related phenotyping data. Nucleic Acids Res. 2014 Jan;42(Database issue):D802-9
Assay type: In situ reporter (knock in)
MGI Accession ID: MGI:6691054
Gene symbol: Adam26a
Gene name: ADAM metallopeptidase domain 26A
Reporter: lacZ
Direct Detection
Results
Specimen UC Davis_1868724: postnatal adult; Adam26atm1.1(KOMP)Vlcg/Adam26a+ (more )
Structure Level Pattern Image Note
TS28: esophagus Present UC Davis_1868724

Specimen UC Davis_1868725: postnatal adult; Adam26atm1.1(KOMP)Vlcg/Adam26a+ (more )
Structure Level Pattern Image Note
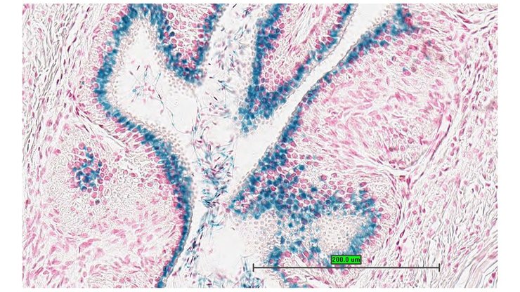
TS28: ileum Present UC Davis_1868725

Specimen UC Davis_1868726: postnatal adult; Adam26atm1.1(KOMP)Vlcg/Adam26a+ (more )
Structure Level Pattern Image Note
TS28: olfactory lobe Present UC Davis_1868726

Specimen UC Davis_1868727: postnatal adult; Adam26atm1.1(KOMP)Vlcg/Adam26a+ (more )
Structure Level Pattern Image Note
TS28: olfactory lobe Present UC Davis_1868727

Specimen UC Davis_1868716: postnatal adult; Adam26atm1.1(KOMP)Vlcg/Adam26a+ (more )
Structure Level Pattern Image Note
TS28: ileum Present UC Davis_1868716

Specimen UC Davis_1868717: postnatal adult; Adam26atm1.1(KOMP)Vlcg/Adam26a+ (more )
Structure Level Pattern Image Note
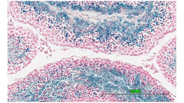
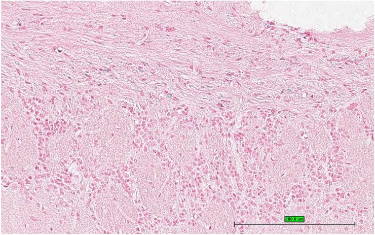
TS28: testis Present UC Davis_1868717

Specimen UC Davis_1868718: postnatal adult; Adam26atm1.1(KOMP)Vlcg/Adam26a+ (more )
Structure Level Pattern Image Note
TS28: testis Present UC Davis_1868718

Specimen UC Davis_1868719: postnatal adult; Adam26atm1.1(KOMP)Vlcg/Adam26a+ (more )
Structure Level Pattern Image Note
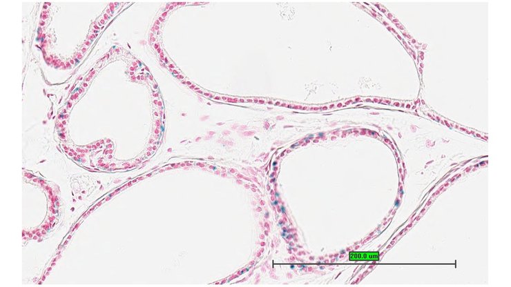
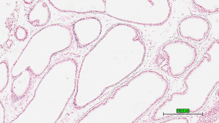
TS28: epididymis Present UC Davis_1868719

Specimen UC Davis_1868720: postnatal adult; Adam26atm1.1(KOMP)Vlcg/Adam26a+ (more )
Structure Level Pattern Image Note
TS28: epididymis Present UC Davis_1868720

Specimen UC Davis_1868721: postnatal adult; Adam26atm1.1(KOMP)Vlcg/Adam26a+ (more )
Structure Level Pattern Image Note
TS28: prostate gland Present UC Davis_1868721

Specimen UC Davis_1868722: postnatal adult; Adam26atm1.1(KOMP)Vlcg/Adam26a+ (more )
Structure Level Pattern Image Note
TS28: prostate gland Present UC Davis_1868722

Specimen UC Davis_1868723: postnatal adult; Adam26atm1.1(KOMP)Vlcg/Adam26a+ (more )
Structure Level Pattern Image Note
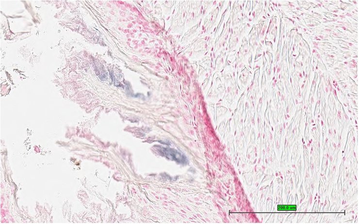
TS28: ductus deferens Present UC Davis_1868723 vas deferens


Contributing Projects:
Mouse Genome Database (MGD), Gene Expression Database (GXD), Mouse Models of Human Cancer database (MMHCdb) (formerly Mouse Tumor Biology (MTB)), Gene Ontology (GO)
Citing These Resources
Funding Information
Warranty Disclaimer, Privacy Notice, Licensing, & Copyright
Send questions and comments to User Support.
last database update
01/28/2026
MGI 6.24
The Jackson Laboratory