About   Help   FAQ
Gene Expression Data
Assay Details
Assay
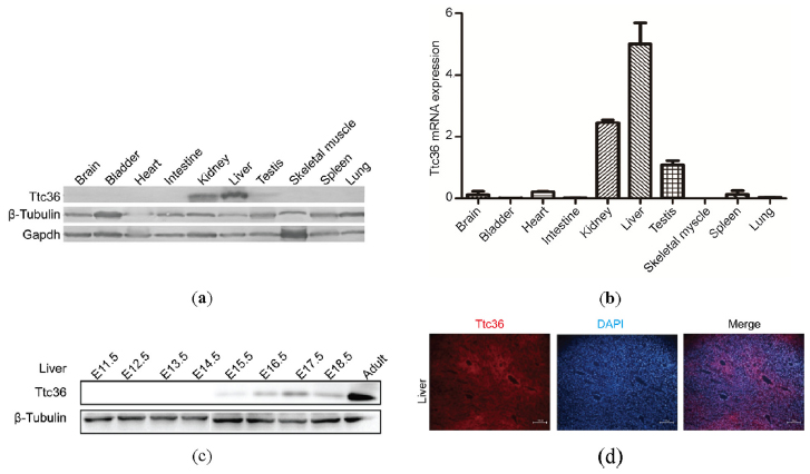
Reference: J:237208 Zhou Y, et al., The expression patterns of Tetratricopeptide repeat domain 36 (Ttc36). Gene Expr Patterns. 2016 Nov;22(2):37-45
Assay type: RT-PCR
MGI Accession ID: MGI:6195645
Gene symbol: Ttc36
Gene name: tetratricopeptide repeat domain 36
Probe: Ttc36-pA, Ttc36-pB
Assay notes: Quantitative RT-PCR. Level of expression was normalized to the control gene (GAPDH).
Results
Image: 3b ©

 Sample Information Bands Other Sample Information
Lane AgeStructure Size Not Specified Amount Genetic BackgroundMutant Allele(s)Sex
Brain P adult TS28: brain Ambiguous Not Specified; total RNA C57BL/6 Not Specified
Bladder P adult TS28: bladder Ambiguous Not Specified; total RNA C57BL/6 Not Specified
Heart P adult TS28: heart Ambiguous Not Specified; total RNA C57BL/6 Not Specified
Intestine P adult TS28: intestine Ambiguous Not Specified; total RNA C57BL/6 Not Specified
Kidney P adult TS28: metanephros Present Not Specified; total RNA C57BL/6 Not Specified
Liver P adult TS28: liver Present Not Specified; total RNA C57BL/6 Not Specified
Testis P adult TS28: testis Present Not Specified; total RNA C57BL/6 Male
Skeletal muscle P adult TS28: skeletal muscle Ambiguous Not Specified; total RNA C57BL/6 Not Specified
Spleen P adult TS28: spleen Ambiguous Not Specified; total RNA C57BL/6 Not Specified
Lung P adult TS28: lung Ambiguous Not Specified; total RNA C57BL/6 Not Specified

Contributing Projects:
Mouse Genome Database (MGD), Gene Expression Database (GXD), Mouse Models of Human Cancer database (MMHCdb) (formerly Mouse Tumor Biology (MTB)), Gene Ontology (GO)
Citing These Resources
Funding Information
Warranty Disclaimer, Privacy Notice, Licensing, & Copyright
Send questions and comments to User Support.
last database update
03/24/2026
MGI 6.24
The Jackson Laboratory