About   Help   FAQ
Gene Expression Data
Assay Details
Assay
Reference: J:87367 Martin CM, et al., Persistent expression of the ATP-binding cassette transporter, Abcg2, identifies cardiac SP cells in the developing and adult heart. Dev Biol. 2004 Jan 1;265(1):262-75
Assay type: RNA in situ
MGI Accession ID: MGI:6117365
Gene symbol: Abcg2
Gene name: ATP binding cassette subfamily G member 2 (Junior blood group)
Probe: Abcg2 probe2
Probe preparation: Antisense labelled with S35 RNA
Visualized with: Autoradiography
Results
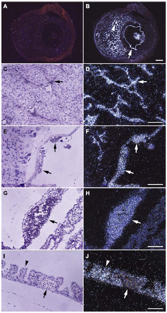
Specimen 2B placenta: embryonic day 8.5 (more )
Structure Level Pattern Image Note
TS28: decidua Present Regionally restricted 2B Expression in decidual endothelial cells.

Specimen 2B embryonic: embryonic day 8.5 (more )
Structure Level Pattern Image Note
TS13: yolk sac Present 2B
TS13: trophoblast giant cell Present 2B

Specimen 2C/D: embryonic day 8.5 (more )
Structure Level Pattern Image Note
TS28: decidua Present 2C/D Expression in decidual endothelial cells.

Specimen 2E/F: embryonic day 8.5 (more )
Structure Level Pattern Image Note
TS13: blood island Present 2E/F
TS13: blood Present Regionally restricted 2E/F Expression in primitive erythroid cells.

Specimen 2G/H: embryonic day 9.5 (more )
Structure Level Pattern Image Note
TS15: blood Present Regionally restricted 2G/H Expression in primitive erythroid cells located in a peripheral vessel.

Specimen 2I/J: embryonic day 13.5 (more )
Structure Level Pattern Image Note
TS21: yolk sac Present 2I/J
TS21: blood Present Regionally restricted 2I/J Expression in a small percentage of primitive erythroid cells.


Contributing Projects:
Mouse Genome Database (MGD), Gene Expression Database (GXD), Mouse Models of Human Cancer database (MMHCdb) (formerly Mouse Tumor Biology (MTB)), Gene Ontology (GO)
Citing These Resources
Funding Information
Warranty Disclaimer, Privacy Notice, Licensing, & Copyright
Send questions and comments to User Support.
last database update
12/30/2025
MGI 6.24
The Jackson Laboratory