About   Help   FAQ
Gene Expression Data
Assay Details
Assay
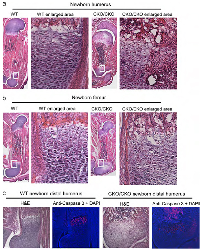
Reference: J:199592 Yang L, et al., ESET histone methyltransferase is essential to hypertrophic differentiation of growth plate chondrocytes and formation of epiphyseal plates. Dev Biol. 2013 Aug 1;380(1):99-110
Assay type: Immunohistochemistry
MGI Accession ID: MGI:6294699
Gene symbol: Casp3
Gene name: caspase 3
Antibody: anti-Caspase-3 (ab13847)
Detection system: Cy3
Results
Specimen 3c WT: postnatal newborn (more )
Structure Level Pattern Image Note
TS27: humerus Present Regionally restricted 3c Anti-Caspase 3 WT Expression in hypertrophic chondroxytes in wildtype distal humerus.

Specimen 3c CKO/CKO: postnatal newborn; Setdb1tm1.1Yshk/Setdb1tm1.1Yshk, Tg(Prrx1-cre)1Cjt/0 (more )
Note: Conditional mutant.
Structure Level Pattern Image Note
TS27: humerus Present Regionally restricted 3c Anti-Caspase 3 CKO/CKO Authors state that expression in the distal humerus was more disorganized and widely distributed.


Contributing Projects:
Mouse Genome Database (MGD), Gene Expression Database (GXD), Mouse Models of Human Cancer database (MMHCdb) (formerly Mouse Tumor Biology (MTB)), Gene Ontology (GO)
Citing These Resources
Funding Information
Warranty Disclaimer, Privacy Notice, Licensing, & Copyright
Send questions and comments to User Support.
last database update
03/24/2026
MGI 6.24
The Jackson Laboratory