About   Help   FAQ
Gene Expression Data
Assay Details
Assay
Reference: J:228563 Koscielny G, et al., The International Mouse Phenotyping Consortium Web Portal, a unified point of access for knockout mice and related phenotyping data. Nucleic Acids Res. 2014 Jan;42(Database issue):D802-9
Assay type: In situ reporter (knock in)
MGI Accession ID: MGI:6691037
Gene symbol: Hsd17b1
Gene name: hydroxysteroid (17-beta) dehydrogenase 1
Reporter: lacZ
Direct Detection
Results
Specimen JAX_1124135: postnatal adult; Hsd17b1tm1.1(KOMP)Vlcg/Hsd17b1+ (more )
Structure Level Pattern Image Note
TS28: uterus Present JAX_1124135

Specimen JAX_1124137: postnatal adult; Hsd17b1tm1.1(KOMP)Vlcg/Hsd17b1+ (more )
Structure Level Pattern Image Note
TS28: ovary Present JAX_1124137

Specimen JAX_1124139: postnatal adult; Hsd17b1tm1.1(KOMP)Vlcg/Hsd17b1+ (more )
Structure Level Pattern Image Note
TS28: metanephros Present JAX_1124139 kidney

Specimen JAX_1124141: postnatal adult; Hsd17b1tm1.1(KOMP)Vlcg/Hsd17b1+ (more )
Structure Level Pattern Image Note
TS28: submandibular gland Present JAX_1124141

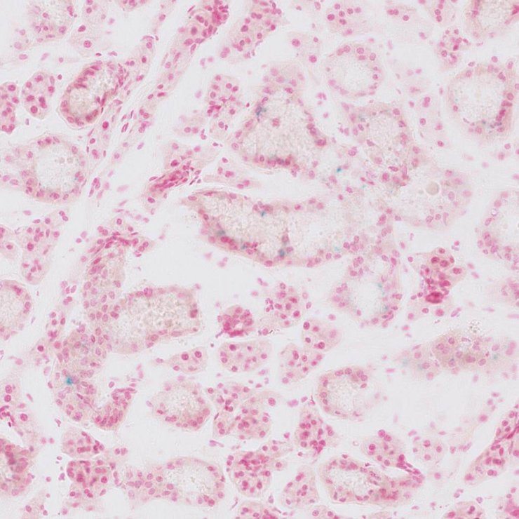
Specimen JAX_1124143: postnatal adult; Hsd17b1tm1.1(KOMP)Vlcg/Hsd17b1+ (more )
Structure Level Pattern Image Note
TS28: trachea Present JAX_1124143


Contributing Projects:
Mouse Genome Database (MGD), Gene Expression Database (GXD), Mouse Models of Human Cancer database (MMHCdb) (formerly Mouse Tumor Biology (MTB)), Gene Ontology (GO)
Citing These Resources
Funding Information
Warranty Disclaimer, Privacy Notice, Licensing, & Copyright
Send questions and comments to User Support.
last database update
12/30/2025
MGI 6.24
The Jackson Laboratory