About   Help   FAQ
Gene Expression Data
Assay Details
Assay
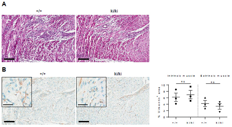
Reference: J:251322 Kim M, et al., DPP9 enzyme activity controls survival of mouse migratory tongue muscle progenitors and its absence leads to neonatal lethality due to suckling defect. Dev Biol. 2017 Nov 15;431(2):297-308
Assay type: Immunohistochemistry
MGI Accession ID: MGI:6164195
Gene symbol: Vim
Gene name: vimentin
Antibody: anti-vimentin
Detection system: Secondary antibody coupled to horseradish peroxidase
Results
Specimen S4B +/+: postnatal day 1 (more )
Structure Level Pattern Image Note
TS27: tongue extrinsic muscle Present Regionally restricted S4B +/+ Expressed in the distal region.
TS27: tongue intrinsic muscle Present Regionally restricted S4B +/+ Expressed in the distal region.

Specimen S4B ki/ki: postnatal day 1; Dpp9tm1.1Npa/Dpp9tm1.1Npa (more )
Structure Level Pattern Image Note
TS27: tongue extrinsic muscle Strong Regionally restricted S4B ki/ki Similar levels of expression in the distal region compared with the wild-type.
TS27: tongue intrinsic muscle Strong Regionally restricted S4B ki/ki Similar levels of expression in the distal region compared with the wild-type.


Contributing Projects:
Mouse Genome Database (MGD), Gene Expression Database (GXD), Mouse Models of Human Cancer database (MMHCdb) (formerly Mouse Tumor Biology (MTB)), Gene Ontology (GO)
Citing These Resources
Funding Information
Warranty Disclaimer, Privacy Notice, Licensing, & Copyright
Send questions and comments to User Support.
last database update
01/28/2026
MGI 6.24
The Jackson Laboratory