About   Help   FAQ
Gene Expression Data
Assay Details
Assay
Reference: J:245222 Wilcox SM, et al., The role of the innate immune response regulatory gene ABCF1 in mammalian embryogenesis and development. PLoS One. 2017;12(5):e0175918
Assay type: In situ reporter (knock in)
MGI Accession ID: MGI:6187975
Gene symbol: Abcf1
Gene name: ATP-binding cassette, sub-family F member 1
Reporter: Beta-geo
Direct Detection
Assay notes: Fixative was 0.2% gluteraldehyde. Quantitative representation of adult sectioned tissues is shown in figure 6.
Results
Specimen 2A +/-: embryonic day 3.5; Abcf1Gt(XK097)Byg/Abcf1+ (more )
Structure Level Pattern Image Note
TS5: inner cell mass Strong 2A ABCF+/-
TS5: blastocoelic cavity Present Diffuse 2A ABCF+/-

Specimen 2A -/-: embryonic day 3.5; Abcf1Gt(XK097)Byg/Abcf1Gt(XK097)Byg (more )
Structure Level Pattern Image Note
TS5: inner cell mass Very strong 2A ABCF-/-
TS5: blastocoelic cavity Strong Diffuse 2A ABCF-/-

Specimen 3A: embryonic day 8.5; Abcf1Gt(XK097)Byg/Abcf1+ (more )
Structure Level Pattern Image Note
TS13: embryo Strong Diffuse 3A

Specimen 3B: embryonic day 11.5; Abcf1Gt(XK097)Byg/Abcf1+ (more )
Structure Level Pattern Image Note
TS19: embryo Strong Diffuse 3B

Specimen 3C: embryonic day 11.5; Abcf1Gt(XK097)Byg/Abcf1+ (more )
Structure Level Pattern Image Note
TS19: central nervous system Very strong 3C
TS19: cranial nerve Very strong 3C
TS19: dorsal root ganglion Very strong 3C
TS19: eye Very strong 3C
TS19: heart Very strong 3C
TS19: liver Very strong 3C
TS19: surface ectoderm Very strong 3C
TS19: embryo Strong Widespread 3C

Specimen 4 Thymus: postnatal adult; Abcf1Gt(XK097)Byg/Abcf1+ (more )
Structure Level Pattern Image Note
TS28: thymus Present 4_Thymus ABCF+/-

Specimen 4 Lymph node: postnatal adult; Abcf1Gt(XK097)Byg/Abcf1+ (more )
Structure Level Pattern Image Note
TS28: lymph node Present 4_Lymph node ABCF+/-

Specimen 4 Lung: postnatal adult; Abcf1Gt(XK097)Byg/Abcf1+ (more )
Structure Level Pattern Image Note
TS28: lung Present 4_Lung ABCF+/-

Specimen 4 Testis: postnatal adult; Abcf1Gt(XK097)Byg/Abcf1+ (more )
Structure Level Pattern Image Note
TS28: testis Present 4_Testis ABCF+/-

Specimen 4 Brain: postnatal adult; Abcf1Gt(XK097)Byg/Abcf1+ (more )
Structure Level Pattern Image Note
TS28: brain Present 4_Brain ABCF+/-

Specimen 4 Liver: postnatal adult; Abcf1Gt(XK097)Byg/Abcf1+ (more )
Structure Level Pattern Image Note
TS28: liver Present 4_Liver ABCF+/-

Specimen 4 Heart: postnatal adult; Abcf1Gt(XK097)Byg/Abcf1+ (more )
Structure Level Pattern Image Note
TS28: heart Present 4_Heart ABCF+/-

Specimen 4 Kidney: postnatal adult; Abcf1Gt(XK097)Byg/Abcf1+ (more )
Structure Level Pattern Image Note
TS28: metanephros Present 4_Kidney ABCF+/-

Specimen 4 Eye: postnatal adult; Abcf1Gt(XK097)Byg/Abcf1+ (more )
Structure Level Pattern Image Note
TS28: eye Present 4_Eye ABCF+/-

Specimen 4 Spleen: postnatal adult; Abcf1Gt(XK097)Byg/Abcf1+ (more )
Structure Level Pattern Image Note
TS28: spleen Present 4_Spleen ABCF+/-

Specimen 5A: postnatal adult; Abcf1Gt(XK097)Byg/Abcf1+ (more )
Structure Level Pattern Image Note
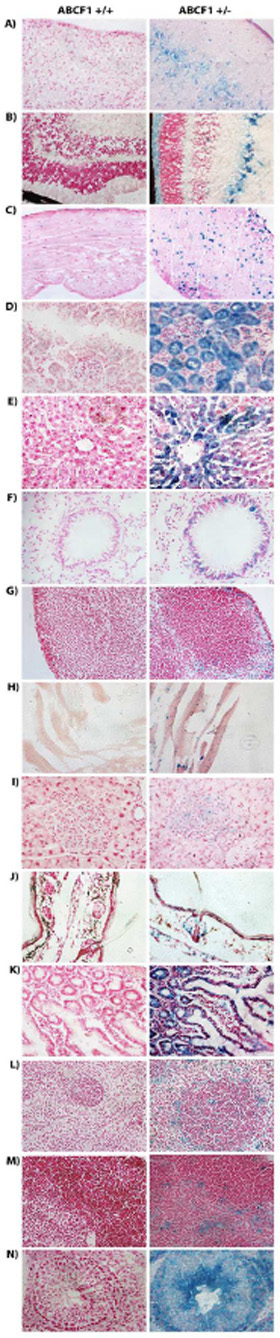
TS28: cerebral cortex Moderate 5A

