About   Help   FAQ
Gene Expression Data
Assay Details
Assay
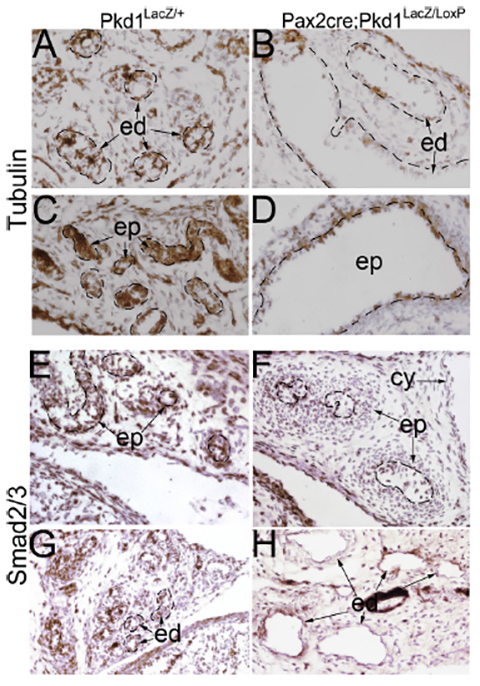
Reference: J:204460 Nie X, et al., Pkd1 is required for male reproductive tract development. Mech Dev. 2013 Nov-Dec;130(11-12):567-76
Assay type: Immunohistochemistry
MGI Accession ID: MGI:6441888
Gene symbol: Smad3
Gene name: SMAD family member 3
Antibody: anti-Smad2/3
Detection system: Secondary antibody coupled to horseradish peroxidase
Results
Specimen 7E: postnatal day 1; Pkd1tm1Ggg/Pkd1+ (more )
Structure Level Pattern Image Note
TS27: epithelium of epididymis Strong 7E

Specimen 7F: postnatal day 1; Pkd1tm1Ggg/Pkd1tm2Ggg, Tg(Pax2-cre)1Akg/0 (more )
Note: Conditional mutant.
Structure Level Pattern Image Note
TS27: epithelium of epididymis Weak 7F Markedly reduced expression beginning in late gestation.

Specimen 7G: postnatal day 1; Pkd1tm1Ggg/Pkd1+ (more )
Structure Level Pattern Image Note
TS27: efferent duct of seminal vesicle Present 7G

Specimen 7H: postnatal day 1; Pkd1tm1Ggg/Pkd1tm2Ggg, Tg(Pax2-cre)1Akg/0 (more )
Note: Conditional mutant.
Structure Level Pattern Image Note
TS27: efferent duct of seminal vesicle Weak Regionally restricted 7H Expression reduced in cystic lining epithelium of mutant efferent ducts.


Contributing Projects:
Mouse Genome Database (MGD), Gene Expression Database (GXD), Mouse Models of Human Cancer database (MMHCdb) (formerly Mouse Tumor Biology (MTB)), Gene Ontology (GO)
Citing These Resources
Funding Information
Warranty Disclaimer, Privacy Notice, Licensing, & Copyright
Send questions and comments to User Support.
last database update
12/30/2025
MGI 6.24
The Jackson Laboratory