About   Help   FAQ
Gene Expression Data
Assay Details
Assay
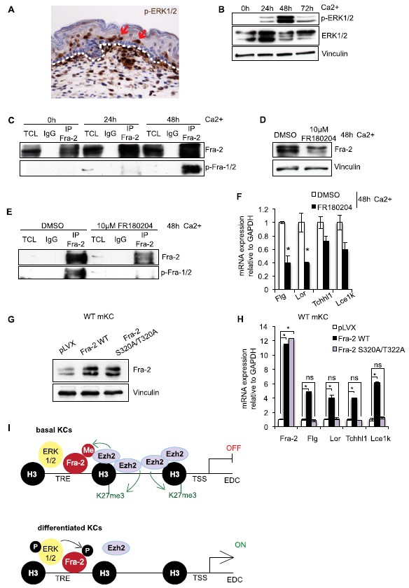
Reference: J:218234 Wurm S, et al., Terminal epidermal differentiation is regulated by the interaction of Fra-2/AP-1 with Ezh2 and ERK1/2. Genes Dev. 2015 Jan 15;29(2):144-56
Assay type: Immunohistochemistry
MGI Accession ID: MGI:6331283
Gene symbol: Mapk1
Gene name: mitogen-activated protein kinase 1
Antibody: anti-phospho-ERK1/2 (D13.14.4E; #4370)
Detection system: Secondary antibody
Assay notes: The specificity of the antibody used was not detailed; both family members have been annotated.
Results
Specimen 5A: embryonic day 17.5 (more )
Structure Level Pattern Image Note
TS25: epidermis Present Regionally restricted 5A Expressed in suprabasal keratinocytes.


Contributing Projects:
Mouse Genome Database (MGD), Gene Expression Database (GXD), Mouse Models of Human Cancer database (MMHCdb) (formerly Mouse Tumor Biology (MTB)), Gene Ontology (GO)
Citing These Resources
Funding Information
Warranty Disclaimer, Privacy Notice, Licensing, & Copyright
Send questions and comments to User Support.
last database update
12/30/2025
MGI 6.24
The Jackson Laboratory