About   Help   FAQ
Gene Expression Data
Assay Details
Assay
Reference: J:228563 Koscielny G, et al., The International Mouse Phenotyping Consortium Web Portal, a unified point of access for knockout mice and related phenotyping data. Nucleic Acids Res. 2014 Jan;42(Database issue):D802-9
Assay type: In situ reporter (knock in)
MGI Accession ID: MGI:6690954
Gene symbol: Txk
Gene name: TXK tyrosine kinase
Reporter: lacZ
Direct Detection
Results
Specimen UC Davis_1888332: postnatal adult; Txktm2b(EUCOMM)Wtsi/Txk+ (more )
Structure Level Pattern Image Note
TS28: testis Present UC Davis_1888332

Specimen UC Davis_1888333: postnatal adult; Txktm2b(EUCOMM)Wtsi/Txk+ (more )
Structure Level Pattern Image Note
TS28: testis Present UC Davis_1888333

Specimen UC Davis_1888334: postnatal adult; Txktm2b(EUCOMM)Wtsi/Txk+ (more )
Structure Level Pattern Image Note
TS28: epididymis Present UC Davis_1888334

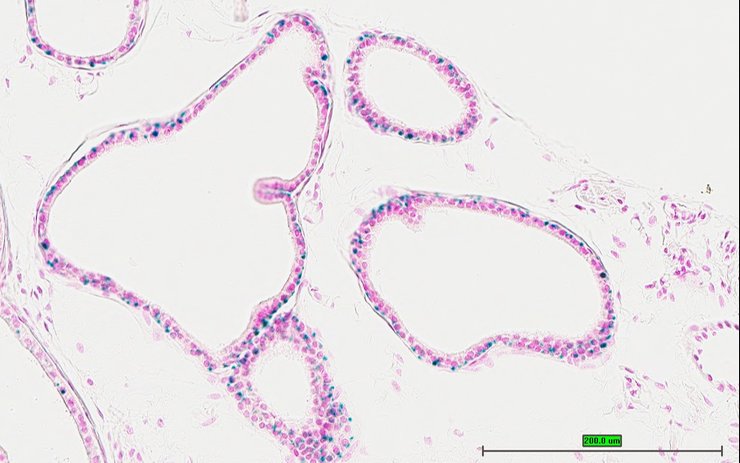
Specimen UC Davis_1888335: postnatal adult; Txktm2b(EUCOMM)Wtsi/Txk+ (more )
Structure Level Pattern Image Note
TS28: prostate gland Present UC Davis_1888335

Specimen UC Davis_1888336: postnatal adult; Txktm2b(EUCOMM)Wtsi/Txk+ (more )
Structure Level Pattern Image Note
TS28: ductus deferens Present UC Davis_1888336 vas deferens


Contributing Projects:
Mouse Genome Database (MGD), Gene Expression Database (GXD), Mouse Models of Human Cancer database (MMHCdb) (formerly Mouse Tumor Biology (MTB)), Gene Ontology (GO)
Citing These Resources
Funding Information
Warranty Disclaimer, Privacy Notice, Licensing, & Copyright
Send questions and comments to User Support.
last database update
01/06/2026
MGI 6.24
The Jackson Laboratory