About   Help   FAQ
Gene Expression Data
Assay Details
Assay
Reference: J:228563 Koscielny G, et al., The International Mouse Phenotyping Consortium Web Portal, a unified point of access for knockout mice and related phenotyping data. Nucleic Acids Res. 2014 Jan;42(Database issue):D802-9
Assay type: In situ reporter (knock in)
MGI Accession ID: MGI:6690995
Gene symbol: Rab34
Gene name: RAB34, member RAS oncogene family
Reporter: lacZ
Direct Detection
Results
Specimen JAX_1469710: embryonic day 12.5; Rab34tm1b(EUCOMM)Hmgu/Rab34+ (more )
Structure Level Pattern Image Note
TS20: embryo Present JAX_1469710

Specimen JAX_1469711: embryonic day 12.5; Rab34tm1b(EUCOMM)Hmgu/Rab34+ (more )
Structure Level Pattern Image Note
TS20: embryo Present JAX_1469711

Specimen JAX_1469712: embryonic day 12.5; Rab34tm1b(EUCOMM)Hmgu/Rab34+ (more )
Structure Level Pattern Image Note
TS20: embryo Present JAX_1469712

Specimen JAX_1469713: embryonic day 12.5; Rab34tm1b(EUCOMM)Hmgu/Rab34+ (more )
Structure Level Pattern Image Note
TS20: embryo Present JAX_1469713

Specimen JAX_912989: embryonic day 12.5; Rab34tm1b(EUCOMM)Hmgu/Rab34+ (more )
Structure Level Pattern Image Note
TS20: embryo Present JAX_912989

Specimen JAX_912991: embryonic day 12.5; Rab34tm1b(EUCOMM)Hmgu/Rab34+ (more )
Structure Level Pattern Image Note
TS20: embryo Present JAX_912991

Specimen JAX_912993: embryonic day 12.5; Rab34tm1b(EUCOMM)Hmgu/Rab34+ (more )
Structure Level Pattern Image Note
TS20: embryo Present JAX_912993

Specimen JAX_912995: embryonic day 12.5; Rab34tm1b(EUCOMM)Hmgu/Rab34+ (more )
Structure Level Pattern Image Note
TS20: embryo Present JAX_912995

Specimen JAX_1801905: postnatal adult; Rab34tm1b(EUCOMM)Hmgu/Rab34+ (more )
Structure Level Pattern Image Note
TS28: ovary Present JAX_1801905

Specimen JAX_1801906: postnatal adult; Rab34tm1b(EUCOMM)Hmgu/Rab34+ (more )
Structure Level Pattern Image Note
TS28: uterus Present JAX_1801906

Specimen JAX_1801907: postnatal adult; Rab34tm1b(EUCOMM)Hmgu/Rab34+ (more )
Structure Level Pattern Image Note
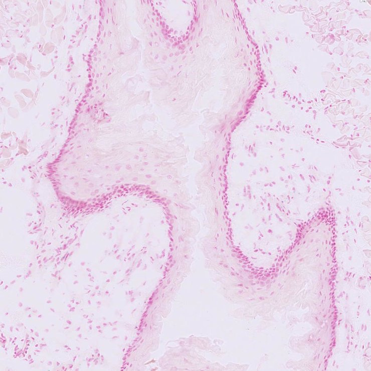
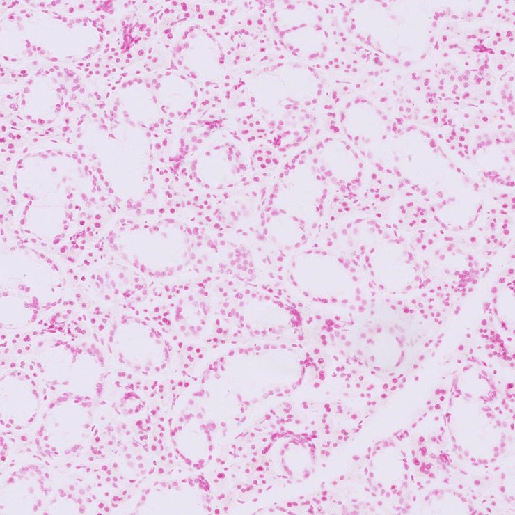
TS28: metanephros Present JAX_1801907 kidney

Specimen JAX_1801908: postnatal adult; Rab34tm1b(EUCOMM)Hmgu/Rab34+ (more )
Structure Level Pattern Image Note
TS28: bladder Present JAX_1801908

Specimen JAX_1801909: postnatal adult; Rab34tm1b(EUCOMM)Hmgu/Rab34+ (more )
Structure Level Pattern Image Note
TS28: adrenal gland Present JAX_1801909

Specimen JAX_1801910: postnatal adult; Rab34tm1b(EUCOMM)Hmgu/Rab34+ (more )
Structure Level Pattern Image Note
TS28: small intestine Present JAX_1801910

