About   Help   FAQ
Gene Expression Data
Assay Details
Assay
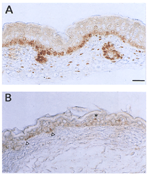
Reference: J:37407 Morasso MI, et al., Regulation of epidermal differentiation by a Distal-less homeodomain gene. J Cell Biol. 1996 Dec;135(6 Pt 2):1879-87
Assay type: Immunohistochemistry
MGI Accession ID: MGI:6391251
Gene symbol: Pcna
Gene name: proliferating cell nuclear antigen
Antibody: anti-PCNA
Detection system: Secondary antibody coupled to alkaline phosphatase
Results
Specimen 6A: embryonic day 18.5 (more )
Structure Level Pattern Image Note
TS26: epidermis basal layer Present 6A


Contributing Projects:
Mouse Genome Database (MGD), Gene Expression Database (GXD), Mouse Models of Human Cancer database (MMHCdb) (formerly Mouse Tumor Biology (MTB)), Gene Ontology (GO)
Citing These Resources
Funding Information
Warranty Disclaimer, Privacy Notice, Licensing, & Copyright
Send questions and comments to User Support.
last database update
01/28/2026
MGI 6.24
The Jackson Laboratory