About   Help   FAQ
Gene Expression Data
Assay Details
Assay
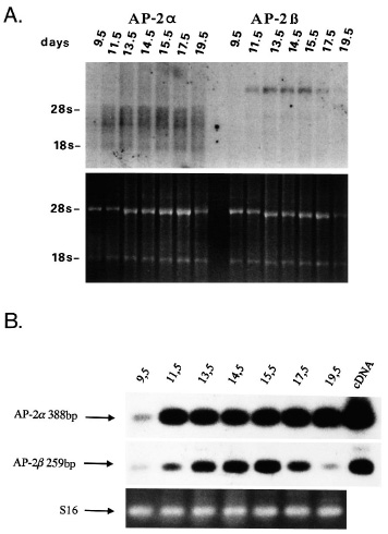
Reference: J:28698 Moser M, et al., Cloning and characterization of a second AP-2 transcription factor: AP-2 beta. Development. 1995 Sep;121(9):2779-88
Assay type: RT-PCR
MGI Accession ID: MGI:6160277
Gene symbol: Tfap2a
Gene name: transcription factor AP-2, alpha
Probe: AP-2-alpha-pQ, AP-2-alpha-pR
Assay notes: Nested RT-PCR, the first set of primers were: AP-2-alpha-pO, AP-2-alpha-pP (MGI:6160232).
Results
 Sample Information Bands Other Sample Information
Lane AgeStructure 388 bp Amount Genetic BackgroundMutant Allele(s)Sex
9.5 E9.5 TS15: embryo Present Not Specified Not Specified Not Specified
11.5 E11.5 TS19: embryo Present Not Specified Not Specified Not Specified
13.5 E13.5 TS21: embryo Present Not Specified Not Specified Not Specified
14.5 E14.5 TS22: embryo Present Not Specified Not Specified Not Specified
15.5 E15.5 TS23: embryo Present Not Specified Not Specified Not Specified
19.5 E19.5 TS26: embryo Present Not Specified Not Specified Not Specified

Contributing Projects:
Mouse Genome Database (MGD), Gene Expression Database (GXD), Mouse Models of Human Cancer database (MMHCdb) (formerly Mouse Tumor Biology (MTB)), Gene Ontology (GO)
Citing These Resources
Funding Information
Warranty Disclaimer, Privacy Notice, Licensing, & Copyright
Send questions and comments to User Support.
last database update
12/30/2025
MGI 6.24
The Jackson Laboratory