About   Help   FAQ
Gene Expression Data
Assay Details
Assay
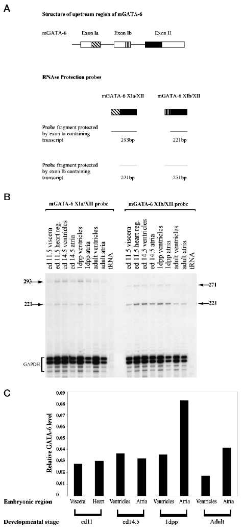
Reference: J:59167 Brewer A, et al., The human and mouse GATA-6 genes utilize two promoters and two initiation codons. J Biol Chem. 1999 Dec 31;274(53):38004-16
Assay type: RNase protection
MGI Accession ID: MGI:6450529
Gene symbol: Gata6
Gene name: GATA binding protein 6
Probe: XIb/XII probe
Probe preparation: labelled with radioactivity
Visualized with: Phosphorimaging
Results
Image: 3B right ©

 Sample Information Bands Other Sample Information
Lane AgeStructure 271 bp 221 bp Amount Genetic BackgroundMutant Allele(s)Sex Note
ed 11.5 viscera E11.5 TS19: organ system Present Present Not Specified; total RNA Not Specified Not Specified viscera
ed 11.5 heart reg. E11.5 TS19: heart Present Present Not Specified; total RNA Not Specified Not Specified
ed 14.5 ventricles E14.5 TS22: heart ventricle Present Present Not Specified; total RNA Not Specified Not Specified
ed 14.5 atria E14.5 TS22: heart atrium Present Present Not Specified; total RNA Not Specified Not Specified
1dpp ventricles P1 TS27: heart ventricle Present Present Not Specified; total RNA Not Specified Not Specified
1dpp atria P1 TS27: heart atrium Present Present Not Specified; total RNA Not Specified Not Specified there is ~2 fold more expression in the atria than the ventricles
adult ventricles P adult TS28: heart ventricle Present Present Not Specified; total RNA Not Specified Not Specified
adult atria P adult TS28: heart atrium Present Present Not Specified; total RNA Not Specified Not Specified there is more expression in the atria than the ventricles
tRNA Control

Contributing Projects:
Mouse Genome Database (MGD), Gene Expression Database (GXD), Mouse Models of Human Cancer database (MMHCdb) (formerly Mouse Tumor Biology (MTB)), Gene Ontology (GO)
Citing These Resources
Funding Information
Warranty Disclaimer, Privacy Notice, Licensing, & Copyright
Send questions and comments to User Support.
last database update
12/30/2025
MGI 6.24
The Jackson Laboratory