About   Help   FAQ
Gene Expression Data
Assay Details
Assay
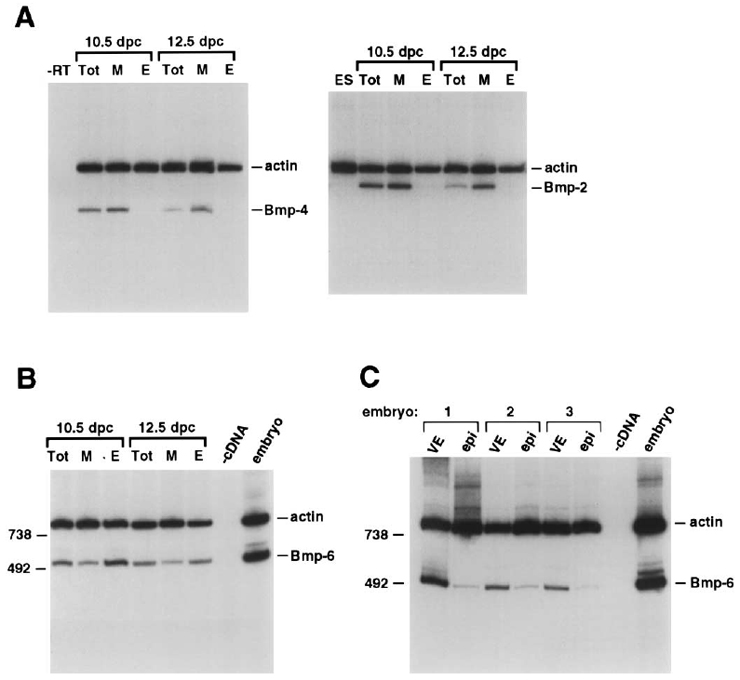
Reference: J:39656 Farrington SM, et al., Winged-helix, Hedgehog and Bmp genes are differentially expressed in distinct cell layers of the murine yolk sac. Mech Dev. 1997 Mar;62(2):197-211
Assay type: RT-PCR
MGI Accession ID: MGI:5828926
Gene symbol: Bmp2
Gene name: bone morphogenetic protein 2
Probe: Bmp2-pC, Bmp2-pD
Probe preparation: labelled with P32
Visualized with: Autoradiography
Results
Image: 7A Bmp-2 ©

 Sample Information Bands Other Sample Information
Lane AgeStructure Size Not Specified Amount Genetic BackgroundMutant Allele(s)Sex
ES In vitro data: no data stored
10.5 dpc Tot E10.5 TS17: yolk sac Present Not Specified; total RNA CD-1 Not Specified
10.5 dpc M E10.5 TS17: yolk sac mesenchyme Present Not Specified; total RNA CD-1 Not Specified
10.5 dpc E E10.5 TS17: yolk sac endoderm Absent Not Specified; total RNA CD-1 Not Specified
12.5 dpc Tot E12.5 TS20: yolk sac Present Not Specified; total RNA CD-1 Not Specified
12.5 dpc M E12.5 TS20: yolk sac mesenchyme Present Not Specified; total RNA CD-1 Not Specified
12.5 dpc E E12.5 TS20: yolk sac endoderm Absent Not Specified; total RNA CD-1 Not Specified

Contributing Projects:
Mouse Genome Database (MGD), Gene Expression Database (GXD), Mouse Models of Human Cancer database (MMHCdb) (formerly Mouse Tumor Biology (MTB)), Gene Ontology (GO)
Citing These Resources
Funding Information
Warranty Disclaimer, Privacy Notice, Licensing, & Copyright
Send questions and comments to User Support.
last database update
04/07/2026
MGI 6.24
The Jackson Laboratory