Gene Expression Data
Assay Details
|
Assay
|
|
Reference:
|
J:87413
Martinez-Alvarez C, et al., Snail family members and cell survival in physiological and pathological cleft palates. Dev Biol. 2004 Jan 1;265(1):207-18
|
|
Assay type:
|
RNA in situ
|
|
MGI Accession ID:
|
MGI:6118053
|
|
Gene symbol:
|
Snai1
|
|
Gene name:
|
snail family zinc finger 1
|
|
Probe:
|
Snai1 probe4
|
|
Probe preparation:
|
Antisense labelled with digoxigenin RNA
|
|
Visualized with:
|
Alkaline phosphatase
|
|
|
Results
|
Specimen
1A:
embryonic day 13.5
(more )
Specimen
1A:
(close )
|
Genetic Background:
|
involves: C57BL/6J
|
|
Age:
|
embryonic day 13.5
|
|
Age Note:
|
Age normalized so that noon of plug day = E0.5.
|
|
Sex:
|
Not Specified
|
|
Type:
|
whole mount
|
|
Fixation:
|
4% Paraformaldehyde
|
| Structure |
Level |
Pattern |
Image |
Note |
| TS21: palatal shelf |
Strong |
Regionally restricted |
1A
|
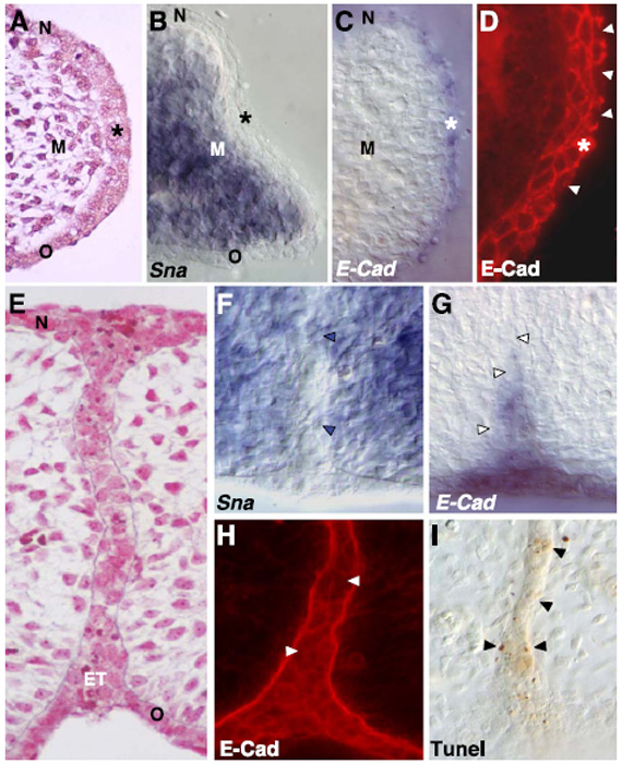
High levels of expression in medial part of each palatal shelf along the whole of its length.
|
| TS21: nasal septum |
Weak |
|
1A
|
Weaker expression in primary palate and secondary nasal septum.
|
| TS21: primary palate |
Weak |
|
1A
|
Weaker expression in primary palate and secondary nasal septum.
|
Specimen
1B:
embryonic day 14.5
(more )
Specimen
1B:
(close )
|
Genetic Background:
|
involves: C57BL/6J
|
|
Age:
|
embryonic day 14.5
|
|
Age Note:
|
Age normalized so that noon of plug day = E0.5.
|
|
Sex:
|
Not Specified
|
|
Type:
|
whole mount
|
|
Fixation:
|
4% Paraformaldehyde
|
Specimen
1C:
embryonic day 15.0
(more )
Specimen
1C:
(close )
|
Genetic Background:
|
involves: C57BL/6J
|
|
Age:
|
embryonic day 15.0
|
|
Age Note:
|
Age normalized so that noon of plug day = E0.5.
|
|
Sex:
|
Not Specified
|
|
Type:
|
whole mount
|
|
Fixation:
|
4% Paraformaldehyde
|
| Structure |
Level |
Pattern |
Image |
Note |
| TS23: palatal shelf |
Present |
Regionally restricted |
1C
|
Expression confined to medial part of anterior half of palatal shelf. No expression at most posterior part of palatal shelves or at midline.
|
| TS23: primary palate |
Present |
|
1C
|
|
Specimen
1D:
embryonic day 15.5
(more )
Specimen
1D:
(close )
|
Genetic Background:
|
involves: C57BL/6J
|
|
Age:
|
embryonic day 15.5
|
|
Age Note:
|
Age normalized so that noon of plug day = E0.5.
