Gene Expression Data
Assay Details
|
Assay
|
|
Reference:
|
J:289361
Snead ML, et al., Spatial- and temporal-restricted pattern for amelogenin gene expression during mouse molar tooth organogenesis. Development. 1988 Sep;104(1):77-85
|
|
Assay type:
|
RNA in situ
|
|
MGI Accession ID:
|
MGI:6449237
|
|
Gene symbol:
|
Amelx
|
|
Gene name:
|
amelogenin, X-linked
|
|
Probe:
|
pGEM17-2
|
|
Probe preparation:
|
Antisense labelled with S35 RNA
|
|
Visualized with:
|
Autoradiography
|
|
|
Results
|
Specimen
2A:
postnatal day 1
(more )
Specimen
2A:
(close )
|
Genetic Background:
|
Swiss Webster
|
|
Age:
|
postnatal day 1
|
|
Sex:
|
Not Specified
|
|
Type:
|
section
|
|
Fixation:
|
Glutaraldehyde
|
|
Embedding:
|
Paraffin
|
| Structure |
Level |
Pattern |
Image |
Note |
| TS27: lower jaw molar |
Present |
Regionally restricted |
2A
|
Expression was found only in ameloblasts along the major buccal cusp of the first mandibular molar. No signal was found in ameloblasts along the contralateral surface. Ameloblasts from the adjacent enamel-free zone have lower, but detectable levels of expression.
|
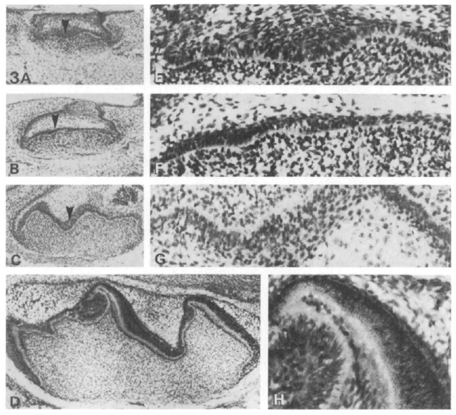
Specimen
3A:
embryonic day 16.5
(more )
Specimen
3A:
(close )
|
Genetic Background:
|
Swiss Webster
|
|
Age:
|
embryonic day 16.5
|
|
Age Note:
|
Age normalized so that noon of plug day = E0.5.
|
|
Sex:
|
Not Specified
|
|
Type:
|
section
|
|
Fixation:
|
Glutaraldehyde
|
|
Embedding:
|
Paraffin
|
Specimen
3B:
embryonic day 17.5
(more )
Specimen
3B:
(close )
|
Genetic Background:
|
Swiss Webster
|
|
Age:
|
embryonic day 17.5
|
|
Age Note:
|
Age normalized so that noon of plug day = E0.5.
|
|
Sex:
|
Not Specified
|
|
Type:
|
section
|
|
Fixation:
|
Glutaraldehyde
|
|
Embedding:
|
Paraffin
|
Specimen
3C:
embryonic day 18.5
(more )
Specimen
3C:
(close )
|
Genetic Background:
|
Swiss Webster
|
|
Age:
|
embryonic day 18.5
|
|
Age Note:
|
Age normalized so that noon of plug day = E0.5.
|
|
Sex:
|
Not Specified
|
|
Type:
|
section
|
|
Fixation:
|
Glutaraldehyde
|
|
Embedding:
|
Paraffin
|
Specimen
3D:
postnatal newborn
(more )
Specimen
3D:
(close )
|
Genetic Background:
|
Swiss Webster
|
|
Age:
|
postnatal newborn
|
|
Sex:
|
Not Specified
|
|
Type:
|
section
|
|
Fixation:
|
Glutaraldehyde
|
|
Embedding:
|
Paraffin
|
| Structure |
Level |
Pattern |
Image |
Note |
| TS27: lower jaw molar |
Present |
Regionally restricted |
3D
|
Expression was detected in ameloblasts confined to the cuspal eminence.
