Gene Expression Data
Assay Details
|
Assay
|
|
Reference:
|
J:62177
Shi ZZ, et al., Glutathione synthesis is essential for mouse development but not for cell growth in culture. Proc Natl Acad Sci U S A. 2000 May 9;97(10):5101-6
|
|
Assay type:
|
RNA in situ
|
|
MGI Accession ID:
|
MGI:6161830
|
|
Gene symbol:
|
T
|
|
Gene name:
|
brachyury, T-box transcription factor T
|
|
Probe:
|
T cDNA12
|
|
Probe preparation:
|
Antisense labelled with digoxigenin RNA
|
|
Visualized with:
|
Alkaline phosphatase
|
|
|
Results
|
Specimen
2G:
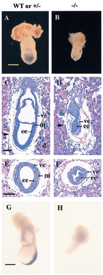
embryonic day 7.5; Gclctm1Mwl/Gclc +
(more )
Note: Wild-type is either +/+ or +/-.
Specimen
2G:
(close )
|
Genetic Background:
|
involves: 129S7/SvEvBrd * C57BL/6
|
|
Mutant Allele(s):
|
Gclctm1Mwl/Gclc+
|
|
Age:
|
embryonic day 7.5
|
|
Sex:
|
Not Specified
|
|
Type:
|
whole mount
|
|
Fixation:
|
4% Paraformaldehyde
|
|
Note:
|
Wild-type is either +/+ or +/-.
|
Specimen
not shown:
embryonic day 7.5
(more )
Note: Wild-type is either +/+ or +/-.
Specimen
not shown:
(close )
|
Genetic Background:
|
involves: 129S7/SvEvBrd * C57BL/6
|
|
Age:
|
embryonic day 7.5
|
|
Sex:
|
Not Specified
|
|
Type:
|
whole mount
|
|
Fixation:
|
4% Paraformaldehyde
|
|
Note:
|
Wild-type is either +/+ or +/-.
|
Specimen
2H:
(close )
|
Genetic Background:
|
involves: 129S7/SvEvBrd * C57BL/6
|
|
Mutant Allele(s):
|
Gclctm1Mwl/Gclctm1Mwl
|
|
Age:
|
embryonic day 7.5
|
|
Sex:
|
Not Specified
|
|
Type:
|
whole mount
|
|
Fixation:
|
4% Paraformaldehyde
|
|