About   Help   FAQ
Gene Expression Data
Assay Details
Assay
Reference: J:228563 Koscielny G, et al., The International Mouse Phenotyping Consortium Web Portal, a unified point of access for knockout mice and related phenotyping data. Nucleic Acids Res. 2014 Jan;42(Database issue):D802-9
Assay type: In situ reporter (knock in)
MGI Accession ID: MGI:6690921
Gene symbol: Aldoc
Gene name: aldolase C, fructose-bisphosphate
Reporter: lacZ
Direct Detection
Results
Specimen UC Davis_1857683: postnatal adult; Aldoctm1.1(KOMP)Vlcg/Aldoc+ (more )
Structure Level Pattern Image Note
TS28: submandibular gland Present UC Davis_1857683

Specimen UC Davis_1857684: postnatal adult; Aldoctm1.1(KOMP)Vlcg/Aldoc+ (more )
Structure Level Pattern Image Note
TS28: submandibular gland Present UC Davis_1857684

Specimen UC Davis_1857685: postnatal adult; Aldoctm1.1(KOMP)Vlcg/Aldoc+ (more )
Structure Level Pattern Image Note
TS28: sublingual gland Present UC Davis_1857685

Specimen UC Davis_1857686: postnatal adult; Aldoctm1.1(KOMP)Vlcg/Aldoc+ (more )
Structure Level Pattern Image Note
TS28: sublingual gland Present UC Davis_1857686

Specimen UC Davis_1857687: postnatal adult; Aldoctm1.1(KOMP)Vlcg/Aldoc+ (more )
Structure Level Pattern Image Note
TS28: trachea Present UC Davis_1857687

Specimen UC Davis_1857688: postnatal adult; Aldoctm1.1(KOMP)Vlcg/Aldoc+ (more )
Structure Level Pattern Image Note
TS28: ileum Present UC Davis_1857688

Specimen UC Davis_1857689: postnatal adult; Aldoctm1.1(KOMP)Vlcg/Aldoc+ (more )
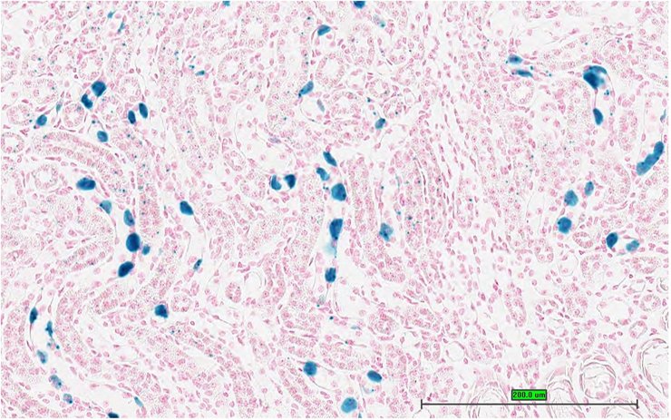
Structure Level Pattern Image Note
TS28: metanephros Present UC Davis_1857689 kidney

Specimen UC Davis_1857690: postnatal adult; Aldoctm1.1(KOMP)Vlcg/Aldoc+ (more )
Structure Level Pattern Image Note
TS28: metanephros Present UC Davis_1857690 kidney

Specimen UC Davis_1857691: postnatal adult; Aldoctm1.1(KOMP)Vlcg/Aldoc+ (more )
Structure Level Pattern Image Note
TS28: metanephros Present UC Davis_1857691 kidney

Specimen UC Davis_1857692: postnatal adult; Aldoctm1.1(KOMP)Vlcg/Aldoc+ (more )
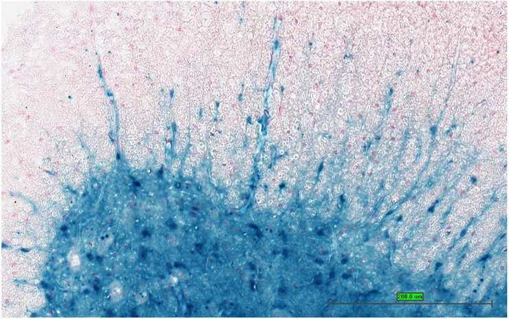
Structure Level Pattern Image Note
TS28: spinal cord Present UC Davis_1857692

