About   Help   FAQ
Gene Expression Data
Assay Details
Assay
Reference: J:293956 Neupane S, et al., Signaling Modulations of miR-206-3p in Tooth Morphogenesis. Int J Mol Sci. 2020 Jul 24;21(15):5251
Assay type: RNA in situ
MGI Accession ID: MGI:6479971
Gene symbol: Mir206
Gene name: microRNA 206
Probe: miR-206-3p probe1
Probe preparation: Antisense labelled with digoxigenin DNA
Results
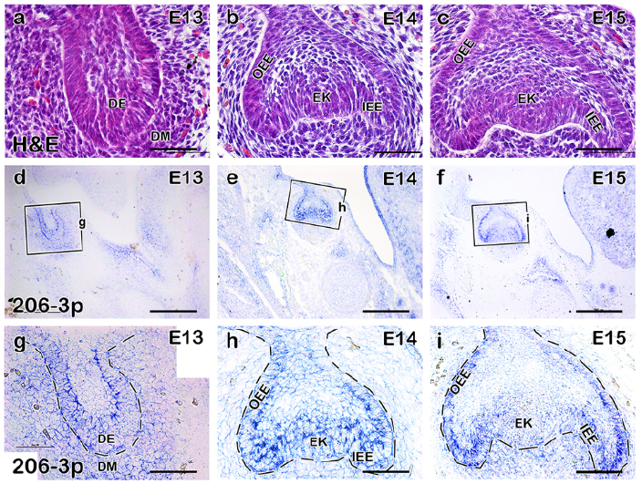
Specimen 1d: embryonic day 13.5 (more )
Note: Bud stage.
Structure Level Pattern Image Note
TS21: tooth epithelium Present Punctate 1g , 1d Expression was more punctate and restricted in the epithelium than the mesenchyme.
TS21: tooth mesenchyme Present 1d , 1g

Specimen 1e: embryonic day 14.5 (more )
Note: Cap stage.
Structure Level Pattern Image Note
TS22: tooth epithelium Present Regionally restricted 1e , 1h Expression was detected in the inner enamel epithelium and the outer enamel epithelium.
TS22: enamel knot Present 1h , 1e
TS22: tooth mesenchyme Present 1h , 1e

Specimen 1f: embryonic day 15.5 (more )
Note: Cap stage.
Structure Level Pattern Image Note
TS23: tooth epithelium Present Regionally restricted 1f , 1i Expression was detected in the inner enamel epithelium and the outer enamel epithelium.
TS23: tooth mesenchyme Present 1f , 1i


Contributing Projects:
Mouse Genome Database (MGD), Gene Expression Database (GXD), Mouse Models of Human Cancer database (MMHCdb) (formerly Mouse Tumor Biology (MTB)), Gene Ontology (GO)
Citing These Resources
Funding Information
Warranty Disclaimer, Privacy Notice, Licensing, & Copyright
Send questions and comments to User Support.
last database update
03/24/2026
MGI 6.24
The Jackson Laboratory