About   Help   FAQ
Gene Expression Data
Assay Details
Assay
Reference: J:228563 Koscielny G, et al., The International Mouse Phenotyping Consortium Web Portal, a unified point of access for knockout mice and related phenotyping data. Nucleic Acids Res. 2014 Jan;42(Database issue):D802-9
Assay type: In situ reporter (knock in)
MGI Accession ID: MGI:6690952
Gene symbol: Foxn1
Gene name: forkhead box N1
Reporter: lacZ
Direct Detection
Results
Specimen UC Davis_1888587: postnatal adult; Foxn1tm1.1(KOMP)Vlcg/Foxn1+ (more )
Structure Level Pattern Image Note
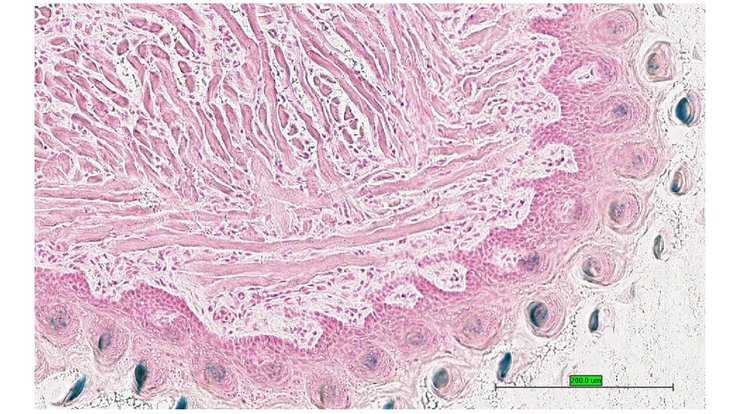
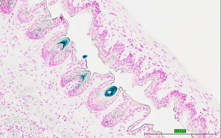
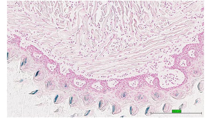
TS28: tongue Present UC Davis_1888587

Specimen UC Davis_1888588: postnatal adult; Foxn1tm1.1(KOMP)Vlcg/Foxn1+ (more )
Structure Level Pattern Image Note
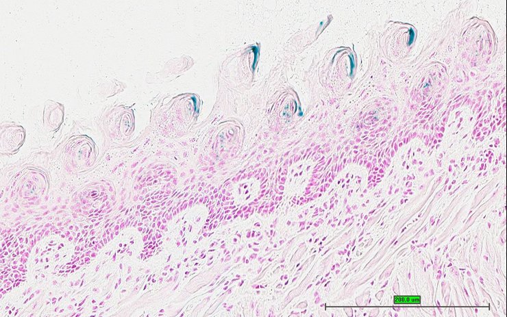
TS28: tongue Present UC Davis_1888588

Specimen UC Davis_1888578: postnatal adult; Foxn1tm1.1(KOMP)Vlcg/Foxn1+ (more )
Structure Level Pattern Image Note
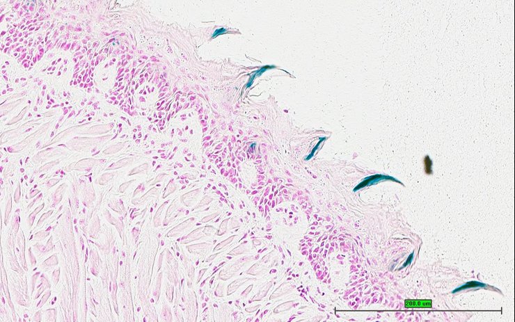
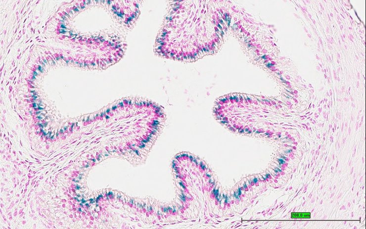
TS28: esophagus Present UC Davis_1888578

Specimen UC Davis_1888580: postnatal adult; Foxn1tm1.1(KOMP)Vlcg/Foxn1+ (more )
Structure Level Pattern Image Note
TS28: tongue Present UC Davis_1888580

Specimen UC Davis_1888581: postnatal adult; Foxn1tm1.1(KOMP)Vlcg/Foxn1+ (more )
Structure Level Pattern Image Note
TS28: tongue Present UC Davis_1888581

