About   Help   FAQ
Gene Expression Data
Assay Details
Assay
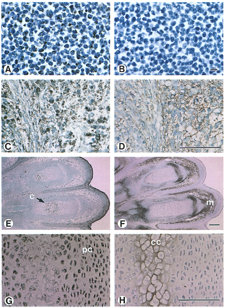
Reference: J:241921 Flanders KC, et al., Transforming growth factor-beta 1: histochemical localization with antibodies to different epitopes. J Cell Biol. 1989 Feb;108(2):653-60
Assay type: Immunohistochemistry
MGI Accession ID: MGI:5903977
Gene symbol: Tgfb1
Gene name: transforming growth factor, beta 1
Antibody: anti-LC(1-30)
Detection system: Biotinylated secondary antibody/[Strept]avidin coupled to horseradish peroxidase
Results
Specimen 2E: embryonic day 15.0 (more )
Structure Level Pattern Image Note
TS23: foot cartilage condensation Present Regionally restricted 2E Expression in chondrocytes in cartilage of bone.

Specimen 2G: embryonic day 15.0 (more )
Structure Level Pattern Image Note
TS23: vertebral cartilage condensation Present Regionally restricted 2G Expression in proliferating chondrocytes.


Contributing Projects:
Mouse Genome Database (MGD), Gene Expression Database (GXD), Mouse Models of Human Cancer database (MMHCdb) (formerly Mouse Tumor Biology (MTB)), Gene Ontology (GO)
Citing These Resources
Funding Information
Warranty Disclaimer, Privacy Notice, Licensing, & Copyright
Send questions and comments to User Support.
last database update
12/30/2025
MGI 6.24
The Jackson Laboratory