About   Help   FAQ
Gene Expression Data
Assay Details
Assay
Reference: J:228563 Koscielny G, et al., The International Mouse Phenotyping Consortium Web Portal, a unified point of access for knockout mice and related phenotyping data. Nucleic Acids Res. 2014 Jan;42(Database issue):D802-9
Assay type: In situ reporter (knock in)
MGI Accession ID: MGI:6691014
Gene symbol: Kcnj3
Gene name: potassium inwardly-rectifying channel, subfamily J, member 3
Reporter: lacZ
Direct Detection
Results
Specimen UC Davis_1864497: postnatal adult; Kcnj3tm1.1(KOMP)Vlcg/Kcnj3+ (more )
Structure Level Pattern Image Note
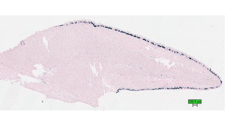
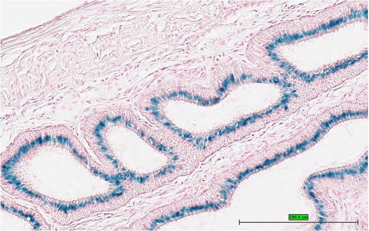
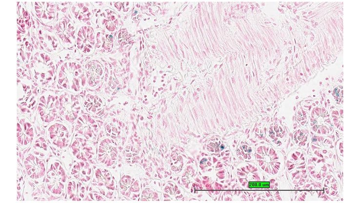
TS28: ileum Present UC Davis_1864497

Specimen UC Davis_1864498: postnatal adult; Kcnj3tm1.1(KOMP)Vlcg/Kcnj3+ (more )
Structure Level Pattern Image Note
TS28: ileum Present UC Davis_1864498

Specimen UC Davis_1864499: postnatal adult; Kcnj3tm1.1(KOMP)Vlcg/Kcnj3+ (more )
Structure Level Pattern Image Note
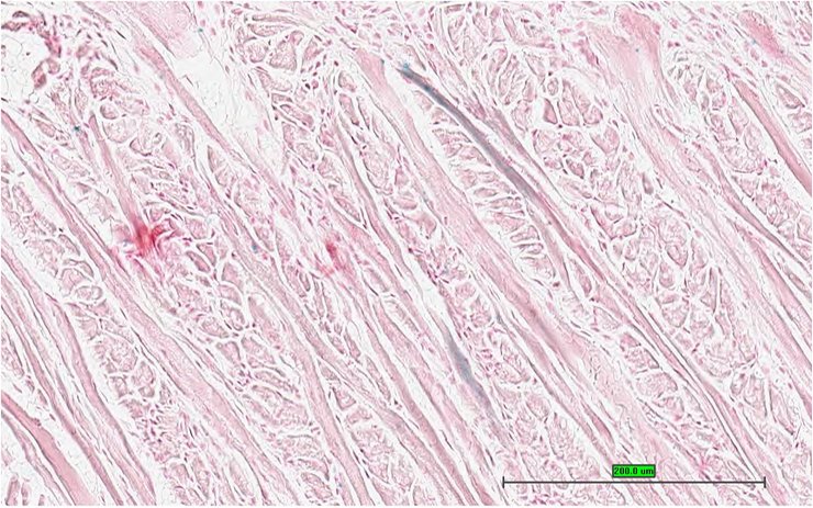
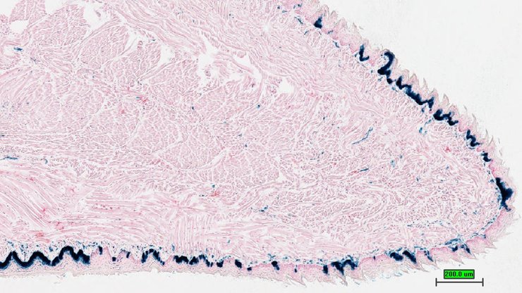
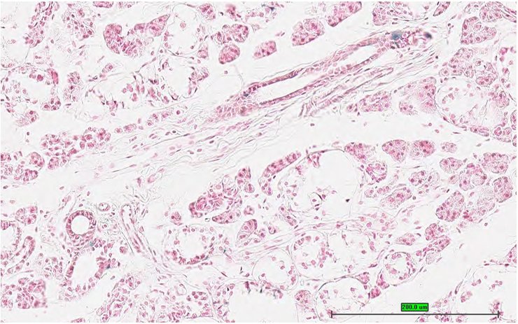
TS28: tongue Present UC Davis_1864499

