About   Help   FAQ
Gene Expression Data
Assay Details
Assay
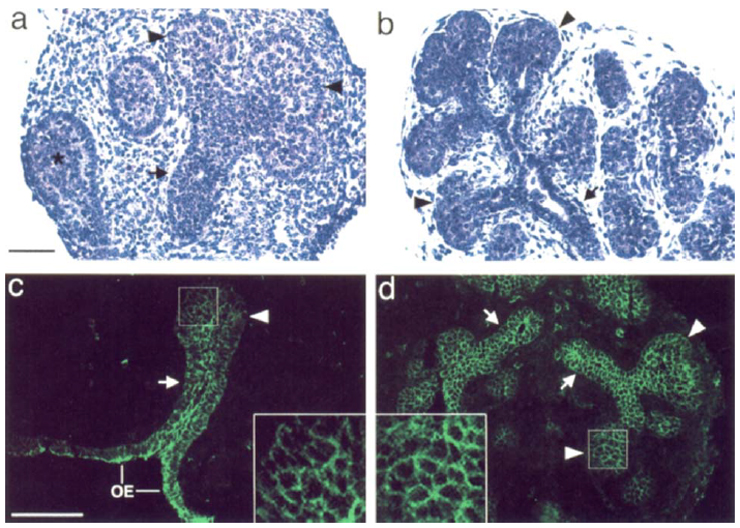
Reference: J:37013 Hieda Y, et al., Mouse embryonic submandibular gland epithelium loses its tissue integrity during early branching morphogenesis. Dev Dyn. 1996 Dec;207(4):395-403
Assay type: Immunohistochemistry
MGI Accession ID: MGI:5905998
Gene symbol: Cdh1
Gene name: cadherin 1
Antibody: anti-E-cadherin
Detection system: Secondary antibody coupled to fluorescein
Results
Specimen 1c: embryonic day 12.5 (more )
Structure Level Pattern Image Note
TS20: oral region Present Regionally restricted 1c Expression is in the submandibular gland epithelium around the cell periphery.

Specimen 1d: embryonic day 14.5 (more )
Structure Level Pattern Image Note
TS22: submandibular gland primordium epithelium Present 1d Expression is around the cell periphery.


Contributing Projects:
Mouse Genome Database (MGD), Gene Expression Database (GXD), Mouse Models of Human Cancer database (MMHCdb) (formerly Mouse Tumor Biology (MTB)), Gene Ontology (GO)
Citing These Resources
Funding Information
Warranty Disclaimer, Privacy Notice, Licensing, & Copyright
Send questions and comments to User Support.
last database update
12/30/2025
MGI 6.24
The Jackson Laboratory