About   Help   FAQ
Gene Expression Data
Assay Details
Assay
Reference: J:22554 Mitsiadis TA, et al., Expression of the heparin-binding cytokines, midkine (MK) and HB-GAM (pleiotrophin) is associated with epithelial-mesenchymal interactions during fetal development and organogenesis. Development. 1995 Jan;121(1):37-51
Assay type: Immunohistochemistry
MGI Accession ID: MGI:6259564
Gene symbol: Sdc1
Gene name: syndecan 1
Antibody: 281-2
Detection system: horseradish peroxidase
Results
Specimen 2C: embryonic day 14.5 (more )
Structure Level Pattern Image Note
TS22: embryo Present Widespread 2C Expression widely distributed in epithelium of skin, sensory organs, tongue, esophagus, stomach, gut, pancreas and ureter. Authors report expression became more restrictred at 14.5 dpc, and several previously expressing organs were negative.
TS22: brain Present Diffuse 2C Diffuse expression on surfaces of neopallial cortex, diencephalon, midbrain and neural tube.

Specimen 6A: embryonic day 12.5-13.0 (more )
Structure Level Pattern Image Note
TS20: meninges Strong 6A

Specimen 6B: embryonic day 12.5-13.0 (more )
Structure Level Pattern Image Note
TS20: vertebral pre-cartilage condensation Strong Regionally restricted 6B Strong expression in perichondrium of prevertebra

Specimen 6C: embryonic day 12.5-13.0 (more )
Structure Level Pattern Image Note
TS20: lung Present 6C

Specimen 6D: embryonic day 12.5-13.0 (more )
Structure Level Pattern Image Note
TS20: liver Present 6D

Specimen 7Ab: embryonic day 13.0 (more )
Structure Level Pattern Image Note
TS21: limb mesenchyme Strong 7Ab

Specimen 7Bb: embryonic day 14.0 (more )
Structure Level Pattern Image Note
TS22: submandibular gland primordium mesenchyme Present 7Bb

Specimen 7Cb: embryonic day 13.5 (more )
Structure Level Pattern Image Note
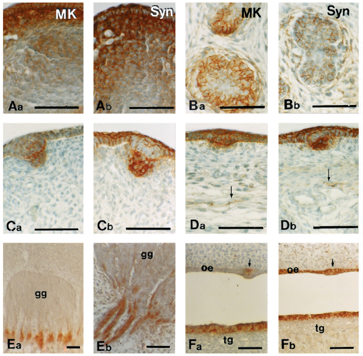
TS21: vibrissa follicle Present Regionally restricted 7Cb Expression in epithelium and mesenchyme of whisker follicles.

Specimen 7Db: embryonic day 14.5 (more )
Structure Level Pattern Image Note
TS22: hair follicle Present 7Db
TS22: blood vessel endothelium Present 7Db

Specimen 7Eb: embryonic day 13.0 (more )
Structure Level Pattern Image Note
TS21: dorsal root ganglion Absent 7Eb No expression in bodies of ganglia.

Specimen 7Fb: embryonic day 14.5 (more )
Structure Level Pattern Image Note
TS22: palatal rugae epithelium Present 7Fb
TS22: tongue epithelium Present 7Fb

Specimen Table I: embryonic day 14.5 (more )
Structure Level Pattern Image Note
TS22: blood vessel endothelium Strong
TS22: digit mesenchyme Strong
TS22: esophagus epithelium Strong
TS22: face mesenchyme Strong
TS22: intestine epithelium Strong
TS22: oral epithelium Strong
TS22: salivary gland epithelium Strong
TS22: tongue epithelium Strong
TS22: tooth epithelium Strong
TS22: tooth mesenchyme Strong
TS22: epidermis Strong Authors report expression in dermal epithelium.
TS22: liver Moderate
TS22: pancreas epithelium Moderate
TS22: salivary gland mesenchyme Moderate
TS22: stomach epithelium Moderate
TS22: tail nerve Moderate
TS22: testis Moderate
TS22: urothelium of ureter Moderate
TS22: heart Weak
TS22: inner ear mesenchyme Weak
TS22: lung epithelium Weak
TS22: lung mesenchyme Weak
TS22: stomach Weak Regionally restricted Authors report expression in stomach muscle.
TS22: muscle tissue Ambiguous
TS22: pancreas mesenchyme Ambiguous
TS22: spinal cord Ambiguous
TS22: ureteral mesenchyme Ambiguous
TS22: bone Absent
TS22: cartilage Absent
TS22: choroid plexus Absent
TS22: diencephalon Absent
TS22: esophagus mesenchyme Absent
TS22: inner ear epithelium Absent
TS22: intestine mesenchyme Absent
TS22: mesenchyme of metanephros Absent
TS22: metanephros epithelium Absent
TS22: nasal mesenchyme Absent
TS22: neocortex Absent
TS22: olfactory epithelium Absent
TS22: stomach mesenchyme Absent


Contributing Projects:
Mouse Genome Database (MGD), Gene Expression Database (GXD), Mouse Models of Human Cancer database (MMHCdb) (formerly Mouse Tumor Biology (MTB)), Gene Ontology (GO)
Citing These Resources
Funding Information
Warranty Disclaimer, Privacy Notice, Licensing, & Copyright
Send questions and comments to User Support.
last database update
12/30/2025
MGI 6.24
The Jackson Laboratory