Specimen 5B: postnatal adult; Abcf1Gt(XK097)Byg/Abcf1+ (more )
Structure Level Pattern Image Note
TS28: retina ganglion cell layer Very strong 5B
TS28: retina inner nuclear layer Strong 5B
TS28: retina outer nuclear layer Strong 5B
TS28: retina Moderate 5B

Specimen 5C: postnatal adult; Abcf1Gt(XK097)Byg/Abcf1+ (more )
Structure Level Pattern Image Note
TS28: cardiac muscle tissue Weak Spotted 5C

Specimen 5D: postnatal adult; Abcf1Gt(XK097)Byg/Abcf1+ (more )
Structure Level Pattern Image Note
TS28: renal proximal convoluted tubule Present 5D Expression is cytoplasmic.
TS28: glomerular tuft Present 5D

Specimen 5E: postnatal adult; Abcf1Gt(XK097)Byg/Abcf1+ (more )
Structure Level Pattern Image Note
TS28: liver Moderate Regionally restricted 5E There is cytoplasmic staining in the peri-venular regions.

Specimen 5F: postnatal adult; Abcf1Gt(XK097)Byg/Abcf1+ (more )
Structure Level Pattern Image Note
TS28: bronchiole epithelium Moderate 5F
TS28: lobar bronchus epithelium Moderate 5F
TS28: lung epithelium Weak 5F

Specimen 5G: postnatal adult; Abcf1Gt(XK097)Byg/Abcf1+ (more )
Structure Level Pattern Image Note
TS28: inguinal lymph node Strong Regionally restricted 5G Expression is at the perifollicular and sinus regions.
TS28: lymph node cortex Strong Regionally restricted 5G Expression is at the perifollicular and sinus regions.
TS28: lymph node medulla Weak Diffuse 5G

Specimen 5H: postnatal adult; Abcf1Gt(XK097)Byg/Abcf1+ (more )
Structure Level Pattern Image Note
TS28: quadriceps femoris muscle Weak Spotted 5H

Specimen 5I: postnatal adult; Abcf1Gt(XK097)Byg/Abcf1+ (more )
Structure Level Pattern Image Note
TS28: islets of Langerhans Weak 5I Expression is in the cytoplasm.

Specimen 5J: postnatal adult; Abcf1Gt(XK097)Byg/Abcf1+ (more )
Structure Level Pattern Image Note
TS28: epidermis basal layer Moderate 5J

Specimen 5K: postnatal adult; Abcf1Gt(XK097)Byg/Abcf1+ (more )
Structure Level Pattern Image Note
TS28: small intestine epithelium Moderate 5K Expression is cytoplasmic.
TS28: lymphatic vessel Present Regionally restricted 5K Expression is in the lacteals.

Specimen 5L: postnatal adult; Abcf1Gt(XK097)Byg/Abcf1+ (more )
Structure Level Pattern Image Note
TS28: spleen Moderate Regionally restricted 5L Expression is cytoplasmic in the marginal zone and little or no staining is seen in the periarticular lymphocyte area.
TS28: spleen marginal zone Moderate 5L

Specimen 5M: postnatal adult; Abcf1Gt(XK097)Byg/Abcf1+ (more )
Structure Level Pattern Image Note
TS28: thymus Weak 5M

Specimen 5N: postnatal adult; Abcf1Gt(XK097)Byg/Abcf1+ (more )
Structure Level Pattern Image Note
TS28: testis Present Regionally restricted 5N Expression is in the germinal epithelial cells.
TS28: spermatozoon Present 5N

Specimen not shown: postnatal adult; Abcf1Gt(XK097)Byg/Abcf1+ (more )
Structure Level Pattern Image Note
TS28: cerebellum Purkinje cell layer Strong
TS28: hippocampus Strong
TS28: hippocampus pyramidal cell layer Strong
TS28: eye muscle Present Regionally restricted Expression is in the eextraorbital muscle.
TS28: ciliary body Present
TS28: thalamus Weak
TS28: cornea Absent
TS28: sclera Absent


Contributing Projects:
Mouse Genome Database (MGD), Gene Expression Database (GXD), Mouse Models of Human Cancer database (MMHCdb) (formerly Mouse Tumor Biology (MTB)), Gene Ontology (GO)
Citing These Resources
Funding Information
Warranty Disclaimer, Privacy Notice, Licensing, & Copyright
Send questions and comments to User Support.
last database update
12/30/2025
MGI 6.24
The Jackson Laboratory