Specimen JAX_1801911: postnatal adult; Rab34tm1b(EUCOMM)Hmgu/Rab34+ (more )
Structure Level Pattern Image Note
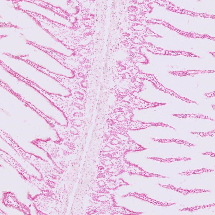
TS28: stomach Present JAX_1801911

Specimen JAX_1801912: postnatal adult; Rab34tm1b(EUCOMM)Hmgu/Rab34+ (more )
Structure Level Pattern Image Note
TS28: liver Present JAX_1801912

Specimen JAX_1801913: postnatal adult; Rab34tm1b(EUCOMM)Hmgu/Rab34+ (more )
Structure Level Pattern Image Note
TS28: lung Present JAX_1801913

Specimen JAX_1801914: postnatal adult; Rab34tm1b(EUCOMM)Hmgu/Rab34+ (more )
Structure Level Pattern Image Note
TS28: heart Present JAX_1801914

Specimen JAX_1801915: postnatal adult; Rab34tm1b(EUCOMM)Hmgu/Rab34+ (more )
Structure Level Pattern Image Note
TS28: aorta Present JAX_1801915

Specimen JAX_1801916: postnatal adult; Rab34tm1b(EUCOMM)Hmgu/Rab34+ (more )
Structure Level Pattern Image Note
TS28: skin Present JAX_1801916

Specimen JAX_1801917: postnatal adult; Rab34tm1b(EUCOMM)Hmgu/Rab34+ (more )
Structure Level Pattern Image Note
TS28: brain Present JAX_1801917

Specimen JAX_1801918: postnatal adult; Rab34tm1b(EUCOMM)Hmgu/Rab34+ (more )
Structure Level Pattern Image Note
TS28: brainstem Present JAX_1801918

Specimen JAX_1801919: postnatal adult; Rab34tm1b(EUCOMM)Hmgu/Rab34+ (more )
Structure Level Pattern Image Note
TS28: cerebral cortex Present JAX_1801919

Specimen JAX_1801920: postnatal adult; Rab34tm1b(EUCOMM)Hmgu/Rab34+ (more )
Structure Level Pattern Image Note
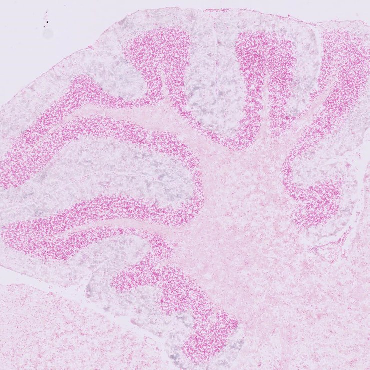
TS28: cerebellum Present JAX_1801920

Specimen JAX_1801921: postnatal adult; Rab34tm1b(EUCOMM)Hmgu/Rab34+ (more )
Structure Level Pattern Image Note
TS28: hippocampus Present JAX_1801921

Specimen JAX_1801922: postnatal adult; Rab34tm1b(EUCOMM)Hmgu/Rab34+ (more )
Structure Level Pattern Image Note
TS28: thalamus Present JAX_1801922

Specimen JAX_1801923: postnatal adult; Rab34tm1b(EUCOMM)Hmgu/Rab34+ (more )
Structure Level Pattern Image Note
TS28: midbrain Present JAX_1801923

Specimen JAX_1801924: postnatal adult; Rab34tm1b(EUCOMM)Hmgu/Rab34+ (more )
Structure Level Pattern Image Note
TS28: hypothalamus Present JAX_1801924

Specimen JAX_1801925: postnatal adult; Rab34tm1b(EUCOMM)Hmgu/Rab34+ (more )
Structure Level Pattern Image Note
TS28: olfactory lobe Present JAX_1801925

Specimen JAX_1801926: postnatal adult; Rab34tm1b(EUCOMM)Hmgu/Rab34+ (more )
Structure Level Pattern Image Note
TS28: eye Present JAX_1801926

Specimen JAX_1801927: postnatal adult; Rab34tm1b(EUCOMM)Hmgu/Rab34+ (more )
Structure Level Pattern Image Note
TS28: esophagus Present JAX_1801927

Specimen JAX_1801928: postnatal adult; Rab34tm1b(EUCOMM)Hmgu/Rab34+ (more )
Structure Level Pattern Image Note
TS28: pituitary gland Present JAX_1801928

Specimen JAX_1801929: postnatal adult; Rab34tm1b(EUCOMM)Hmgu/Rab34+ (more )
Structure Level Pattern Image Note
TS28: oviduct Present JAX_1801929

