Gene Expression Data
Assay Details
|
Assay
|
|
Reference:
|
J:131010
Kameda Y, et al., FRS2 alpha 2F/2F mice lack carotid body and exhibit abnormalities of the superior cervical sympathetic ganglion and carotid sinus nerve. Dev Biol. 2008 Feb 1;314(1):236-47
|
|
Assay type:
|
Immunohistochemistry
|
|
MGI Accession ID:
|
MGI:6189176
|
|
Gene symbol:
|
Th
|
|
Gene name:
|
tyrosine hydroxylase
|
|
Antibody:
|
anti-TH
|
|
Detection system:
|
Biotinylated secondary antibody/[Strept]avidin coupled to horseradish peroxidase
|
|
Assay notes:
|
Fixation was Bouin's or 8% paraformaldehyde.
|
|
|
Results
|
Specimen
1D:
embryonic day 18.5
(more )
Specimen
1D:
(close )
|
Genetic Background:
|
involves: Swiss Webster
|
|
Age:
|
embryonic day 18.5
|
|
Sex:
|
Not Specified
|
|
Type:
|
section
|
|
Fixation:
|
Other - See Notes
|
|
Embedding:
|
Paraffin
|
| Structure |
Level |
Pattern |
Image |
Note |
| TS26: carotid body |
Present |
Regionally restricted |
1D
|
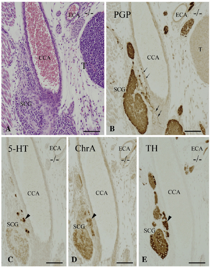
Expression in glomus cells and neurons of the superior cervical ganglion.
|
| TS26: superior cervical ganglion |
Present |
Regionally restricted |
1D
|
Expression in glomus cells and neurons of the superior cervical ganglion.
|
Specimen
4E:
(close )
|
Genetic Background:
|
involves: 129S/SvEv * Swiss Webster
|
|
Mutant Allele(s):
|
Frs2tm1Schl/Frs2tm1Schl
|
|
Age:
|
embryonic day 18.5
|
|
Sex:
|
Not Specified
|
|
Type:
|
section
|
|
Fixation:
|
Other - See Notes
|
|
Embedding:
|
Paraffin
|
| Structure |
Level |
Pattern |
Image |
Note |
| TS26: superior cervical ganglion |
Present |
|
4E
|
|
| TS26: carotid body |
Present |
Regionally restricted |
4E
|
Authors report expression in glomus cells dispersed in the wall of the common carotid artery where baroreceptors were distributed and sympathetic ganglion abutted.
|
|