Specimen UC Davis_1864500: postnatal adult; Kcnj3tm1.1(KOMP)Vlcg/Kcnj3+ (more )
Structure Level Pattern Image Note
TS28: tongue Present UC Davis_1864500

Specimen UC Davis_1864501: postnatal adult; Kcnj3tm1.1(KOMP)Vlcg/Kcnj3+ (more )
Structure Level Pattern Image Note
TS28: tongue Present UC Davis_1864501

Specimen UC Davis_1864502: postnatal adult; Kcnj3tm1.1(KOMP)Vlcg/Kcnj3+ (more )
Structure Level Pattern Image Note
TS28: tongue Present UC Davis_1864502

Specimen UC Davis_1864503: postnatal adult; Kcnj3tm1.1(KOMP)Vlcg/Kcnj3+ (more )
Structure Level Pattern Image Note
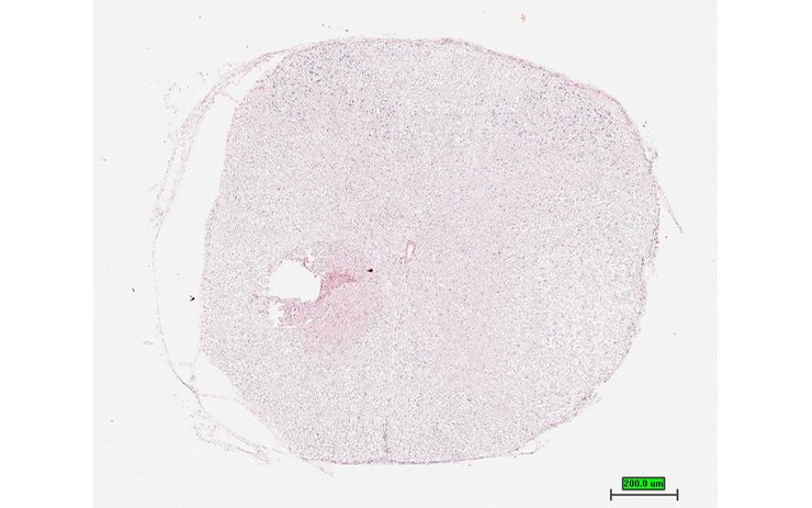
TS28: pituitary gland Present UC Davis_1864503

Specimen UC Davis_1864504: postnatal adult; Kcnj3tm1.1(KOMP)Vlcg/Kcnj3+ (more )
Structure Level Pattern Image Note
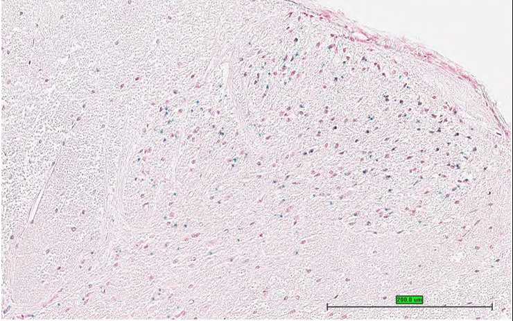
TS28: spinal cord Present UC Davis_1864504

Specimen UC Davis_1864505: postnatal adult; Kcnj3tm1.1(KOMP)Vlcg/Kcnj3+ (more )
Structure Level Pattern Image Note
TS28: spinal cord Present UC Davis_1864505