|
Specimen
3E:
embryonic day 16.5
(more )
Specimen
3E:
(close )
|
Genetic Background:
|
Swiss Webster
|
|
Age:
|
embryonic day 16.5
|
|
Age Note:
|
Age normalized so that noon of plug day = E0.5.
|
|
Sex:
|
Not Specified
|
|
Type:
|
section
|
|
Fixation:
|
Glutaraldehyde
|
|
Embedding:
|
Paraffin
|
Specimen
3F:
embryonic day 17.5
(more )
Specimen
3F:
(close )
|
Genetic Background:
|
Swiss Webster
|
|
Age:
|
embryonic day 17.5
|
|
Age Note:
|
Age normalized so that noon of plug day = E0.5.
|
|
Sex:
|
Not Specified
|
|
Type:
|
section
|
|
Fixation:
|
Glutaraldehyde
|
|
Embedding:
|
Paraffin
|
Specimen
3G:
embryonic day 18.5
(more )
Specimen
3G:
(close )
|
Genetic Background:
|
Swiss Webster
|
|
Age:
|
embryonic day 18.5
|
|
Age Note:
|
Age normalized so that noon of plug day = E0.5.
|
|
Sex:
|
Not Specified
|
|
Type:
|
section
|
|
Fixation:
|
Glutaraldehyde
|
|
Embedding:
|
Paraffin
|
Specimen
3H:
postnatal newborn
(more )
Specimen
3H:
(close )
|
Genetic Background:
|
Swiss Webster
|
|
Age:
|
postnatal newborn
|
|
Sex:
|
Not Specified
|
|
Type:
|
section
|
|
Fixation:
|
Glutaraldehyde
|
|
Embedding:
|
Paraffin
|
| Structure |
Level |
Pattern |
Image |
Note |
| TS27: lower jaw molar |
Present |
Regionally restricted |
3H
|
Expression was detected in ameloblasts confined to the cuspal eminence.
|
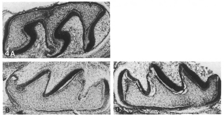
Specimen
4A:
postnatal
(more )
Specimen
4A:
(close )
|
Genetic Background:
|
Swiss Webster
|
|
Age:
|
postnatal
|
|
Sex:
|
Not Specified
|
|
Type:
|
section
|
|
Fixation:
|
Glutaraldehyde
|
|
Embedding:
|
Paraffin
|
| Structure |
Level |
Pattern |
Image |
Note |
| TS28: upper jaw molar |
Present |
Regionally restricted |
4A
|
Expression was detected in the ameloblasts. Patterns between upper and lower molars were complementary to each other.
|
Specimen
4B:
postnatal
(more )
Specimen
4B:
(close )
|
Genetic Background:
|
Swiss Webster
|
|
Age:
|
postnatal
|
|
Sex:
|
Not Specified
|
|
Type:
|
section
|
|
Fixation:
|
Glutaraldehyde
|
|
Embedding:
|
Paraffin
|
| Structure |
Level |
Pattern |
Image |
Note |
| TS28: lower jaw molar |
Present |
Regionally restricted |
4B
|
Expression was detected in the ameloblasts in the right mandibular molar. Patterns between left and right lower molars were a mirror image to each other.
|
Specimen
4C:
postnatal
(more )
Specimen
4C:
(close )
|
Genetic Background:
|
Swiss Webster
|
|
Age:
|
postnatal
|
|
Sex:
|
Not Specified
|
|
Type:
|
section
|
|
Fixation:
|
Glutaraldehyde
|
|
Embedding:
|
Paraffin
|
| Structure |
Level |
Pattern |
Image |
Note |
| TS28: lower jaw molar |
Present |
Regionally restricted |
4C
|
Expression was detected in the ameloblasts in the left mandibular molar. Patterns between left and right lower molars were a mirror image to each other.
|
Specimen
5A upper:
postnatal newborn
(more )
Note: Specimen was a 3D reconstruction of multiple serial sections.
