About   Help   FAQ
Gene Expression Data
Assay Details
Assay
Reference: J:228563 Koscielny G, et al., The International Mouse Phenotyping Consortium Web Portal, a unified point of access for knockout mice and related phenotyping data. Nucleic Acids Res. 2014 Jan;42(Database issue):D802-9
Assay type: In situ reporter (knock in)
MGI Accession ID: MGI:6691020
Gene symbol: Lta
Gene name: lymphotoxin A
Reporter: lacZ
Direct Detection
Results
Specimen UC Davis_1872685: postnatal adult; Ltatm1.1(KOMP)Vlcg/Lta+ (more )
Structure Level Pattern Image Note
TS28: esophagus Present UC Davis_1872685

Specimen UC Davis_1872686: postnatal adult; Ltatm1.1(KOMP)Vlcg/Lta+ (more )
Structure Level Pattern Image Note
TS28: mesenteric lymph node Present UC Davis_1872686

Specimen UC Davis_1872687: postnatal adult; Ltatm1.1(KOMP)Vlcg/Lta+ (more )
Structure Level Pattern Image Note
TS28: spleen Present UC Davis_1872687

Specimen UC Davis_1872690: postnatal adult; Ltatm1.1(KOMP)Vlcg/Lta+ (more )
Structure Level Pattern Image Note
TS28: esophagus Present UC Davis_1872690

Specimen UC Davis_1872691: postnatal adult; Ltatm1.1(KOMP)Vlcg/Lta+ (more )
Structure Level Pattern Image Note
TS28: esophagus Present UC Davis_1872691

Specimen UC Davis_1872693: postnatal adult; Ltatm1.1(KOMP)Vlcg/Lta+ (more )
Structure Level Pattern Image Note
TS28: thymus Present UC Davis_1872693

Specimen UC Davis_1872694: postnatal adult; Ltatm1.1(KOMP)Vlcg/Lta+ (more )
Structure Level Pattern Image Note
TS28: thymus Present UC Davis_1872694

Specimen UC Davis_1872695: postnatal adult; Ltatm1.1(KOMP)Vlcg/Lta+ (more )
Structure Level Pattern Image Note
TS28: spleen Present UC Davis_1872695

Specimen UC Davis_1872696: postnatal adult; Ltatm1.1(KOMP)Vlcg/Lta+ (more )
Structure Level Pattern Image Note
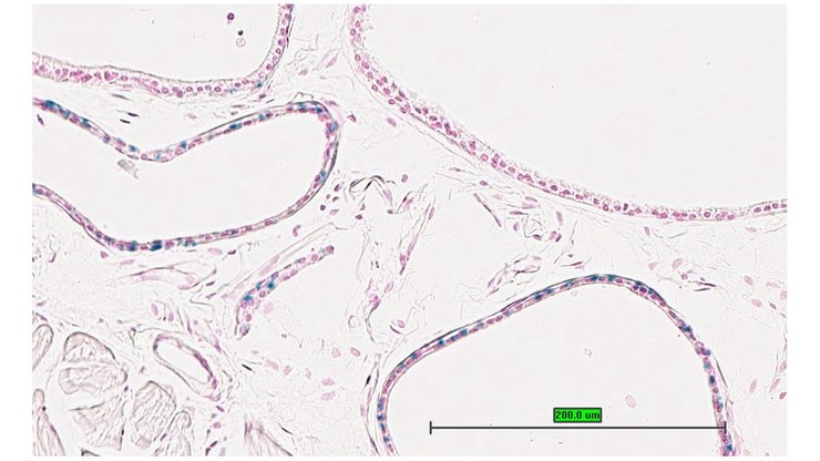
TS28: epididymis Present UC Davis_1872696

Specimen UC Davis_1872697: postnatal adult; Ltatm1.1(KOMP)Vlcg/Lta+ (more )
Structure Level Pattern Image Note
TS28: epididymis Present UC Davis_1872697

Specimen UC Davis_1872698: postnatal adult; Ltatm1.1(KOMP)Vlcg/Lta+ (more )
Structure Level Pattern Image Note
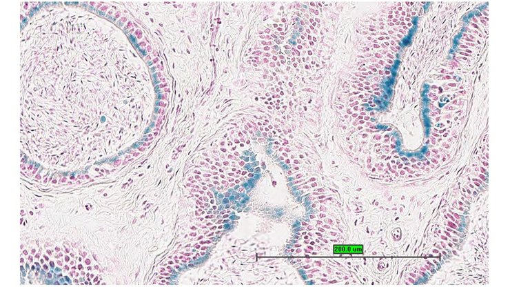
TS28: prostate gland Present UC Davis_1872698

Specimen UC Davis_1872699: postnatal adult; Ltatm1.1(KOMP)Vlcg/Lta+ (more )
Structure Level Pattern Image Note
TS28: prostate gland Present UC Davis_1872699

Specimen UC Davis_1872700: postnatal adult; Ltatm1.1(KOMP)Vlcg/Lta+ (more )
Structure Level Pattern Image Note
TS28: ductus deferens Present UC Davis_1872700 vas deferens


Contributing Projects:
Mouse Genome Database (MGD), Gene Expression Database (GXD), Mouse Models of Human Cancer database (MMHCdb) (formerly Mouse Tumor Biology (MTB)), Gene Ontology (GO)
Citing These Resources
Funding Information
Warranty Disclaimer, Privacy Notice, Licensing, & Copyright
Send questions and comments to User Support.
last database update
01/20/2026
MGI 6.24
The Jackson Laboratory