Specimen UC Davis_1864506: postnatal adult; Kcnj3tm1.1(KOMP)Vlcg/Kcnj3+ (more )
Structure Level Pattern Image Note
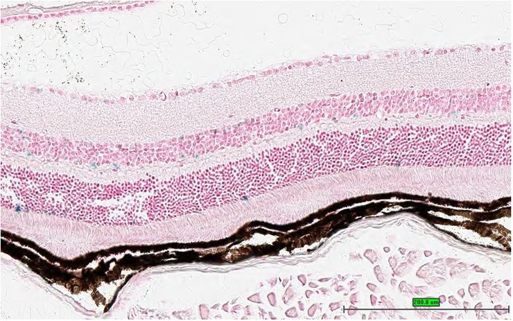
TS28: eye Present UC Davis_1864506

Specimen UC Davis_1864507: postnatal adult; Kcnj3tm1.1(KOMP)Vlcg/Kcnj3+ (more )
Structure Level Pattern Image Note
TS28: eye Present UC Davis_1864507

Specimen UC Davis_1864508: postnatal adult; Kcnj3tm1.1(KOMP)Vlcg/Kcnj3+ (more )
Structure Level Pattern Image Note
TS28: eye Present UC Davis_1864508

Specimen UC Davis_1864509: postnatal adult; Kcnj3tm1.1(KOMP)Vlcg/Kcnj3+ (more )
Structure Level Pattern Image Note
TS28: eye Present UC Davis_1864509

Specimen UC Davis_1864512: postnatal adult; Kcnj3tm1.1(KOMP)Vlcg/Kcnj3+ (more )
Structure Level Pattern Image Note
TS28: olfactory lobe Present UC Davis_1864512

Specimen UC Davis_1864515: postnatal adult; Kcnj3tm1.1(KOMP)Vlcg/Kcnj3+ (more )
Structure Level Pattern Image Note
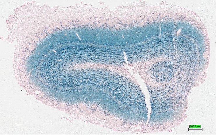
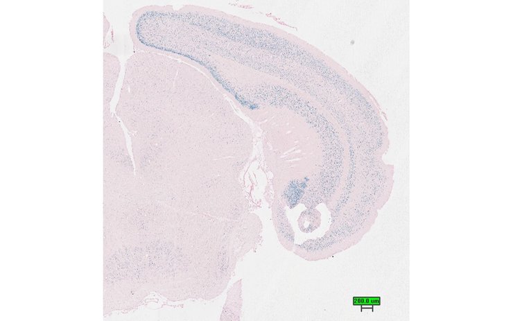
TS28: midbrain Present UC Davis_1864515

Specimen UC Davis_1864517: postnatal adult; Kcnj3tm1.1(KOMP)Vlcg/Kcnj3+ (more )
Structure Level Pattern Image Note
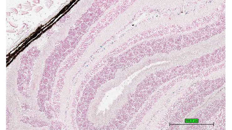
TS28: cerebellum Present UC Davis_1864517

Specimen UC Davis_1864518: postnatal adult; Kcnj3tm1.1(KOMP)Vlcg/Kcnj3+ (more )
Structure Level Pattern Image Note
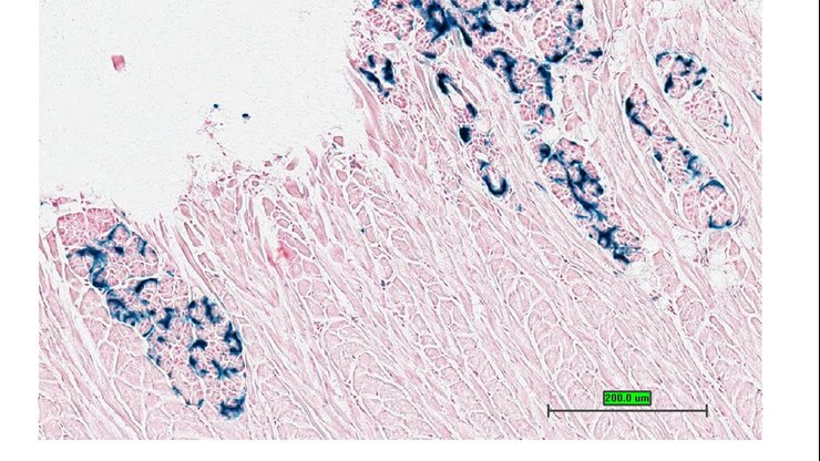
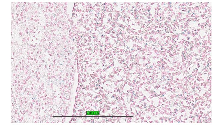
TS28: submandibular gland Present UC Davis_1864518