Specimen
5A upper:
(close )
|
Genetic Background:
|
Swiss Webster
|
|
Age:
|
postnatal newborn
|
|
Sex:
|
Not Specified
|
|
Type:
|
section
|
|
Fixation:
|
Glutaraldehyde
|
|
Embedding:
|
Paraffin
|
|
Note:
|
Specimen was a 3D reconstruction of multiple serial sections.
|
| Structure |
Level |
Pattern |
Image |
Note |
| TS27: lower jaw molar |
Strong |
Regionally restricted |
5A upper
|
Two small foci of differentiated ameloblasts were shown to have heavy hybridization signal. The adjacent sheet of preameloblasts had no detectable signal.
|
Specimen
5A lower:
postnatal day 1
(more )
Note: Specimen was a 3D reconstruction of multiple serial sections.
Specimen
5A lower:
(close )
|
Genetic Background:
|
Swiss Webster
|
|
Age:
|
postnatal day 1
|
|
Sex:
|
Not Specified
|
|
Type:
|
section
|
|
Fixation:
|
Glutaraldehyde
|
|
Embedding:
|
Paraffin
|
|
Note:
|
Specimen was a 3D reconstruction of multiple serial sections.
|
| Structure |
Level |
Pattern |
Image |
Note |
| TS27: lower jaw molar |
Strong |
Regionally restricted |
5A lower
|
At P1, more ameloblasts were transcriptionally active showing heavy hybridization signal.
|
Specimen
5B upper:
postnatal day 1
(more )
Note: Specimen was a 3D reconstruction of multiple serial sections. The 5B upper and lower panels displayed the maxillary and mandibular first molars in approximate anatomic opposition.
Specimen
5B upper:
(close )
|
Genetic Background:
|
Swiss Webster
|
|
Age:
|
postnatal day 1
|
|
Sex:
|
Not Specified
|
|
Type:
|
section
|
|
Fixation:
|
Glutaraldehyde
|
|
Embedding:
|
Paraffin
|
|
Note:
|
Specimen was a 3D reconstruction of multiple serial sections. The 5B upper and lower panels displayed the maxillary and mandibular first molars in approximate anatomic opposition.
|
| Structure |
Level |
Pattern |
Image |
Note |
| TS27: upper jaw molar |
Strong |
Non-Uniform |
5B upper
|
The maxillary and mandibular molar surfaces which oppose one another during mastication demonstrated relatively high levels of expression. The opposite surfaces expressed relatively low levels. The varying intensity of hybridization signal for anatomic regions of ameloblasts depicted a mosaic pattern of transcription within the continuous sheet of epithelium.
|
Specimen
5B lower:
postnatal day 1
(more )
Note: Specimen was a 3D reconstruction of multiple serial sections. The 5B upper and lower panels displayed the maxillary and mandibular first molars in approximate anatomic opposition.
Specimen
5B lower:
(close )
|
Genetic Background:
|
Swiss Webster
|
|
Age:
|
postnatal day 1
|
|
Sex:
|
Not Specified
|
|
Type:
|
section
|
|
Fixation:
|
Glutaraldehyde
|
|
Embedding:
|
Paraffin
|
|
Note:
|
Specimen was a 3D reconstruction of multiple serial sections. The 5B upper and lower panels displayed the maxillary and mandibular first molars in approximate anatomic opposition.
|
| Structure |
Level |
Pattern |
Image |
Note |
| TS27: lower jaw molar |
Strong |
Non-Uniform |
5B lower
|
The maxillary and mandibular molar surfaces which oppose one another during mastication demonstrated relatively high levels of expression. The opposite surfaces expressed relatively low levels. The varying intensity of hybridization signal for anatomic regions of ameloblasts depicted a mosaic pattern of transcription within the continuous sheet of epithelium.
|
|