About   Help   FAQ
Gene Expression Data
Assay Details
Assay
Reference: J:99530 Jorgensen JS, et al., Irx3 is differentially up-regulated in female gonads during sex determination. Gene Expr Patterns. 2005 Aug;5(6):756-62
Assay type: Immunohistochemistry
MGI Accession ID: MGI:5908383
Gene symbol: Irx3
Gene name: Iroquois related homeobox 3
Antibody: anti-IRX3
Detection system: Secondary antibody coupled to rhodamine
Results
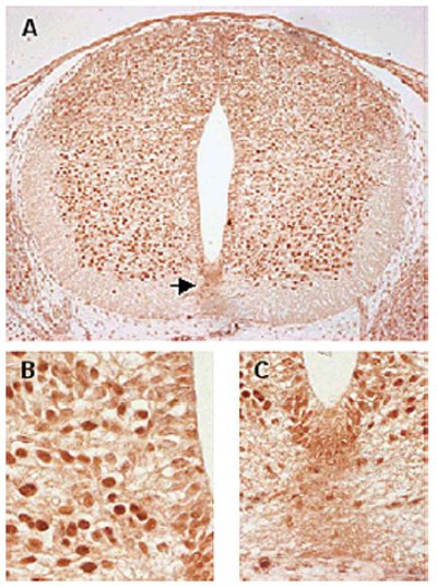
Specimen 6A: embryonic day 13.5 (more )
Structure Level Pattern Image Note
TS21: basal columns Present Regionally restricted 6A Expression is in the nuclei of several neurons located in the ventral spinal cord.
TS21: spinal cord floor plate Absent 6A

Specimen 6B: embryonic day 13.5 (more )
Structure Level Pattern Image Note
TS21: basal columns Present Regionally restricted 6B Expression is in the ventral motor neurons of the basal plate.

Specimen 6C: embryonic day 13.5 (more )
Structure Level Pattern Image Note
TS21: spinal cord floor plate Absent 6C


Contributing Projects:
Mouse Genome Database (MGD), Gene Expression Database (GXD), Mouse Models of Human Cancer database (MMHCdb) (formerly Mouse Tumor Biology (MTB)), Gene Ontology (GO)
Citing These Resources
Funding Information
Warranty Disclaimer, Privacy Notice, Licensing, & Copyright
Send questions and comments to User Support.
last database update
01/28/2026
MGI 6.24
The Jackson Laboratory