About   Help   FAQ
Gene Expression Data
Assay Details
Assay
Reference: J:228563 Koscielny G, et al., The International Mouse Phenotyping Consortium Web Portal, a unified point of access for knockout mice and related phenotyping data. Nucleic Acids Res. 2014 Jan;42(Database issue):D802-9
Assay type: In situ reporter (knock in)
MGI Accession ID: MGI:6690915
Gene symbol: Bfsp1
Gene name: beaded filament structural protein 1, in lens-CP94
Reporter: lacZ
Direct Detection
Results
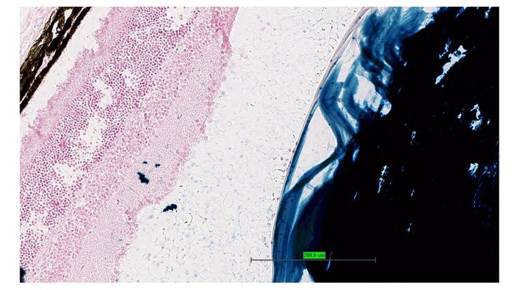
Specimen UC Davis_1888857: postnatal adult; Bfsp1tm1b(EUCOMM)Wtsi/Bfsp1+ (more )
Structure Level Pattern Image Note
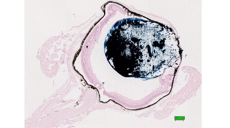
TS28: eye Present UC Davis_1888857

Specimen UC Davis_1888858: postnatal adult; Bfsp1tm1b(EUCOMM)Wtsi/Bfsp1+ (more )
Structure Level Pattern Image Note
TS28: eye Present UC Davis_1888858

Specimen UC Davis_1888859: postnatal adult; Bfsp1tm1b(EUCOMM)Wtsi/Bfsp1+ (more )
Structure Level Pattern Image Note
TS28: eye Present UC Davis_1888859

Specimen UC Davis_1888860: postnatal adult; Bfsp1tm1b(EUCOMM)Wtsi/Bfsp1+ (more )
Structure Level Pattern Image Note
TS28: testis Present UC Davis_1888860

Specimen UC Davis_1888861: postnatal adult; Bfsp1tm1b(EUCOMM)Wtsi/Bfsp1+ (more )
Structure Level Pattern Image Note
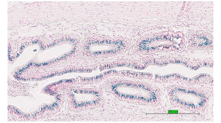
TS28: epididymis Present UC Davis_1888861

Specimen UC Davis_1888862: postnatal adult; Bfsp1tm1b(EUCOMM)Wtsi/Bfsp1+ (more )
Structure Level Pattern Image Note
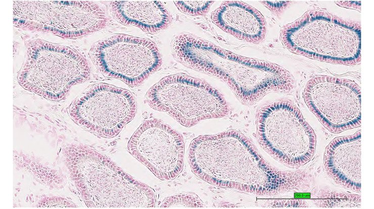
TS28: ductus deferens Present UC Davis_1888862 vas deferens


Contributing Projects:
Mouse Genome Database (MGD), Gene Expression Database (GXD), Mouse Models of Human Cancer database (MMHCdb) (formerly Mouse Tumor Biology (MTB)), Gene Ontology (GO)
Citing These Resources
Funding Information
Warranty Disclaimer, Privacy Notice, Licensing, & Copyright
Send questions and comments to User Support.
last database update
12/30/2025
MGI 6.24
The Jackson Laboratory