About   Help   FAQ
Gene Expression Data
Assay Details
Assay
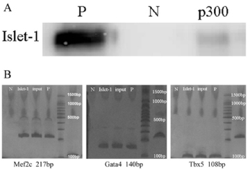
Reference: J:209102 Yu Z, et al., Islet-1 may function as an assistant factor for histone acetylation and regulation of cardiac development-related transcription factor Mef2c expression. PLoS One. 2013;8(10):e77690
Assay type: Western blot
MGI Accession ID: MGI:6199080
Gene symbol: Isl1
Gene name: ISL1 transcription factor, LIM/homeodomain
Antibody: Anti-ISL-1 Antibody (AB4326)
Detection system: Secondary antibody coupled to horseradish peroxidase
Results
Image: 2A ©

 Sample Information Bands Other Sample Information
Lane AgeStructure Size Not Specified Genetic BackgroundMutant Allele(s)Sex Note
P E14.5 TS22: heart Present Kunming Not Specified Samples without co-immunoprecipitation.
N Control
p300 E14.5 TS22: heart Present Kunming Not Specified Samples after co-immunoprecipitation.

Contributing Projects:
Mouse Genome Database (MGD), Gene Expression Database (GXD), Mouse Models of Human Cancer database (MMHCdb) (formerly Mouse Tumor Biology (MTB)), Gene Ontology (GO)
Citing These Resources
Funding Information
Warranty Disclaimer, Privacy Notice, Licensing, & Copyright
Send questions and comments to User Support.
last database update
01/20/2026
MGI 6.24
The Jackson Laboratory