Gene Expression Data
Assay Details
|
Assay
|
|
Reference:
|
J:104555
Viviano BL, et al., Altered hematopoiesis in glypican-3-deficient mice results in decreased osteoclast differentiation and a delay in endochondral ossification. Dev Biol. 2005 Jun 1;282(1):152-62
|
|
Assay type:
|
Immunohistochemistry
|
|
MGI Accession ID:
|
MGI:6153853
|
|
Gene symbol:
|
Casp3
|
|
Gene name:
|
caspase 3
|
|
|
Results
|
Specimen
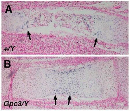
5A:
embryonic day 16.5
(more )
Specimen
5A:
(close )
|
Genetic Background:
|
Not Specified
|
|
Age:
|
embryonic day 16.5
|
|
Sex:
|
Male
|
|
Type:
|
section
|
|
Fixation:
|
4% Paraformaldehyde
|
|
Embedding:
|
Paraffin
|
| Structure |
Level |
Pattern |
Image |
Note |
| TS24: tibia |
Present |
Regionally restricted |
5A
|
Authors report normal apoptosis of hypertrophic chondrocytes most distal to the growth plate.
|
Specimen
5B:
embryonic day 16.5; Gpc3tm1Snd/Y
(more )
Specimen
5B:
(close )
|
Genetic Background:
|
involves: 129X1/SvJ * C57BL/6
|
|
Mutant Allele(s):
|
Gpc3tm1Snd/Y
|
|
Age:
|
embryonic day 16.5
|
|
Sex:
|
Male
|
|
Type:
|
section
|
|
Fixation:
|
4% Paraformaldehyde
|
|
Embedding:
|
Paraffin
|
| Structure |
Level |
Pattern |
Image |
Note |
| TS24: tibia |
Present |
Regionally restricted |
5B
|
Authors report a much broader region of of cells undergoing apoptosis, consistent with apoptosis of hypertrophic chondrocytes persisting within the diaphysis.
|
|