Specimen UC Davis_1857693: postnatal adult; Aldoctm1.1(KOMP)Vlcg/Aldoc+ (more )
Structure Level Pattern Image Note
TS28: spinal cord Present UC Davis_1857693

Specimen UC Davis_1857694: postnatal adult; Aldoctm1.1(KOMP)Vlcg/Aldoc+ (more )
Structure Level Pattern Image Note
TS28: spinal cord Present UC Davis_1857694

Specimen UC Davis_1857695: postnatal adult; Aldoctm1.1(KOMP)Vlcg/Aldoc+ (more )
Structure Level Pattern Image Note
TS28: spinal cord Present UC Davis_1857695

Specimen UC Davis_1857696: postnatal adult; Aldoctm1.1(KOMP)Vlcg/Aldoc+ (more )
Structure Level Pattern Image Note
TS28: eye Present UC Davis_1857696

Specimen UC Davis_1857697: postnatal adult; Aldoctm1.1(KOMP)Vlcg/Aldoc+ (more )
Structure Level Pattern Image Note
TS28: eye Present UC Davis_1857697

Specimen UC Davis_1857698: postnatal adult; Aldoctm1.1(KOMP)Vlcg/Aldoc+ (more )
Structure Level Pattern Image Note
TS28: eye Present UC Davis_1857698

Specimen UC Davis_1857699: postnatal adult; Aldoctm1.1(KOMP)Vlcg/Aldoc+ (more )
Structure Level Pattern Image Note
TS28: eye Present UC Davis_1857699

Specimen UC Davis_1857700: postnatal adult; Aldoctm1.1(KOMP)Vlcg/Aldoc+ (more )
Structure Level Pattern Image Note
TS28: olfactory lobe Present UC Davis_1857700

Specimen UC Davis_1857704: postnatal adult; Aldoctm1.1(KOMP)Vlcg/Aldoc+ (more )
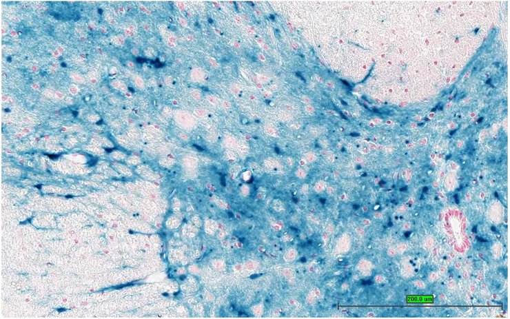
Structure Level Pattern Image Note
TS28: midbrain Present UC Davis_1857704

Specimen UC Davis_1857706: postnatal adult; Aldoctm1.1(KOMP)Vlcg/Aldoc+ (more )
Structure Level Pattern Image Note
TS28: cerebellum Present UC Davis_1857706

Specimen UC Davis_1857707: postnatal adult; Aldoctm1.1(KOMP)Vlcg/Aldoc+ (more )
Structure Level Pattern Image Note
TS28: cerebellum Present UC Davis_1857707

Specimen UC Davis_1857708: postnatal adult; Aldoctm1.1(KOMP)Vlcg/Aldoc+ (more )
Structure Level Pattern Image Note
TS28: oviduct Present UC Davis_1857708

Specimen UC Davis_1857709: postnatal adult; Aldoctm1.1(KOMP)Vlcg/Aldoc+ (more )
Structure Level Pattern Image Note
TS28: oviduct Present UC Davis_1857709

Specimen UC Davis_1857710: postnatal adult; Aldoctm1.1(KOMP)Vlcg/Aldoc+ (more )
Structure Level Pattern Image Note
TS28: mammary gland Present UC Davis_1857710

Specimen UC Davis_1857711: postnatal adult; Aldoctm1.1(KOMP)Vlcg/Aldoc+ (more )
Structure Level Pattern Image Note
TS28: mammary gland Present UC Davis_1857711

Specimen UC Davis_1857760: postnatal adult; Aldoctm1.1(KOMP)Vlcg/Aldoc+ (more )
Structure Level Pattern Image Note
TS28: pituitary gland Present UC Davis_1857760

Specimen UC Davis_1857761: postnatal adult; Aldoctm1.1(KOMP)Vlcg/Aldoc+ (more )
Structure Level Pattern Image Note
TS28: oviduct Present UC Davis_1857761

