About   Help   FAQ
Gene Expression Data
Assay Details
Assay
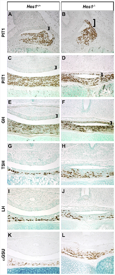
Reference: J:122509 Raetzman LT, et al., Hes1 is required for pituitary growth and melanotrope specification. Dev Biol. 2007 Apr 15;304(2):455-66
Assay type: Immunohistochemistry
MGI Accession ID: MGI:6376609
Gene symbol: Pou1f1
Gene name: POU domain, class 1, transcription factor 1
Antibody: PIT1 antibody
Detection system: horseradish peroxidase
Results
Specimen 7A: embryonic day 16.5 (more )
Structure Level Pattern Image Note
TS24: adenohypophysis pars anterior Present 7A
TS24: adenohypophysis pars intermedia Absent 7A

Specimen 7B: embryonic day 16.5; Hes1tm1Fgu/Hes1tm1Fgu (more )
Structure Level Pattern Image Note
TS24: adenohypophysis pars anterior Present 7B
TS24: adenohypophysis pars intermedia Present Regionally restricted 7B Expression in caudal part at E16.5.

Specimen 7C: embryonic day 18.5 (more )
Structure Level Pattern Image Note
TS26: adenohypophysis pars anterior Present 7C
TS26: adenohypophysis pars intermedia Absent 7C

Specimen 7D: embryonic day 18.5; Hes1tm1Fgu/Hes1tm1Fgu (more )
Structure Level Pattern Image Note
TS26: adenohypophysis pars anterior Present 7D
TS26: adenohypophysis pars intermedia Present Widespread 7D Authors report expression thoughout.


Contributing Projects:
Mouse Genome Database (MGD), Gene Expression Database (GXD), Mouse Models of Human Cancer database (MMHCdb) (formerly Mouse Tumor Biology (MTB)), Gene Ontology (GO)
Citing These Resources
Funding Information
Warranty Disclaimer, Privacy Notice, Licensing, & Copyright
Send questions and comments to User Support.
last database update
03/24/2026
MGI 6.24
The Jackson Laboratory