Specimen UC Davis_1864522: postnatal adult; Kcnj3tm1.1(KOMP)Vlcg/Kcnj3+ (more )
Structure Level Pattern Image Note
TS28: tongue Present UC Davis_1864522

Specimen UC Davis_1864523: postnatal adult; Kcnj3tm1.1(KOMP)Vlcg/Kcnj3+ (more )
Structure Level Pattern Image Note
TS28: tongue Present UC Davis_1864523

Specimen UC Davis_1864524: postnatal adult; Kcnj3tm1.1(KOMP)Vlcg/Kcnj3+ (more )
Structure Level Pattern Image Note
TS28: pituitary gland Present UC Davis_1864524

Specimen UC Davis_1864525: postnatal adult; Kcnj3tm1.1(KOMP)Vlcg/Kcnj3+ (more )
Structure Level Pattern Image Note
TS28: spinal cord Present UC Davis_1864525

Specimen UC Davis_1864526: postnatal adult; Kcnj3tm1.1(KOMP)Vlcg/Kcnj3+ (more )
Structure Level Pattern Image Note
TS28: spinal cord Present UC Davis_1864526

Specimen UC Davis_1864527: postnatal adult; Kcnj3tm1.1(KOMP)Vlcg/Kcnj3+ (more )
Structure Level Pattern Image Note
TS28: spinal cord Present UC Davis_1864527

Specimen UC Davis_1864528: postnatal adult; Kcnj3tm1.1(KOMP)Vlcg/Kcnj3+ (more )
Structure Level Pattern Image Note
TS28: eye Present UC Davis_1864528

Specimen UC Davis_1864529: postnatal adult; Kcnj3tm1.1(KOMP)Vlcg/Kcnj3+ (more )
Structure Level Pattern Image Note
TS28: skin Present UC Davis_1864529

Specimen UC Davis_1864530: postnatal adult; Kcnj3tm1.1(KOMP)Vlcg/Kcnj3+ (more )
Structure Level Pattern Image Note
TS28: olfactory lobe Present UC Davis_1864530

Specimen UC Davis_1864534: postnatal adult; Kcnj3tm1.1(KOMP)Vlcg/Kcnj3+ (more )
Structure Level Pattern Image Note
TS28: midbrain Present UC Davis_1864534

Specimen UC Davis_1864536: postnatal adult; Kcnj3tm1.1(KOMP)Vlcg/Kcnj3+ (more )
Structure Level Pattern Image Note
TS28: cerebellum Present UC Davis_1864536

Specimen UC Davis_1864537: postnatal adult; Kcnj3tm1.1(KOMP)Vlcg/Kcnj3+ (more )
Structure Level Pattern Image Note
TS28: epididymis Present UC Davis_1864537

Specimen UC Davis_1864538: postnatal adult; Kcnj3tm1.1(KOMP)Vlcg/Kcnj3+ (more )
Structure Level Pattern Image Note
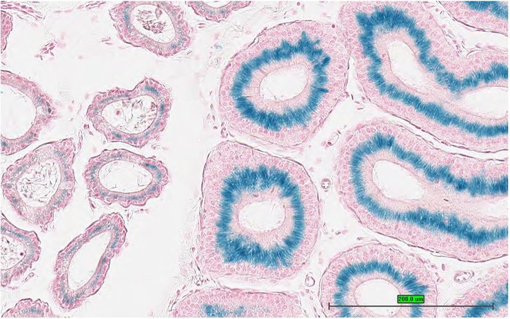
TS28: prostate gland Present UC Davis_1864538