Specimen JAX_1801897: postnatal adult; Rab34tm1b(EUCOMM)Hmgu/Rab34+ (more )
Structure Level Pattern Image Note
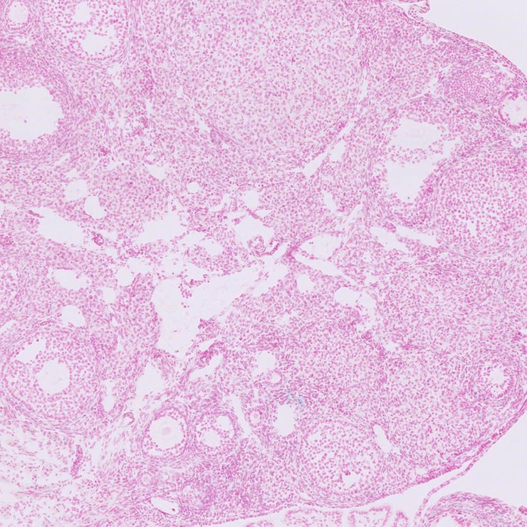
TS28: testis Present JAX_1801897

Specimen JAX_1801898: postnatal adult; Rab34tm1b(EUCOMM)Hmgu/Rab34+ (more )
Structure Level Pattern Image Note
TS28: epididymis Present JAX_1801898

Specimen JAX_1801899: postnatal adult; Rab34tm1b(EUCOMM)Hmgu/Rab34+ (more )
Structure Level Pattern Image Note
TS28: large intestine Present JAX_1801899

Specimen JAX_1801900: postnatal adult; Rab34tm1b(EUCOMM)Hmgu/Rab34+ (more )
Structure Level Pattern Image Note
TS28: spinal cord Present JAX_1801900

Specimen JAX_1801901: postnatal adult; Rab34tm1b(EUCOMM)Hmgu/Rab34+ (more )
Structure Level Pattern Image Note
TS28: peripheral nervous system Present JAX_1801901

Specimen JAX_1801902: postnatal adult; Rab34tm1b(EUCOMM)Hmgu/Rab34+ (more )
Structure Level Pattern Image Note
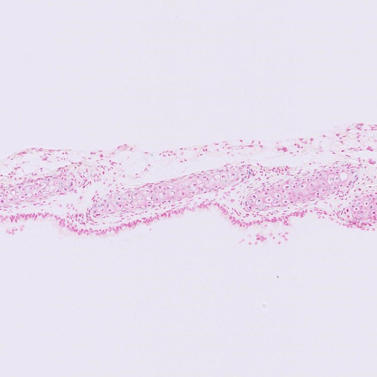
TS28: trachea Present JAX_1801902

Specimen JAX_1801903: postnatal adult; Rab34tm1b(EUCOMM)Hmgu/Rab34+ (more )
Structure Level Pattern Image Note
TS28: submandibular gland Present JAX_1801903

Specimen JAX_1801904: postnatal adult; Rab34tm1b(EUCOMM)Hmgu/Rab34+ (more )
Structure Level Pattern Image Note
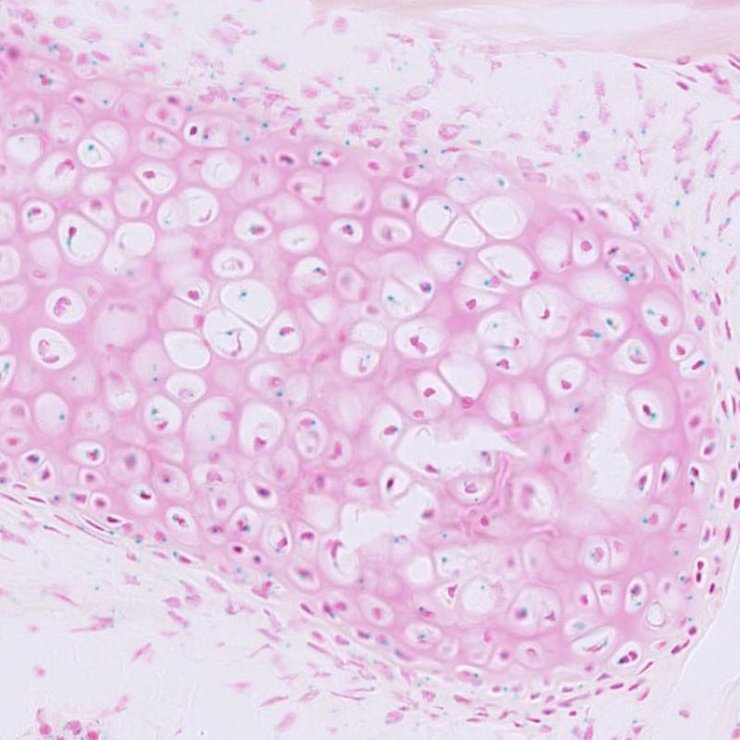
TS28: cartilage Present JAX_1801904


Contributing Projects:
Mouse Genome Database (MGD), Gene Expression Database (GXD), Mouse Models of Human Cancer database (MMHCdb) (formerly Mouse Tumor Biology (MTB)), Gene Ontology (GO)
Citing These Resources
Funding Information
Warranty Disclaimer, Privacy Notice, Licensing, & Copyright
Send questions and comments to User Support.
last database update
01/20/2026
MGI 6.24
The Jackson Laboratory