About   Help   FAQ
Gene Expression Data
Assay Details
Assay
Reference: J:228563 Koscielny G, et al., The International Mouse Phenotyping Consortium Web Portal, a unified point of access for knockout mice and related phenotyping data. Nucleic Acids Res. 2014 Jan;42(Database issue):D802-9
Assay type: In situ reporter (knock in)
MGI Accession ID: MGI:6690934
Gene symbol: Pou2f3
Gene name: POU domain, class 2, transcription factor 3
Reporter: lacZ
Direct Detection
Results
Specimen UC Davis_1881122: postnatal adult; Pou2f3tm1.1(KOMP)Vlcg/Pou2f3+ (more )
Structure Level Pattern Image Note
TS28: esophagus Present UC Davis_1881122

Specimen UC Davis_1881123: postnatal adult; Pou2f3tm1.1(KOMP)Vlcg/Pou2f3+ (more )
Structure Level Pattern Image Note
TS28: thymus Present UC Davis_1881123

Specimen UC Davis_1881124: postnatal adult; Pou2f3tm1.1(KOMP)Vlcg/Pou2f3+ (more )
Structure Level Pattern Image Note
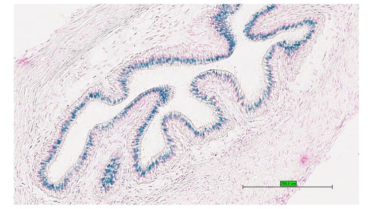
TS28: jejunum Present UC Davis_1881124

Specimen UC Davis_1881125: postnatal adult; Pou2f3tm1.1(KOMP)Vlcg/Pou2f3+ (more )
Structure Level Pattern Image Note
TS28: ileum Present UC Davis_1881125

Specimen UC Davis_1881126: postnatal adult; Pou2f3tm1.1(KOMP)Vlcg/Pou2f3+ (more )
Structure Level Pattern Image Note
TS28: metanephros Present UC Davis_1881126 kidney

Specimen UC Davis_1881127: postnatal adult; Pou2f3tm1.1(KOMP)Vlcg/Pou2f3+ (more )
Structure Level Pattern Image Note
TS28: tongue Present UC Davis_1881127

Specimen UC Davis_1881128: postnatal adult; Pou2f3tm1.1(KOMP)Vlcg/Pou2f3+ (more )
Structure Level Pattern Image Note
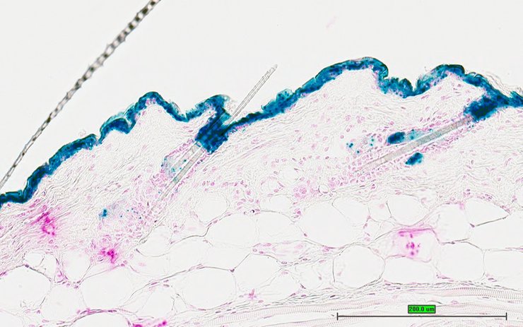
TS28: skin Present UC Davis_1881128

Specimen UC Davis_1881129: postnatal adult; Pou2f3tm1.1(KOMP)Vlcg/Pou2f3+ (more )
Structure Level Pattern Image Note
TS28: skin Present UC Davis_1881129

Specimen UC Davis_1881130: postnatal adult; Pou2f3tm1.1(KOMP)Vlcg/Pou2f3+ (more )
Structure Level Pattern Image Note
TS28: skin Present UC Davis_1881130

Specimen UC Davis_1881132: postnatal adult; Pou2f3tm1.1(KOMP)Vlcg/Pou2f3+ (more )
Structure Level Pattern Image Note
TS28: thymus Present UC Davis_1881132

Specimen UC Davis_1881133: postnatal adult; Pou2f3tm1.1(KOMP)Vlcg/Pou2f3+ (more )
Structure Level Pattern Image Note
TS28: thymus Present UC Davis_1881133

Specimen UC Davis_1881134: postnatal adult; Pou2f3tm1.1(KOMP)Vlcg/Pou2f3+ (more )
Structure Level Pattern Image Note
TS28: jejunum Present UC Davis_1881134

Specimen UC Davis_1881135: postnatal adult; Pou2f3tm1.1(KOMP)Vlcg/Pou2f3+ (more )
Structure Level Pattern Image Note
TS28: jejunum Present UC Davis_1881135

Specimen UC Davis_1881136: postnatal adult; Pou2f3tm1.1(KOMP)Vlcg/Pou2f3+ (more )
Structure Level Pattern Image Note
TS28: ileum Present UC Davis_1881136

Specimen UC Davis_1881137: postnatal adult; Pou2f3tm1.1(KOMP)Vlcg/Pou2f3+ (more )
Structure Level Pattern Image Note
TS28: ileum Present UC Davis_1881137

Specimen UC Davis_1881138: postnatal adult; Pou2f3tm1.1(KOMP)Vlcg/Pou2f3+ (more )
Structure Level Pattern Image Note
TS28: metanephros Present UC Davis_1881138 kidney

Specimen UC Davis_1881139: postnatal adult; Pou2f3tm1.1(KOMP)Vlcg/Pou2f3+ (more )
Structure Level Pattern Image Note
TS28: metanephros Present UC Davis_1881139 kidney

Specimen UC Davis_1881140: postnatal adult; Pou2f3tm1.1(KOMP)Vlcg/Pou2f3+ (more )
Structure Level Pattern Image Note
TS28: skin Present UC Davis_1881140

Specimen UC Davis_1881141: postnatal adult; Pou2f3tm1.1(KOMP)Vlcg/Pou2f3+ (more )
Structure Level Pattern Image Note
TS28: skin Present UC Davis_1881141

Specimen UC Davis_1881142: postnatal adult; Pou2f3tm1.1(KOMP)Vlcg/Pou2f3+ (more )
Structure Level Pattern Image Note
TS28: skin Present UC Davis_1881142

Specimen UC Davis_1881143: postnatal adult; Pou2f3tm1.1(KOMP)Vlcg/Pou2f3+ (more )
Structure Level Pattern Image Note
TS28: testis Present UC Davis_1881143

Specimen UC Davis_1881144: postnatal adult; Pou2f3tm1.1(KOMP)Vlcg/Pou2f3+ (more )
Structure Level Pattern Image Note
TS28: testis Present UC Davis_1881144

Specimen UC Davis_1881145: postnatal adult; Pou2f3tm1.1(KOMP)Vlcg/Pou2f3+ (more )
Structure Level Pattern Image Note
TS28: epididymis Present UC Davis_1881145

Specimen UC Davis_1881146: postnatal adult; Pou2f3tm1.1(KOMP)Vlcg/Pou2f3+ (more )
Structure Level Pattern Image Note
TS28: epididymis Present UC Davis_1881146

Specimen UC Davis_1881147: postnatal adult; Pou2f3tm1.1(KOMP)Vlcg/Pou2f3+ (more )
Structure Level Pattern Image Note
TS28: penis Present UC Davis_1881147

Specimen UC Davis_1881148: postnatal adult; Pou2f3tm1.1(KOMP)Vlcg/Pou2f3+ (more )
Structure Level Pattern Image Note
TS28: ductus deferens Present UC Davis_1881148 vas deferens


Contributing Projects:
Mouse Genome Database (MGD), Gene Expression Database (GXD), Mouse Models of Human Cancer database (MMHCdb) (formerly Mouse Tumor Biology (MTB)), Gene Ontology (GO)
Citing These Resources
Funding Information
Warranty Disclaimer, Privacy Notice, Licensing, & Copyright
Send questions and comments to User Support.
last database update
12/30/2025
MGI 6.24
The Jackson Laboratory