About   Help   FAQ
Gene Expression Data
Assay Details
Assay
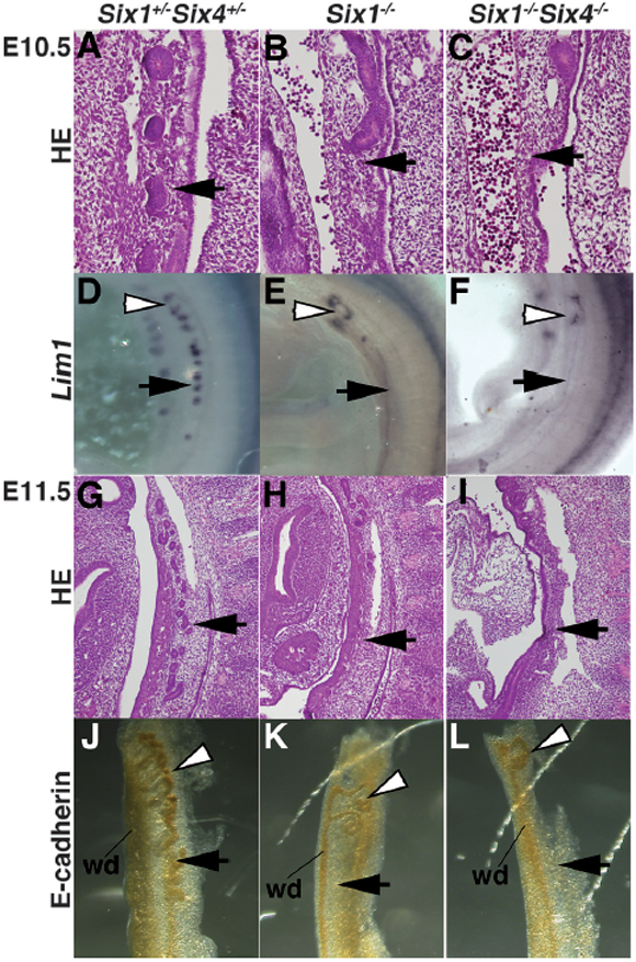
Reference: J:172983 Kobayashi H, et al., Six1 and Six4 are essential for Gdnf expression in the metanephric mesenchyme and ureteric bud formation, while Six1 deficiency alone causes mesonephric-tubule defects. Mech Dev. 2007 Apr;124(4):290-303
Assay type: Immunohistochemistry
MGI Accession ID: MGI:5828469
Gene symbol: Cdh1
Gene name: cadherin 1
Antibody: anti-E-Cadherin
Detection system: horseradish peroxidase
Results
Specimen 2E: embryonic day 11.5; Six1tm1Kwk/Six1+, Six4tm1Kwk/Six4+ (more )
Structure Level Pattern Image Note
TS19: nephric duct Present 2E Expreesion in Wolffian duct.
TS19: ureteric bud Present Regionally restricted 2E Ureteric bud is branched.

Specimen 2F: embryonic day 11.5; Six1tm1Kwk/Six1tm1Kwk (more )
Structure Level Pattern Image Note
TS19: nephric duct Present 2F Expression in Wolffian duct.
TS19: ureteric bud Present Regionally restricted 2F Ureteric buds are short and unbranched.

Specimen 2G: embryonic day 11.5; Six1tm1Kwk/Six1tm1Kwk (more )
Structure Level Pattern Image Note
TS19: nephric duct Present 2G Expression in Wolffian duct.
TS19: ureteric bud Moderate Regionally restricted 2G Ureteric buds are short and unbranched.

Specimen 2H: embryonic day 11.5; Six1tm2Kwk/Six1tm2Kwk (more )
Structure Level Pattern Image Note
TS19: nephric duct Present 2H Expression in Wolffian duct.
TS19: ureteric bud Absent 2H

Specimen 5J: embryonic day 11.5; Six1tm1Kwk/Six1+, Six4tm1Kwk/Six4+ (more )
Structure Level Pattern Image Note
TS19: mesonephric tubule Present Regionally restricted 5J Expression in many mesonephric tubules lined in the craniocaudal direction.

Specimen 5K: embryonic day 11.5; Six1tm1Kwk/Six1tm1Kwk (more )
Structure Level Pattern Image Note
TS19: mesonephric tubule Present Regionally restricted 5K No expression in caudal mesonephric tubules.

Specimen 5L: embryonic day 11.5; Six1tm2Kwk/Six1tm2Kwk (more )
Structure Level Pattern Image Note
TS19: mesonephric tubule Present Regionally restricted 5L No expression in caudal mesonephric tubules.


Contributing Projects:
Mouse Genome Database (MGD), Gene Expression Database (GXD), Mouse Models of Human Cancer database (MMHCdb) (formerly Mouse Tumor Biology (MTB)), Gene Ontology (GO)
Citing These Resources
Funding Information
Warranty Disclaimer, Privacy Notice, Licensing, & Copyright
Send questions and comments to User Support.
last database update
12/30/2025
MGI 6.24
The Jackson Laboratory