About   Help   FAQ
Gene Expression Data
Assay Details
Assay
Reference: J:132300 Amin S, et al., Incudomalleal joint formation: the roles of apoptosis, migration and downregulation. BMC Dev Biol. 2007;7:134
Assay type: Immunohistochemistry
MGI Accession ID: MGI:6415065
Gene symbol: Pcna
Gene name: proliferating cell nuclear antigen
Antibody: anti-PCNA
Detection system: Secondary antibody coupled to horseradish peroxidase
Results
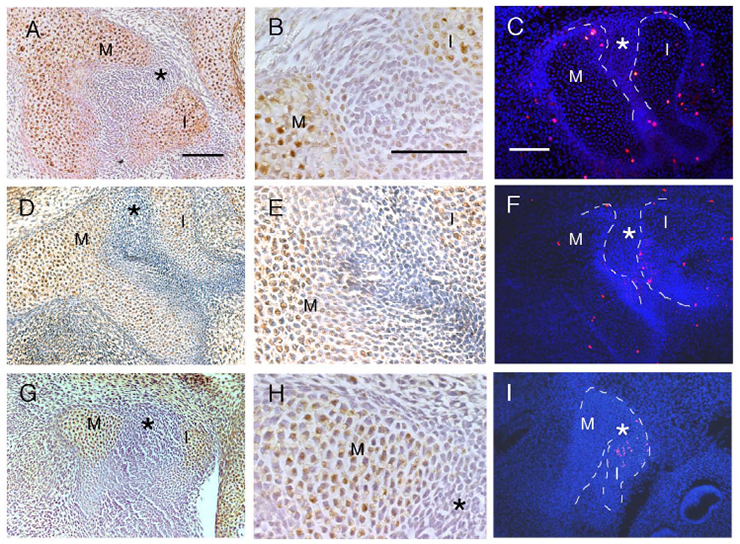
Specimen 1A: embryonic day 15.5 (more )
Structure Level Pattern Image Note
TS23: incus Present Single cells 1A Proliferating cells are seen in the ossicles.
TS23: malleus Present Single cells 1A Proliferating cells are seen in the ossicles.
TS23: skeletal joint Absent 1A No proliferating cells are seen in the forming incudomalleal joint.

Specimen 1B: embryonic day 15.5 (more )
Structure Level Pattern Image Note
TS23: incus Present Single cells 1B Proliferating cells are seen in the ossicles.
TS23: malleus Present Single cells 1B Proliferating cells are seen in the ossicles.
TS23: skeletal joint Absent 1B No proliferating cells are seen in the forming incudomalleal joint.

Specimen 1D: embryonic day 14.5 (more )
Structure Level Pattern Image Note
TS22: ossicle Present Single cells 1D Proliferating cells are seen in the malleus and incus.
TS22: skeletal joint Absent 1D No proliferating cells are seen in the forming incudomalleal joint.

Specimen 1E: embryonic day 14.5 (more )
Structure Level Pattern Image Note
TS22: ossicle Present Single cells 1E Proliferating cells are seen in the malleus and incus.
TS22: skeletal joint Absent 1E No proliferating cells are seen in the forming incudomalleal joint.

Specimen 1G: embryonic day 13.5 (more )
Structure Level Pattern Image Note
TS21: ossicle Present Single cells 1G Proliferating cells are seen in the malleus and incus.
TS21: skeletal joint Absent 1G No proliferating cells are seen in the forming incudomalleal joint.

Specimen 1H: embryonic day 13.5 (more )
Structure Level Pattern Image Note
TS21: ossicle Present Single cells 1H Proliferating cells are seen in the malleus and incus.
TS21: skeletal joint Absent 1H No proliferating cells are seen in the forming incudomalleal joint.


Contributing Projects:
Mouse Genome Database (MGD), Gene Expression Database (GXD), Mouse Models of Human Cancer database (MMHCdb) (formerly Mouse Tumor Biology (MTB)), Gene Ontology (GO)
Citing These Resources
Funding Information
Warranty Disclaimer, Privacy Notice, Licensing, & Copyright
Send questions and comments to User Support.
last database update
01/28/2026
MGI 6.24
The Jackson Laboratory