About   Help   FAQ
Gene Expression Data
Assay Details
Assay
Reference: J:228563 Koscielny G, et al., The International Mouse Phenotyping Consortium Web Portal, a unified point of access for knockout mice and related phenotyping data. Nucleic Acids Res. 2014 Jan;42(Database issue):D802-9
Assay type: In situ reporter (knock in)
MGI Accession ID: MGI:6691018
Gene symbol: Gpx4
Gene name: glutathione peroxidase 4
Reporter: lacZ
Direct Detection
Results
Specimen UC Davis_1888775: postnatal adult; Gpx4tm1.1(KOMP)Vlcg/Gpx4+ (more )
Structure Level Pattern Image Note
TS28: metanephros Present UC Davis_1888775 kidney

Specimen UC Davis_1888776: postnatal adult; Gpx4tm1.1(KOMP)Vlcg/Gpx4+ (more )
Structure Level Pattern Image Note
TS28: metanephros Present UC Davis_1888776 kidney

Specimen UC Davis_1888777: postnatal adult; Gpx4tm1.1(KOMP)Vlcg/Gpx4+ (more )
Structure Level Pattern Image Note
TS28: eye Present UC Davis_1888777

Specimen UC Davis_1888779: postnatal adult; Gpx4tm1.1(KOMP)Vlcg/Gpx4+ (more )
Structure Level Pattern Image Note
TS28: cerebellum Present UC Davis_1888779

Specimen UC Davis_1888780: postnatal adult; Gpx4tm1.1(KOMP)Vlcg/Gpx4+ (more )
Structure Level Pattern Image Note
TS28: trigeminal nerve Present UC Davis_1888780

Specimen UC Davis_1888758: postnatal adult; Gpx4tm1.1(KOMP)Vlcg/Gpx4+ (more )
Structure Level Pattern Image Note
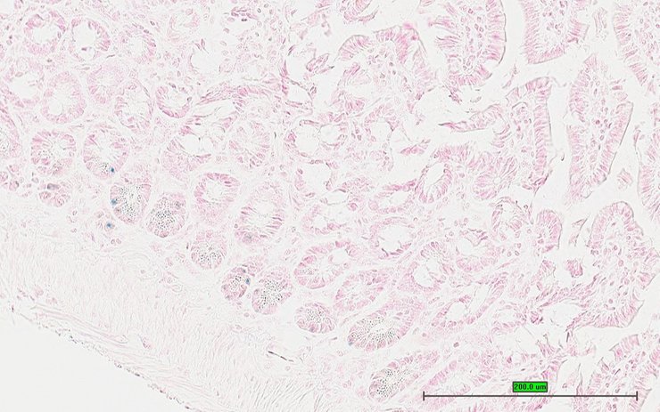
TS28: ileum Present UC Davis_1888758

Specimen UC Davis_1888759: postnatal adult; Gpx4tm1.1(KOMP)Vlcg/Gpx4+ (more )
Structure Level Pattern Image Note
TS28: metanephros Present UC Davis_1888759 kidney

Specimen UC Davis_1888760: postnatal adult; Gpx4tm1.1(KOMP)Vlcg/Gpx4+ (more )
Structure Level Pattern Image Note
TS28: eye Present UC Davis_1888760

Specimen UC Davis_1888761: postnatal adult; Gpx4tm1.1(KOMP)Vlcg/Gpx4+ (more )
Structure Level Pattern Image Note
TS28: eye Present UC Davis_1888761

Specimen UC Davis_1888764: postnatal adult; Gpx4tm1.1(KOMP)Vlcg/Gpx4+ (more )
Structure Level Pattern Image Note
TS28: midbrain Present UC Davis_1888764

Specimen UC Davis_1888765: postnatal adult; Gpx4tm1.1(KOMP)Vlcg/Gpx4+ (more )
Structure Level Pattern Image Note
TS28: midbrain Present UC Davis_1888765

Specimen UC Davis_1888767: postnatal adult; Gpx4tm1.1(KOMP)Vlcg/Gpx4+ (more )
Structure Level Pattern Image Note
TS28: cerebellum Present UC Davis_1888767

Specimen UC Davis_1888768: postnatal adult; Gpx4tm1.1(KOMP)Vlcg/Gpx4+ (more )
Structure Level Pattern Image Note
TS28: trigeminal nerve Present UC Davis_1888768

Specimen UC Davis_1888769: postnatal adult; Gpx4tm1.1(KOMP)Vlcg/Gpx4+ (more )
Structure Level Pattern Image Note
TS28: testis Present UC Davis_1888769

Specimen UC Davis_1888770: postnatal adult; Gpx4tm1.1(KOMP)Vlcg/Gpx4+ (more )
Structure Level Pattern Image Note
TS28: testis Present UC Davis_1888770

Specimen UC Davis_1888771: postnatal adult; Gpx4tm1.1(KOMP)Vlcg/Gpx4+ (more )
Structure Level Pattern Image Note
TS28: epididymis Present UC Davis_1888771

Specimen UC Davis_1888772: postnatal adult; Gpx4tm1.1(KOMP)Vlcg/Gpx4+ (more )
Structure Level Pattern Image Note
TS28: ductus deferens Present UC Davis_1888772 vas deferens


Contributing Projects:
Mouse Genome Database (MGD), Gene Expression Database (GXD), Mouse Models of Human Cancer database (MMHCdb) (formerly Mouse Tumor Biology (MTB)), Gene Ontology (GO)
Citing These Resources
Funding Information
Warranty Disclaimer, Privacy Notice, Licensing, & Copyright
Send questions and comments to User Support.
last database update
12/30/2025
MGI 6.24
The Jackson Laboratory