About   Help   FAQ
Gene Expression Data
Assay Details
Assay
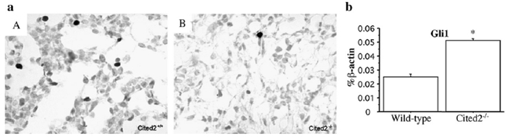
Reference: J:136063 Xu B, et al., Cited2 is required for fetal lung maturation. Dev Biol. 2008 May 1;317(1):95-105
Assay type: RT-PCR
MGI Accession ID: MGI:6386202
Gene symbol: Gli1
Gene name: GLI-Kruppel family member GLI1
Results
Image: 4b ©

 Sample Information Bands Other Sample Information
Lane AgeStructure Size Not Specified Amount Genetic BackgroundMutant Allele(s)Sex
wild type E17.0 TS25: lung Present Not Specified; total RNA C57BL/6J Not Specified
Cited2-/- E17.0 TS25: lung Strong (a) Not Specified; total RNA B6.Cg-Cited2tm1Ycy Cited2tm1Ycy/Cited2tm1YcyNot Specified
Notes:
(a) Expression level 2-fold higher than in wild-type

Contributing Projects:
Mouse Genome Database (MGD), Gene Expression Database (GXD), Mouse Models of Human Cancer database (MMHCdb) (formerly Mouse Tumor Biology (MTB)), Gene Ontology (GO)
Citing These Resources
Funding Information
Warranty Disclaimer, Privacy Notice, Licensing, & Copyright
Send questions and comments to User Support.
last database update
01/06/2026
MGI 6.24
The Jackson Laboratory