Specimen UC Davis_1857712: postnatal adult; Aldoctm1.1(KOMP)Vlcg/Aldoc+ (more )
Structure Level Pattern Image Note
TS28: submandibular gland Present UC Davis_1857712

Specimen UC Davis_1857713: postnatal adult; Aldoctm1.1(KOMP)Vlcg/Aldoc+ (more )
Structure Level Pattern Image Note
TS28: sublingual gland Present UC Davis_1857713

Specimen UC Davis_1857714: postnatal adult; Aldoctm1.1(KOMP)Vlcg/Aldoc+ (more )
Structure Level Pattern Image Note
TS28: sublingual gland Present UC Davis_1857714

Specimen UC Davis_1857715: postnatal adult; Aldoctm1.1(KOMP)Vlcg/Aldoc+ (more )
Structure Level Pattern Image Note
TS28: trachea Present UC Davis_1857715

Specimen UC Davis_1857716: postnatal adult; Aldoctm1.1(KOMP)Vlcg/Aldoc+ (more )
Structure Level Pattern Image Note
TS28: trachea Present UC Davis_1857716

Specimen UC Davis_1857717: postnatal adult; Aldoctm1.1(KOMP)Vlcg/Aldoc+ (more )
Structure Level Pattern Image Note
TS28: esophagus Present UC Davis_1857717

Specimen UC Davis_1857719: postnatal adult; Aldoctm1.1(KOMP)Vlcg/Aldoc+ (more )
Structure Level Pattern Image Note
TS28: metanephros Present UC Davis_1857719 kidney

Specimen UC Davis_1857720: postnatal adult; Aldoctm1.1(KOMP)Vlcg/Aldoc+ (more )
Structure Level Pattern Image Note
TS28: metanephros Present UC Davis_1857720 kidney

Specimen UC Davis_1857721: postnatal adult; Aldoctm1.1(KOMP)Vlcg/Aldoc+ (more )
Structure Level Pattern Image Note
TS28: metanephros Present UC Davis_1857721 kidney

Specimen UC Davis_1857722: postnatal adult; Aldoctm1.1(KOMP)Vlcg/Aldoc+ (more )
Structure Level Pattern Image Note
TS28: metanephros Present UC Davis_1857722 kidney

Specimen UC Davis_1857723: postnatal adult; Aldoctm1.1(KOMP)Vlcg/Aldoc+ (more )
Structure Level Pattern Image Note
TS28: tongue Present UC Davis_1857723

Specimen UC Davis_1857724: postnatal adult; Aldoctm1.1(KOMP)Vlcg/Aldoc+ (more )
Structure Level Pattern Image Note
TS28: spinal cord Present UC Davis_1857724

Specimen UC Davis_1857725: postnatal adult; Aldoctm1.1(KOMP)Vlcg/Aldoc+ (more )
Structure Level Pattern Image Note
TS28: spinal cord Present UC Davis_1857725

Specimen UC Davis_1857726: postnatal adult; Aldoctm1.1(KOMP)Vlcg/Aldoc+ (more )
Structure Level Pattern Image Note
TS28: spinal cord Present UC Davis_1857726

Specimen UC Davis_1857727: postnatal adult; Aldoctm1.1(KOMP)Vlcg/Aldoc+ (more )
Structure Level Pattern Image Note
TS28: eye Present UC Davis_1857727

Specimen UC Davis_1857728: postnatal adult; Aldoctm1.1(KOMP)Vlcg/Aldoc+ (more )
Structure Level Pattern Image Note
TS28: eye Present UC Davis_1857728

Specimen UC Davis_1857729: postnatal adult; Aldoctm1.1(KOMP)Vlcg/Aldoc+ (more )
Structure Level Pattern Image Note
TS28: eye Present UC Davis_1857729

Specimen UC Davis_1857730: postnatal adult; Aldoctm1.1(KOMP)Vlcg/Aldoc+ (more )
Structure Level Pattern Image Note
TS28: eye Present UC Davis_1857730

Specimen UC Davis_1857731: postnatal adult; Aldoctm1.1(KOMP)Vlcg/Aldoc+ (more )
Structure Level Pattern Image Note
TS28: eye Present UC Davis_1857731

Specimen UC Davis_1857732: postnatal adult; Aldoctm1.1(KOMP)Vlcg/Aldoc+ (more )
Structure Level Pattern Image Note
TS28: eye Present UC Davis_1857732

