About   Help   FAQ
Gene Expression Data
Assay Details
Assay
Reference: J:228563 Koscielny G, et al., The International Mouse Phenotyping Consortium Web Portal, a unified point of access for knockout mice and related phenotyping data. Nucleic Acids Res. 2014 Jan;42(Database issue):D802-9
Assay type: In situ reporter (knock in)
MGI Accession ID: MGI:6690964
Gene symbol: Car7
Gene name: carbonic anhydrase 7
Reporter: lacZ
Direct Detection
Results
Specimen JAX_455165: postnatal adult; Car7tm1b(KOMP)Wtsi/Car7+ (more )
Structure Level Pattern Image Note
TS28: uterus Present JAX_455165

Specimen JAX_455169: postnatal adult; Car7tm1b(KOMP)Wtsi/Car7+ (more )
Structure Level Pattern Image Note
TS28: ovary Present JAX_455169

Specimen JAX_1800106: postnatal adult; Car7tm1b(KOMP)Wtsi/Car7+ (more )
Structure Level Pattern Image Note
TS28: thalamus Present JAX_1800106

Specimen JAX_1800107: postnatal adult; Car7tm1b(KOMP)Wtsi/Car7+ (more )
Structure Level Pattern Image Note
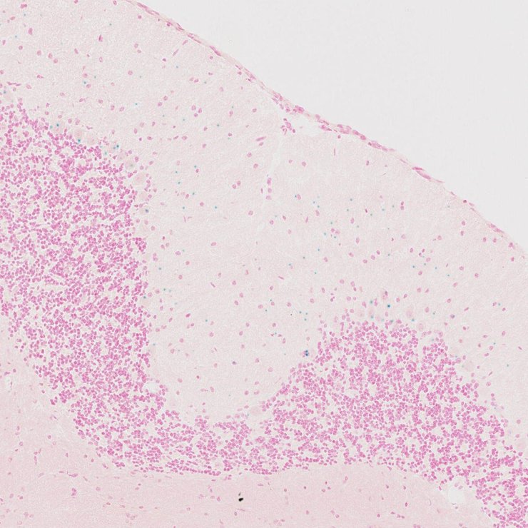
TS28: cerebellum Present JAX_1800107

Specimen JAX_1800108: postnatal adult; Car7tm1b(KOMP)Wtsi/Car7+ (more )
Structure Level Pattern Image Note
TS28: cerebral cortex Present JAX_1800108

Specimen JAX_1800109: postnatal adult; Car7tm1b(KOMP)Wtsi/Car7+ (more )
Structure Level Pattern Image Note
TS28: testis Present JAX_1800109

Specimen JAX_1800110: postnatal adult; Car7tm1b(KOMP)Wtsi/Car7+ (more )
Structure Level Pattern Image Note
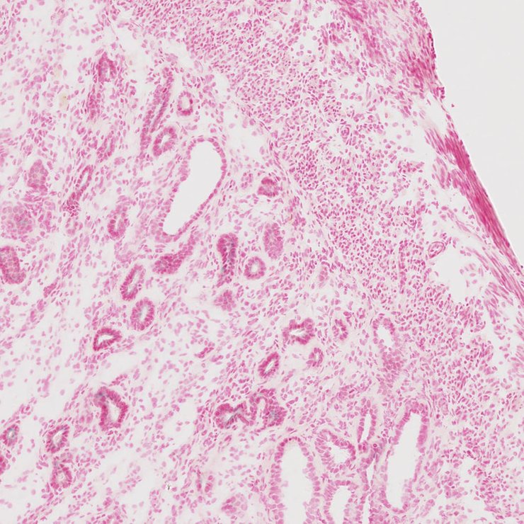
TS28: metanephros Present JAX_1800110 kidney

Specimen JAX_1800111: postnatal adult; Car7tm1b(KOMP)Wtsi/Car7+ (more )
Structure Level Pattern Image Note
TS28: brain Present JAX_1800111


Contributing Projects:
Mouse Genome Database (MGD), Gene Expression Database (GXD), Mouse Models of Human Cancer database (MMHCdb) (formerly Mouse Tumor Biology (MTB)), Gene Ontology (GO)
Citing These Resources
Funding Information
Warranty Disclaimer, Privacy Notice, Licensing, & Copyright
Send questions and comments to User Support.
last database update
01/28/2026
MGI 6.24
The Jackson Laboratory