About   Help   FAQ
Gene Expression Data
Assay Details
Assay
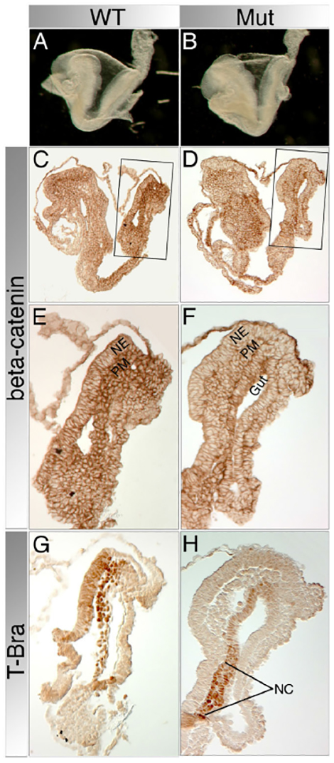
Reference: J:155247 Hierholzer A, et al., beta-catenin-mediated signaling and cell adhesion in postgastrulation mouse embryos. Dev Dyn. 2009 Aug 24;239(1):191-199
Assay type: Immunohistochemistry
MGI Accession ID: MGI:6315578
Gene symbol: T
Gene name: brachyury, T-box transcription factor T
Antibody: anti-Brachyury
Detection system: Secondary antibody coupled to horseradish peroxidase
Results
Specimen 3G: embryonic day 8.5; Ctnnb1tm2.1Kem/Ctnnb1+, Tg(Cdx1-cre)23Kem/0 (more )
Note: Conditional mutant.
Structure Level Pattern Image Note
TS13: notochord Present 3G
TS13: unsegmented mesenchyme Present 3G

Specimen 3H: embryonic day 8.5; Ctnnb1tm2.1Kem/Ctnnb1tm2.1Kem, Tg(Cdx1-cre)23Kem/0 (more )
Note: Conditional mutant.
Structure Level Pattern Image Note
TS13: notochord Present 3H Expression in this tissue is the same as in wild-type.
TS13: unsegmented mesenchyme Absent 3H


Contributing Projects:
Mouse Genome Database (MGD), Gene Expression Database (GXD), Mouse Models of Human Cancer database (MMHCdb) (formerly Mouse Tumor Biology (MTB)), Gene Ontology (GO)
Citing These Resources
Funding Information
Warranty Disclaimer, Privacy Notice, Licensing, & Copyright
Send questions and comments to User Support.
last database update
12/30/2025
MGI 6.24
The Jackson Laboratory