Specimen UC Davis_1857733: postnatal adult; Aldoctm1.1(KOMP)Vlcg/Aldoc+ (more )
Structure Level Pattern Image Note
TS28: eye Present UC Davis_1857733

Specimen UC Davis_1857734: postnatal adult; Aldoctm1.1(KOMP)Vlcg/Aldoc+ (more )
Structure Level Pattern Image Note
TS28: olfactory lobe Present UC Davis_1857734

Specimen UC Davis_1857738: postnatal adult; Aldoctm1.1(KOMP)Vlcg/Aldoc+ (more )
Structure Level Pattern Image Note
TS28: midbrain Present UC Davis_1857738

Specimen UC Davis_1857740: postnatal adult; Aldoctm1.1(KOMP)Vlcg/Aldoc+ (more )
Structure Level Pattern Image Note
TS28: cerebellum Present UC Davis_1857740

Specimen UC Davis_1857741: postnatal adult; Aldoctm1.1(KOMP)Vlcg/Aldoc+ (more )
Structure Level Pattern Image Note
TS28: epididymis Present UC Davis_1857741

Specimen UC Davis_1857742: postnatal adult; Aldoctm1.1(KOMP)Vlcg/Aldoc+ (more )
Structure Level Pattern Image Note
TS28: prostate gland Present UC Davis_1857742

Specimen UC Davis_1857743: postnatal adult; Aldoctm1.1(KOMP)Vlcg/Aldoc+ (more )
Structure Level Pattern Image Note
TS28: ductus deferens Present UC Davis_1857743 vas deferens

Specimen UC Davis_1857744: postnatal adult; Aldoctm1.1(KOMP)Vlcg/Aldoc+ (more )
Structure Level Pattern Image Note
TS28: olfactory lobe Present UC Davis_1857744

Specimen UC Davis_1857747: postnatal adult; Aldoctm1.1(KOMP)Vlcg/Aldoc+ (more )
Structure Level Pattern Image Note
TS28: midbrain Present UC Davis_1857747

Specimen UC Davis_1857749: postnatal adult; Aldoctm1.1(KOMP)Vlcg/Aldoc+ (more )
Structure Level Pattern Image Note
TS28: cerebellum Present UC Davis_1857749

Specimen UC Davis_1857750: postnatal adult; Aldoctm1.1(KOMP)Vlcg/Aldoc+ (more )
Structure Level Pattern Image Note
TS28: brain Present UC Davis_1857750

Specimen UC Davis_1857751: postnatal adult; Aldoctm1.1(KOMP)Vlcg/Aldoc+ (more )
Structure Level Pattern Image Note
TS28: metanephros Present UC Davis_1857751 kidney

Specimen UC Davis_1857753: postnatal adult; Aldoctm1.1(KOMP)Vlcg/Aldoc+ (more )
Structure Level Pattern Image Note
TS28: trachea Present UC Davis_1857753

Specimen UC Davis_1857754: postnatal adult; Aldoctm1.1(KOMP)Vlcg/Aldoc+ (more )
Structure Level Pattern Image Note
TS28: spinal cord Present UC Davis_1857754

Specimen UC Davis_1857755: postnatal adult; Aldoctm1.1(KOMP)Vlcg/Aldoc+ (more )
Structure Level Pattern Image Note
TS28: stomach Present UC Davis_1857755

Specimen UC Davis_1857756: postnatal adult; Aldoctm1.1(KOMP)Vlcg/Aldoc+ (more )
Structure Level Pattern Image Note
TS28: stomach Present UC Davis_1857756

Specimen UC Davis_1857758: postnatal adult; Aldoctm1.1(KOMP)Vlcg/Aldoc+ (more )
Structure Level Pattern Image Note
TS28: thoracic segment skeleton Present UC Davis_1857758 chest bone


Contributing Projects:
Mouse Genome Database (MGD), Gene Expression Database (GXD), Mouse Models of Human Cancer database (MMHCdb) (formerly Mouse Tumor Biology (MTB)), Gene Ontology (GO)
Citing These Resources
Funding Information
Warranty Disclaimer, Privacy Notice, Licensing, & Copyright
Send questions and comments to User Support.
last database update
01/06/2026
MGI 6.24
The Jackson Laboratory