Specimen UC Davis_1864539: postnatal adult; Kcnj3tm1.1(KOMP)Vlcg/Kcnj3+ (more )
Structure Level Pattern Image Note
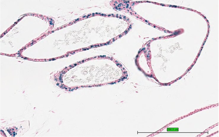
TS28: ductus deferens Present UC Davis_1864539 vas deferens

Specimen UC Davis_1864540: postnatal adult; Kcnj3tm1.1(KOMP)Vlcg/Kcnj3+ (more )
Structure Level Pattern Image Note
TS28: tongue Present UC Davis_1864540

Specimen UC Davis_1864541: postnatal adult; Kcnj3tm1.1(KOMP)Vlcg/Kcnj3+ (more )
Structure Level Pattern Image Note
TS28: olfactory lobe Present UC Davis_1864541

Specimen UC Davis_1864543: postnatal adult; Kcnj3tm1.1(KOMP)Vlcg/Kcnj3+ (more )
Structure Level Pattern Image Note
TS28: midbrain Present UC Davis_1864543

Specimen UC Davis_1864546: postnatal adult; Kcnj3tm1.1(KOMP)Vlcg/Kcnj3+ (more )
Structure Level Pattern Image Note
TS28: cerebellum Present UC Davis_1864546

Specimen UC Davis_1864547: postnatal adult; Kcnj3tm1.1(KOMP)Vlcg/Kcnj3+ (more )
Structure Level Pattern Image Note
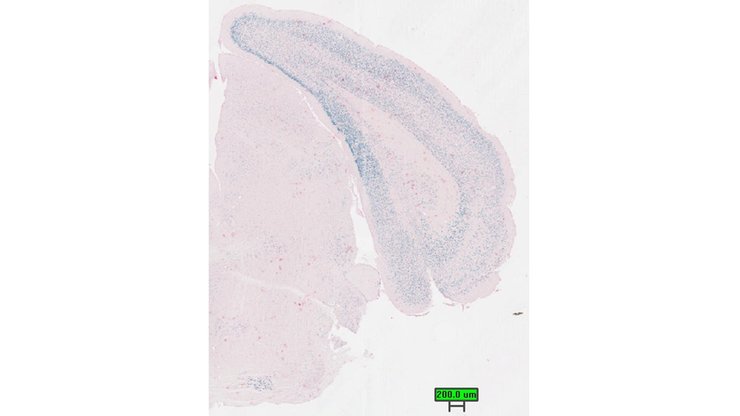
TS28: brain Present UC Davis_1864547

Specimen UC Davis_1864549: postnatal adult; Kcnj3tm1.1(KOMP)Vlcg/Kcnj3+ (more )
Structure Level Pattern Image Note
TS28: lung Present UC Davis_1864549

Specimen UC Davis_1864551: postnatal adult; Kcnj3tm1.1(KOMP)Vlcg/Kcnj3+ (more )
Structure Level Pattern Image Note
TS28: spinal cord Present UC Davis_1864551

Specimen UC Davis_1864552: postnatal adult; Kcnj3tm1.1(KOMP)Vlcg/Kcnj3+ (more )
Structure Level Pattern Image Note
TS28: pituitary gland Present UC Davis_1864552


Contributing Projects:
Mouse Genome Database (MGD), Gene Expression Database (GXD), Mouse Models of Human Cancer database (MMHCdb) (formerly Mouse Tumor Biology (MTB)), Gene Ontology (GO)
Citing These Resources
Funding Information
Warranty Disclaimer, Privacy Notice, Licensing, & Copyright
Send questions and comments to User Support.
last database update
12/30/2025
MGI 6.24
The Jackson Laboratory