Specimen UC Davis_1888582: postnatal adult; Foxn1tm1.1(KOMP)Vlcg/Foxn1+ (more )
Structure Level Pattern Image Note
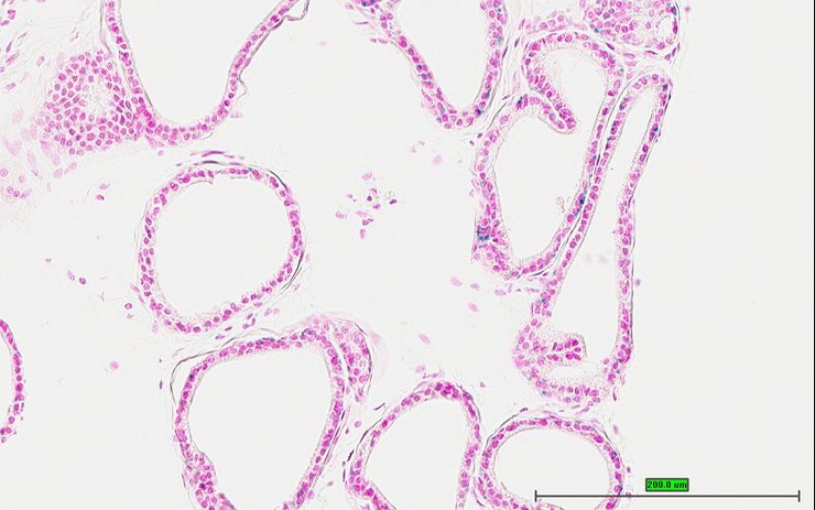
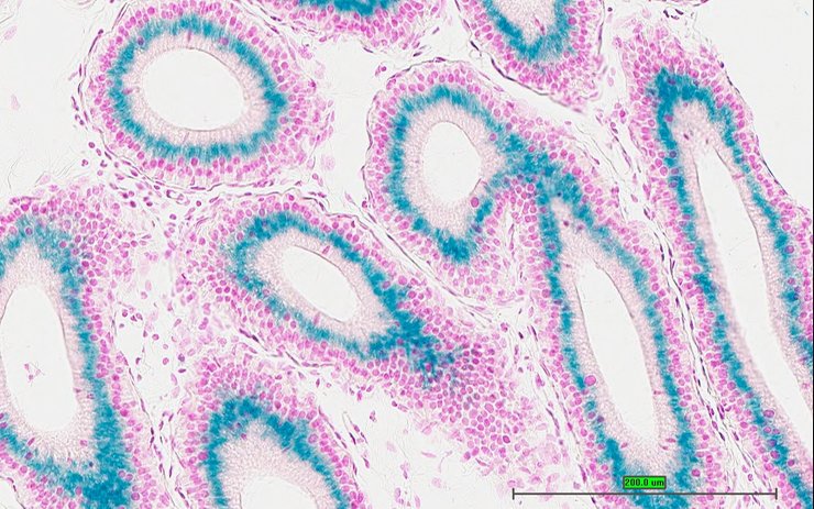
TS28: epididymis Present UC Davis_1888582

Specimen UC Davis_1888583: postnatal adult; Foxn1tm1.1(KOMP)Vlcg/Foxn1+ (more )
Structure Level Pattern Image Note
TS28: prostate gland Present UC Davis_1888583

Specimen UC Davis_1888584: postnatal adult; Foxn1tm1.1(KOMP)Vlcg/Foxn1+ (more )
Structure Level Pattern Image Note
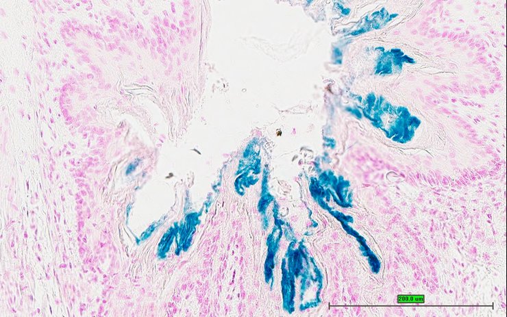
TS28: penis Present UC Davis_1888584

Specimen UC Davis_1888585: postnatal adult; Foxn1tm1.1(KOMP)Vlcg/Foxn1+ (more )
Structure Level Pattern Image Note
TS28: penis Present UC Davis_1888585

Specimen UC Davis_1888586: postnatal adult; Foxn1tm1.1(KOMP)Vlcg/Foxn1+ (more )
Structure Level Pattern Image Note
TS28: ductus deferens Present UC Davis_1888586 vas deferens


Contributing Projects:
Mouse Genome Database (MGD), Gene Expression Database (GXD), Mouse Models of Human Cancer database (MMHCdb) (formerly Mouse Tumor Biology (MTB)), Gene Ontology (GO)
Citing These Resources
Funding Information
Warranty Disclaimer, Privacy Notice, Licensing, & Copyright
Send questions and comments to User Support.
last database update
12/30/2025
MGI 6.24
The Jackson Laboratory