About   Help   FAQ
Gene Expression Data
Assay Details
Assay
Reference: J:228563 Koscielny G, et al., The International Mouse Phenotyping Consortium Web Portal, a unified point of access for knockout mice and related phenotyping data. Nucleic Acids Res. 2014 Jan;42(Database issue):D802-9
Assay type: In situ reporter (knock in)
MGI Accession ID: MGI:6690988
Gene symbol: Clec3b
Gene name: C-type lectin domain family 3, member b
Reporter: lacZ
Direct Detection
Results
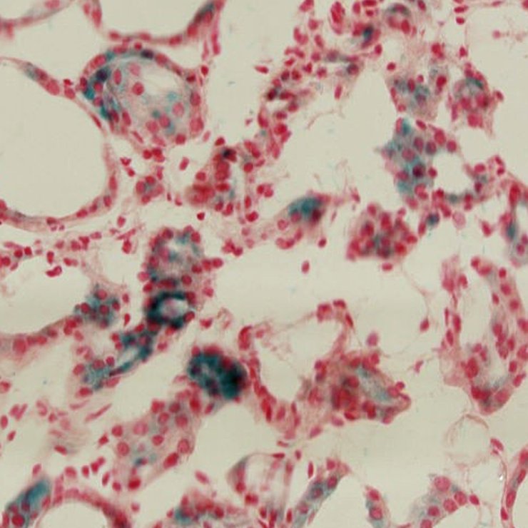
Specimen JAX_1371799: postnatal adult; Clec3btm1b(KOMP)Wtsi/Clec3b+ (more )
Structure Level Pattern Image Note
TS28: lung Present JAX_1371799

Specimen JAX_1371800: postnatal adult; Clec3btm1b(KOMP)Wtsi/Clec3b+ (more )
Structure Level Pattern Image Note
TS28: spinal cord Present JAX_1371800

Specimen JAX_1371801: postnatal adult; Clec3btm1b(KOMP)Wtsi/Clec3b+ (more )
Structure Level Pattern Image Note
TS28: esophagus Present JAX_1371801

Specimen JAX_1371802: postnatal adult; Clec3btm1b(KOMP)Wtsi/Clec3b+ (more )
Structure Level Pattern Image Note
TS28: large intestine Present JAX_1371802

Specimen JAX_1371803: postnatal adult; Clec3btm1b(KOMP)Wtsi/Clec3b+ (more )
Structure Level Pattern Image Note
TS28: uterus Present JAX_1371803

Specimen JAX_1371804: postnatal adult; Clec3btm1b(KOMP)Wtsi/Clec3b+ (more )
Structure Level Pattern Image Note
TS28: ovary Present JAX_1371804

Specimen JAX_1371805: postnatal adult; Clec3btm1b(KOMP)Wtsi/Clec3b+ (more )
Structure Level Pattern Image Note
TS28: metanephros Present JAX_1371805 kidney

Specimen JAX_1371793: postnatal adult; Clec3btm1b(KOMP)Wtsi/Clec3b+ (more )
Structure Level Pattern Image Note
TS28: bladder Present JAX_1371793

Specimen JAX_1371794: postnatal adult; Clec3btm1b(KOMP)Wtsi/Clec3b+ (more )
Structure Level Pattern Image Note
TS28: small intestine Present JAX_1371794

Specimen JAX_1371795: postnatal adult; Clec3btm1b(KOMP)Wtsi/Clec3b+ (more )
Structure Level Pattern Image Note
TS28: thyroid gland Present JAX_1371795

Specimen JAX_1371796: postnatal adult; Clec3btm1b(KOMP)Wtsi/Clec3b+ (more )
Structure Level Pattern Image Note
TS28: testis Present JAX_1371796

Specimen JAX_1371797: postnatal adult; Clec3btm1b(KOMP)Wtsi/Clec3b+ (more )
Structure Level Pattern Image Note
TS28: stomach Present JAX_1371797

Specimen JAX_1371798: postnatal adult; Clec3btm1b(KOMP)Wtsi/Clec3b+ (more )
Structure Level Pattern Image Note
TS28: skin Present JAX_1371798


Contributing Projects:
Mouse Genome Database (MGD), Gene Expression Database (GXD), Mouse Models of Human Cancer database (MMHCdb) (formerly Mouse Tumor Biology (MTB)), Gene Ontology (GO)
Citing These Resources
Funding Information
Warranty Disclaimer, Privacy Notice, Licensing, & Copyright
Send questions and comments to User Support.
last database update
01/28/2026
MGI 6.24
The Jackson Laboratory