About   Help   FAQ
Gene Expression Data
Assay Details
Assay
Reference: J:281430 Dong C, et al., Expression pattern of Kmt2d in murine craniofacial tissues. Gene Expr Patterns. 2019 Jun 19;34:119060
Assay type: RNA in situ
MGI Accession ID: MGI:6385118
Gene symbol: Kmt2d
Gene name: lysine (K)-specific methyltransferase 2D
Probe: Kmt2d cDNA1
Probe preparation: Antisense RNA
Results
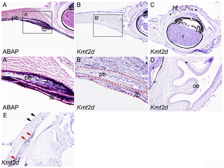
Specimen 1B: embryonic day 13.5 (more )
Structure Level Pattern Image Note
TS21: frontal bone primordium Present 1B' , 1B
TS21: parietal bone primordium Present 1B' , 1B
TS21: choroid plexus Present 1B , 1B"
TS21: neocortex Present Regionally restricted 1B''' , 1B Expression was in the roof of the neopallial cortex.

Specimen 1C: embryonic day 13.5 (more )
Structure Level Pattern Image Note
TS21: olfactory epithelium Present 1C
TS21: optic nerve Present 1C , 1C'
TS21: retina Present 1C , 1C'
TS21: pituitary gland Present 1C" , 1C
TS21: trigeminal ganglion Present 1C" , 1C

Specimen 1E: embryonic day 13.5 (more )
Structure Level Pattern Image Note
TS21: frontal bone primordium Present 1E

Specimen 2B: embryonic day 15.5 (more )
Structure Level Pattern Image Note
TS23: dura mater Present 2B
TS23: embryo ectoderm Present 2B
TS23: frontal bone primordium Present 2B Expression was detected in the osteoblasts.
TS23: parietal bone Present 2B Expression was detected in the osteoblasts.
TS23: tectum transversum Present Regionally restricted 2B Expression was detected in the tectum transversum chondrocytes.
TS23: cerebral cortex Present 2B Expression was in neurons.

Specimen 2C: embryonic day 15.5 (more )
Structure Level Pattern Image Note
TS23: lens Present 2C
TS23: retina Present 2C

Specimen 2D: embryonic day 15.5 (more )
Structure Level Pattern Image Note
TS23: nasal septum Present Regionally restricted 2D Expression was detected in the ectoderm.

Specimen 2F: embryonic day 15.5 (more )
Structure Level Pattern Image Note
TS23: frontal bone primordium Present 2F Expression was detected in osteoblasts.
TS23: lens Present 2F
TS23: brain Present 2F Expression was in neurons.

Specimen 2I: embryonic day 18.5 (more )
Structure Level Pattern Image Note
TS26: embryo ectoderm Present 2I
TS26: frontal bone Present 2I Expression was detected in osteoblasts.
TS26: parietal bone Present 2I Expression was detected in osteoblasts.
TS26: tectum transversum Present Regionally restricted 2I Expression was increased in the tectum transversum chondrocytes.
TS26: dura mater Present 2I Expression was increased compared to E15.5.

Specimen 2J: embryonic day 18.5 (more )
Structure Level Pattern Image Note
TS26: brain Present Widespread 2J
TS26: 3rd ventricle Present Clusters 2J Expression was clustered in the ependymal lining of the third ventricle.
TS26: diencephalon Present Clusters 2J Expression was clustered in the floor of the diencephalon.

Specimen 3B: postnatal day 5 (more )
Structure Level Pattern Image Note
TS28: frontal bone Weak 3B , 3B' Expression was dramatically decreased in the calvarial osteoblasts.
TS28: parietal bone Weak 3B , 3B' Expression was dramatically decreased in the calvarial osteoblasts.
TS28: face Present Regionally restricted 3B Expression was detected in a restricted pattern in the craniofacial epithelial cells next to the eye.

Specimen 3C: postnatal day 5 (more )
Structure Level Pattern Image Note
TS28: hair follicle Present 3C
TS28: retina Present 3C

Specimen 3D: postnatal day 5 (more )
Structure Level Pattern Image Note
TS28: olfactory epithelium Present 3D

Specimen 3E: postnatal day 5 (more )
Structure Level Pattern Image Note
TS28: facial muscle Present Regionally restricted 3E Expression was detected in muscle cells adjacent to the interparietal bone.
TS28: face Present Regionally restricted 3E Expression was detected in craniofacial muscle cells, but not craniofacial epithelial cells adjacent to the interparietal bone.


Contributing Projects:
Mouse Genome Database (MGD), Gene Expression Database (GXD), Mouse Models of Human Cancer database (MMHCdb) (formerly Mouse Tumor Biology (MTB)), Gene Ontology (GO)
Citing These Resources
Funding Information
Warranty Disclaimer, Privacy Notice, Licensing, & Copyright
Send questions and comments to User Support.
last database update
12/30/2025
MGI 6.24
The Jackson Laboratory