About   Help   FAQ
Gene Expression Data
Assay Details
Assay
Reference: J:207154 Balasubramanian R, et al., Expression of LIM-homeodomain transcription factors in the developing and mature mouse retina. Gene Expr Patterns. 2014 Jan;14(1):1-8
Assay type: RNA in situ
MGI Accession ID: MGI:5897555
Gene symbol: Lhx9
Gene name: LIM homeobox protein 9
Probe: Lhx9 probe4
Probe preparation: Antisense labelled with digoxigenin RNA
Results
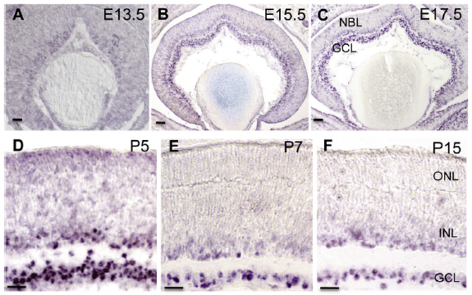
Specimen 1A: embryonic day 13.5 (more )
Structure Level Pattern Image Note
TS21: retina Trace Regionally restricted 1A Faint and mostly undetectable expression in retinal progenitor cells of the neuroblast layer.

Specimen 1B: embryonic day 15.5 (more )
Structure Level Pattern Image Note
TS23: retina layer Strong Regionally restricted 1B Expression is in the ganglion cell layer and the developing neuroblast layer.

Specimen 1C: embryonic day 17.5 (more )
Structure Level Pattern Image Note
TS25: retina layer Present Regionally restricted 1C Expression is in the ganglion cell layer and the developing neuroblast layer.

Specimen 1D: postnatal day 5 (more )
Structure Level Pattern Image Note
TS28: retina layer Present Regionally restricted 1D Expression is in the developing neuroblast layer.
TS28: retina ganglion cell layer Present 1D

Specimen 1E: postnatal day 7 (more )
Structure Level Pattern Image Note
TS28: retina ganglion cell layer Present 1E
TS28: retina inner nuclear layer Present 1E

Specimen 1F: postnatal day 15 (more )
Structure Level Pattern Image Note
TS28: retina ganglion cell layer Present 1F
TS28: retina inner nuclear layer Present 1F

Specimen not shown: embryonic day 12.5 (more )
Structure Level Pattern Image Note
TS20: retina Absent


Contributing Projects:
Mouse Genome Database (MGD), Gene Expression Database (GXD), Mouse Models of Human Cancer database (MMHCdb) (formerly Mouse Tumor Biology (MTB)), Gene Ontology (GO)
Citing These Resources
Funding Information
Warranty Disclaimer, Privacy Notice, Licensing, & Copyright
Send questions and comments to User Support.
last database update
01/20/2026
MGI 6.24
The Jackson Laboratory