About   Help   FAQ
Gene Expression Data
Assay Details
Assay
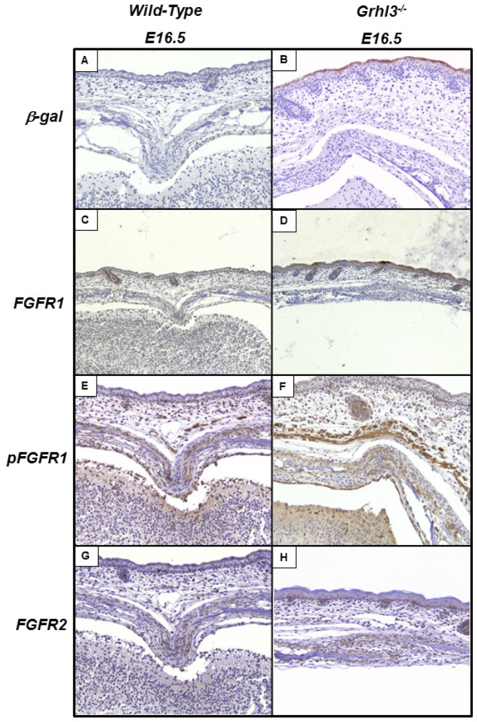
Reference: J:236374 Goldie SJ, et al., Mice lacking the conserved transcription factor Grainyhead-like 3 (Grhl3) display increased apposition of the frontal and parietal bones during embryonic development. BMC Dev Biol. 2016 Oct 18;16(1):37
Assay type: Immunohistochemistry
MGI Accession ID: MGI:6438260
Gene symbol: Fgfr1
Gene name: fibroblast growth factor receptor 1
Antibody: Anti-FGFR1 (phospho Y654) antibody (ab59194)
Assay notes: The antibody used recognizes the phosphorylated form of the protein.
Results
Specimen S4E: embryonic day 16.5 (more )
Structure Level Pattern Image Note
TS24: epidermis Present S4a_E

Specimen S4F: embryonic day 16.5; Grhl3tm1Jane/Grhl3tm1Jane (more )
Structure Level Pattern Image Note
TS24: epidermis Present S4a_F Reduced expression in the most superficial layers.

Specimen S5E: embryonic day 18.5 (more )
Structure Level Pattern Image Note
TS26: epidermis Present S5a_E

Specimen S5F: embryonic day 18.5; Grhl3tm1Jane/Grhl3tm1Jane (more )
Structure Level Pattern Image Note
TS26: epidermis Present S5a_F Reduced expression in the most superficial layers.


Contributing Projects:
Mouse Genome Database (MGD), Gene Expression Database (GXD), Mouse Models of Human Cancer database (MMHCdb) (formerly Mouse Tumor Biology (MTB)), Gene Ontology (GO)
Citing These Resources
Funding Information
Warranty Disclaimer, Privacy Notice, Licensing, & Copyright
Send questions and comments to User Support.
last database update
12/30/2025
MGI 6.24
The Jackson Laboratory