About   Help   FAQ
Gene Expression Data
Assay Details
Assay
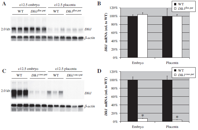
Reference: J:194130 Appelbe OK, et al., Conditional deletions refine the embryonic requirement for Dlk1. Mech Dev. 2013 Feb;130(2-3):143-59
Assay type: Northern blot
MGI Accession ID: MGI:6377436
Gene symbol: Dlk1
Gene name: delta like non-canonical Notch ligand 1
Probe: Dlk1 probe3
Probe preparation: Double stranded labelled with P32 DNA
Visualized with: Phosphorimaging
Assay notes: Dlk1 is an imprinted gene; it is expressed only from the paternally inherited allele.
Results
Image: 2A ©

 Sample Information Bands Other Sample Information
Lane AgeStructure 2 kb Amount Genetic BackgroundMutant Allele(s)Sex Note
WT E12.5 TS20: embryo Present Not Specified; total RNA involves: 129P2/OlaHsd * C57BL/6 * FVB/N Not Specified The genetic background of the specimen was either wild type littermate or one in which the floxed allele was inherited maternally.
WT E12.5 TS20: embryo Present Not Specified; total RNA involves: 129P2/OlaHsd * C57BL/6 * FVB/N Not Specified The genetic background of the specimen was either wild type littermate or one in which the floxed allele was inherited maternally.
WT E12.5 TS20: embryo Present Not Specified; total RNA involves: 129P2/OlaHsd * C57BL/6 * FVB/N Not Specified The genetic background of the specimen was either wild type littermate or one in which the floxed allele was inherited maternally.
Dlk1flox-pat E12.5 TS20: embryo Present (a) Not Specified; total RNA involves: 129P2/OlaHsd * C57BL/6 * FVB/N Dlk1tm1.1Jvs/Dlk1+Not Specified Paternally inherited allele.
Dlk1flox-pat E12.5 TS20: embryo Present (a) Not Specified; total RNA involves: 129P2/OlaHsd * C57BL/6 * FVB/N Dlk1tm1.1Jvs/Dlk1+Not Specified Paternally inherited allele.
Dlk1flox-pat E12.5 TS20: embryo Present (a) Not Specified; total RNA involves: 129P2/OlaHsd * C57BL/6 * FVB/N Dlk1tm1.1Jvs/Dlk1+Not Specified Paternally inherited allele.
WT E12.5 TS28: placenta Present Not Specified; total RNA involves: 129P2/OlaHsd * C57BL/6 * FVB/N Not Specified The genetic background of the specimen was either wild type littermate or one in which the floxed allele was inherited maternally.
WT E12.5 TS28: placenta Present Not Specified; total RNA involves: 129P2/OlaHsd * C57BL/6 * FVB/N Not Specified The genetic background of the specimen was either wild type littermate or one in which the floxed allele was inherited maternally.
WT E12.5 TS28: placenta Present Not Specified; total RNA involves: 129P2/OlaHsd * C57BL/6 * FVB/N Not Specified The genetic background of the specimen was either wild type littermate or one in which the floxed allele was inherited maternally.
Dlk1flox-pat E12.5 TS28: placenta Present (a) Not Specified; total RNA involves: 129P2/OlaHsd * C57BL/6 * FVB/N Dlk1tm1.1Jvs/Dlk1+Not Specified Paternally inherited allele.
Dlk1flox-pat E12.5 TS28: placenta Present (a) Not Specified; total RNA involves: 129P2/OlaHsd * C57BL/6 * FVB/N Dlk1tm1.1Jvs/Dlk1+Not Specified Paternally inherited allele.
Dlk1flox-pat E12.5 TS28: placenta Present (a) Not Specified; total RNA involves: 129P2/OlaHsd * C57BL/6 * FVB/N Dlk1tm1.1Jvs/Dlk1+Not Specified Paternally inherited allele.
Notes:
(a) Expression in the specimen with the paternal floxed allele was not significantly different from wild type, indicating no effect of the loxP insertion.

Contributing Projects:
Mouse Genome Database (MGD), Gene Expression Database (GXD), Mouse Models of Human Cancer database (MMHCdb) (formerly Mouse Tumor Biology (MTB)), Gene Ontology (GO)
Citing These Resources
Funding Information
Warranty Disclaimer, Privacy Notice, Licensing, & Copyright
Send questions and comments to User Support.
last database update
01/28/2026
MGI 6.24
The Jackson Laboratory