Gene Expression Data
Assay Details
|
Assay
|
|
Reference:
|
J:36870
Wilkinson GA, et al., Neurotrophin-3 is a survival factor in vivo for early mouse trigeminal neurons. J Neurosci. 1996 Dec 1;16(23):7661-9
|
|
Assay type:
|
Immunohistochemistry
|
|
MGI Accession ID:
|
MGI:6468024
|
|
Gene symbol:
|
Nefm
|
|
Gene name:
|
neurofilament, medium polypeptide
|
|
Antibody:
|
anti-NF-150
|
|
Detection system:
|
Biotinylated secondary antibody/[Strept]avidin coupled to horseradish peroxidase
|
|
|
Results
|
Specimen
not shown - E10.5:
embryonic day 10.5
(more )
Note: These data are reported in Fig. 2
Specimen
not shown - E10.5:
(close )
|
Genetic Background:
|
involves: 129S2/SvPas * C57BL/6
|
|
Age:
|
embryonic day 10.5
|
|
Sex:
|
Not Specified
|
|
Type:
|
section
|
|
Fixation:
|
Carnoy's Fixative
|
|
Embedding:
|
Paraffin
|
|
Note:
|
These data are reported in Fig. 2
|
Specimen
not shown - E10.5:
embryonic day 10.5; Ntf3tm1Lfr/ Ntf3tm1Lfr
(more )
Note: These data are reported in Fig. 2
Specimen
not shown - E10.5:
(close )
|
Genetic Background:
|
involves: 129S2/SvPas * C57BL/6
|
|
Mutant Allele(s):
|
Ntf3tm1Lfr/Ntf3tm1Lfr
|
|
Age:
|
embryonic day 10.5
|
|
Sex:
|
Not Specified
|
|
Type:
|
section
|
|
Fixation:
|
Carnoy's Fixative
|
|
Embedding:
|
Paraffin
|
|
Note:
|
These data are reported in Fig. 2
|
| Structure |
Level |
Pattern |
Image |
Note |
| TS17: trigeminal ganglion |
Present |
|
|
Expression is present in neurons; the number of these neurons is the same in the mutant as in wild type.
|
Specimen
not shown - E11.5:
embryonic day 11.5
(more )
Note: These data are reported in Fig. 2
Specimen
not shown - E11.5:
(close )
|
Genetic Background:
|
involves: 129S2/SvPas * C57BL/6
|
|
Age:
|
embryonic day 11.5
|
|
Sex:
|
Not Specified
|
|
Type:
|
section
|
|
Fixation:
|
Carnoy's Fixative
|
|
Embedding:
|
Paraffin
|
|
Note:
|
These data are reported in Fig. 2
|
Specimen
not shown - E11.5:
embryonic day 11.5
(more )
Note: These data are reported in Fig. 2
Specimen
not shown - E11.5:
(close )
|
Genetic Background:
|
involves: 129S2/SvPas * C57BL/6
|
|
Age:
|
embryonic day 11.5
|
|
Sex:
|
Not Specified
|
|
Type:
|
section
|
|
Fixation:
|
Carnoy's Fixative
|
|
Embedding:
|
Paraffin
|
|
Note:
|
These data are reported in Fig. 2
|
| Structure |
Level |
Pattern |
Image |
Note |
| TS19: trigeminal ganglion |
Present |
|
|
Expression is present in neurons; the mutant has only 60% of the neurons seen in wild type.
|
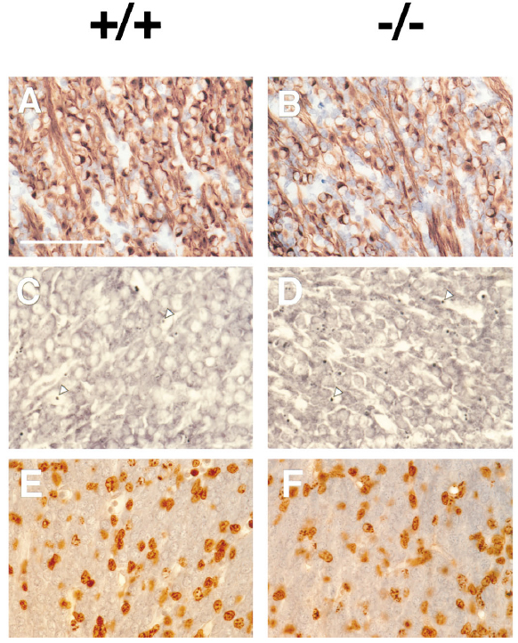
Specimen
1A:
embryonic day 13.5
(more )
Specimen
1A:
(close )
|
Genetic Background:
|
involves: 129S2/SvPas * C57BL/6
|
|
Age:
|
embryonic day 13.5
|
|
Sex:
|
Not Specified
|
|
Type:
|
section
|
|
Fixation:
|
Carnoy's Fixative
|
|
Embedding:
|
Paraffin
|
Specimen
1B:
(close )
|
Genetic Background:
|
involves: 129S2/SvPas * C57BL/6
|
|
Mutant Allele(s):
|
Ntf3tm1Lfr/Ntf3tm1Lfr
|
|
Age:
|
embryonic day 13.5
|
|
Sex:
|
Not Specified
|
|
Type:
|
section
|
|
Fixation:
|
Carnoy's Fixative
|
|
Embedding:
|
Paraffin
|
| Structure |
Level |
Pattern |
Image |
Note |
| TS21: trigeminal ganglion |
Present |
|
1B
|
Expression is present in neurons; the mutant has only 30% of the neurons seen in wild type.
|
Specimen
not shown - het:
embryonic day 13.5; Ntf3tm1Lfr/Ntf3 +
(more )
Specimen
not shown - het:
(close )
|
Genetic Background:
|
involves: 129S2/SvPas * C57BL/6
|
|
Mutant Allele(s):
|
Ntf3tm1Lfr/Ntf3+
|
|
Age:
|
embryonic day 13.5
|
|
Sex:
|
Not Specified
|
|
Type:
|
section
|
|
Fixation:
|
Carnoy's Fixative
|
|
Embedding:
|
Paraffin
|
| Structure |
Level |
Pattern |
Image |
Note |
| TS21: trigeminal ganglion |
Present |
|
|
Expression is present in neurons; the number of these neurons in the heterozygote is essentially the same as in wild type.
|
|