|
|
Sex:
|
Not Specified
|
|
Type:
|
whole mount
|
|
Fixation:
|
4% Paraformaldehyde
|
| Structure |
Level |
Pattern |
Image |
Note |
| TS23: palatal shelf |
Present |
Regionally restricted |
1D
|
No expression at most posterior part of palatal shelves or at midline.
|
Specimen
1E:
embryonic day 13.5
(more )
Specimen
1E:
(close )
|
Genetic Background:
|
involves: C57BL/6J
|
|
Age:
|
embryonic day 13.5
|
|
Age Note:
|
Age normalized so that noon of plug day = E0.5.
|
|
Sex:
|
Not Specified
|
|
Type:
|
section from whole mount
|
|
Fixation:
|
4% Paraformaldehyde
|
|
Embedding:
|
Gelatin
|
Specimen
1G:
embryonic day 14.5
(more )
Specimen
1G:
(close )
|
Genetic Background:
|
involves: C57BL/6J
|
|
Age:
|
embryonic day 14.5
|
|
Age Note:
|
Age normalized so that noon of plug day = E0.5.
|
|
Sex:
|
Not Specified
|
|
Type:
|
section from whole mount
|
|
Fixation:
|
4% Paraformaldehyde
|
|
Embedding:
|
Gelatin
|
Specimen
1I:
embryonic day 15.5
(more )
Specimen
1I:
(close )
|
Genetic Background:
|
involves: C57BL/6J
|
|
Age:
|
embryonic day 15.5
|
|
Age Note:
|
Age normalized so that noon of plug day = E0.5.
|
|
Sex:
|
Not Specified
|
|
Type:
|
section from whole mount
|
|
Fixation:
|
4% Paraformaldehyde
|
|
Embedding:
|
Gelatin
|
| Structure |
Level |
Pattern |
Image |
Note |
| TS23: palatal shelf mesenchyme |
Present |
Regionally restricted |
1I
|
When palatal shelves adhere and fuse, expression concentrated in two areas at both sides of midline corresponding to condensed areas of mesenchyme.
|
Specimen
1K:
embryonic day 17.5
(more )
Specimen
1K:
(close )
|
Genetic Background:
|
involves: C57BL/6J
|
|
Age:
|
embryonic day 17.5
|
|
Age Note:
|
Age normalized so that noon of plug day = E0.5.
|
|
Sex:
|
Not Specified
|
|
Type:
|
whole mount
|
|
Fixation:
|
4% Paraformaldehyde
|
| Structure |
Level |
Pattern |
Image |
Note |
| TS25: secondary palate |
Absent |
|
1K
|
No expression in either primary or secondary palate as mesenchymal condensations begin ossification process.
|
Specimen
2B:
embryonic day 15.0
(more )
Specimen
2B:
(close )
|
Genetic Background:
|
involves: C57BL/6J
|
|
Age:
|
embryonic day 15.0
|
|
Age Note:
|
Age normalized so that noon of plug day = E0.5.
|
|
Sex:
|
Not Specified
|
|
Type:
|
section from whole mount
|
|
Fixation:
|
4% Paraformaldehyde
|
|
Embedding:
|
Gelatin
|
Specimen
2F:
embryonic day 15.0
(more )
Specimen
2F:
(close )
|
Genetic Background:
|
involves: C57BL/6J
|
|
Age:
|
embryonic day 15.0
|
|
Age Note:
|
Age normalized so that noon of plug day = E0.5.
|
|
Sex:
|
Not Specified
|
|
Type:
|
section from whole mount
|
|
Fixation:
|
4% Paraformaldehyde
|
|
Embedding:
|
Gelatin
|
| Structure |
Level |
Pattern |
Image |
Note |
| TS23: palatal shelf epithelium |
Present |
Regionally restricted |
2F
|
When midline epithelial seam (MES) has formed, expression in a few cells of medial edge epithelium (MEE) extending to epithelial triangles, but not in all MEE cells.
|
Specimen
3B:
(close )
|
Genetic Background:
|
involves: 129P2/OlaHsd * C57BL/6
|
|
Mutant Allele(s):
|
Tgfb3tm1Doe/Tgfb3tm1Doe
|
|
Age:
|
embryonic day 15.0
|
|
Age Note:
|
Age normalized so that noon of plug day = E0.5.
|
|
Sex:
|
Not Specified
|
|
Type:
|
section from whole mount
|
|
Fixation:
|
4% Paraformaldehyde
|
|
Embedding:
|
Gelatin
|
|