About   Help   FAQ
Gene Expression Data
Assay Details
Assay
Reference: J:62767 Haefliger JA, et al., Connexin37 in normal and pathological development of mouse heart and great arteries. Dev Dyn. 2000 Jun;218(2):331-44
Assay type: Immunohistochemistry
MGI Accession ID: MGI:5824526
Gene symbol: Gja4
Gene name: gap junction protein, alpha 4
Antibody: Cx37 antibody
Detection system: Biotinylated secondary antibody/[Strept]avidin coupled to horseradish peroxidase
Results
Specimen 4A: embryonic day 14.5 (more )
Structure Level Pattern Image Note
TS22: foramen ovale of interatrial septum Present 4A
TS22: right atrium endocardial lining Present Regionally restricted 4A Expression is in some but not all cells.
TS22: right ventricle endocardial lining Weak 4A

Specimen 4B: embryonic day 14.5 (more )
Structure Level Pattern Image Note
TS22: atrioventricular endocardial cushion Present Regionally restricted 4B Expression is in some endocardial cells.

Specimen 5A: embryonic day 14.5 (more )
Structure Level Pattern Image Note
TS22: right ventricle cardiac muscle Present Regionally restricted 5A Expression is in the trabecular zone and is weak in the compact zone.

Specimen 5C: embryonic day 14.5 (more )
Structure Level Pattern Image Note
TS22: interventricular septum Absent 5C

Specimen 7A: embryonic day 13.5 (more )
Structure Level Pattern Image Note
TS21: outflow tract Present Regionally restricted 7A Expression is strong in endocardial cells and weak in mesenchyme of the conotruncus.

Specimen 7B: embryonic day 15.5 (more )
Structure Level Pattern Image Note
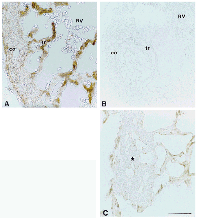
TS23: aorta Present Regionally restricted 7B Expression is in the endothelial cells and adventitium and is absent in the media of the ascending aorta.

Specimen 7C: embryonic day 15.5 (more )
Structure Level Pattern Image Note
TS23: descending aorta Present Regionally restricted 7C Expression is in the adventitium and is weak in endothelium and media cells.

Specimen Table 1 13 ed.: embryonic day 12.5 (more )
Structure Level Pattern Image Note
TS20: heart atrium Present
TS20: ventricle endocardial lining Present
TS20: atrioventricular endocardial cushion Present Expression is in endocardial cells and is barely detectable in mesenchyme.
TS20: ventricle cardiac muscle Present Expression is in the trabecular zone and is barely detectable in the compact zone.
TS20: outflow tract Present Regionally restricted Expression is in the mesenchyme and endocardium of the conotruncal ridges.
TS20: ascending aorta Present Regionally restricted Expression is in the endothelium and is barely detetcable in the media and adventitium.
TS20: artery Trace Regionally restricted Expression is in the endothelium, adventitium and media of the descending aorta.
TS20: interventricular septum Absent

Specimen Table 1 14 ed.: embryonic day 13.5 (more )
Structure Level Pattern Image Note
TS21: heart atrium Present
TS21: ventricle endocardial lining Present
TS21: atrioventricular endocardial cushion Present Expression is in endocardial cells and is barely detectable in mesenchyme.
TS21: ventricle cardiac muscle Present Expression is in the trabecular zone and is barely detectable in the compact zone.
TS21: outflow tract Present Regionally restricted Expression is in the endocardium and is weak in the mesenchyme of the conotruncal ridges.
TS21: ascending aorta Trace Regionally restricted Expression is in the endothelium and adventitium and is absent in the media.
TS21: artery Trace Regionally restricted Expression is in the endothelium, adventitium and media of the descending aorta.
TS21: interventricular septum Absent

Specimen Table 1 15 ed.: embryonic day 14.5 (more )
Structure Level Pattern Image Note
TS22: heart atrium Present
TS22: ventricle endocardial lining Present
TS22: atrioventricular endocardial cushion Present Regionally restricted Expression is in endocardial cells and is absent in mesenchyme.
TS22: ventricle cardiac muscle Present Expression is in the trabecular zone and is barely detectable in the compact zone.
TS22: heart septum Present Regionally restricted Expression is in the endocardial lining of the interventricular septum, absent everywhere else in the septum.
TS22: outflow tract Trace Regionally restricted Expression is in the mesenchyme and endocardium of the conotruncal ridges.
TS22: ascending aorta Trace Regionally restricted Expression is in the endothelium and adventitium and is absent in the media.
TS22: artery Trace Regionally restricted Expression is in the endothelium, adventitium and media of the descending aorta.
TS22: interventricular septum Absent

Specimen Table 1 16 ed.: embryonic day 15.5 (more )
Structure Level Pattern Image Note
TS23: heart atrium Present
TS23: ventricle endocardial lining Present
TS23: atrioventricular endocardial cushion Present Regionally restricted Expression is in endocardial cells and is absent in mesenchyme.
TS23: ventricle cardiac muscle Trace Expression is in the trabecular and compact zones.
TS23: outflow tract Trace Regionally restricted Expression is in the mesenchyme and endocardium of the conotruncal ridges.
TS23: ascending aorta Trace Regionally restricted Expression is in the endothelium and adventitium and is absent in the media.
TS23: descending aorta Trace
TS23: interventricular septum Absent

Specimen Table 1 17 ed.: embryonic day 16.5 (more )
Structure Level Pattern Image Note
TS24: heart atrium Present
TS24: ventricle endocardial lining Present
TS24: atrioventricular endocardial cushion Present Regionally restricted Expression is in endocardial cells and is absent in mesenchyme.
TS24: ventricle cardiac muscle Trace Regionally restricted Expression is in the trabecular zone.
TS24: outflow tract Trace Regionally restricted Expression is in the endocardium and is absent in the mesenchyme of the conotruncal ridges.
TS24: ascending aorta Trace Regionally restricted Expression is in the endothelium and adventitium and is absent in the media.
TS24: descending aorta Trace Regionally restricted Expression is in the endothelium and adventitium and is absent in the media.
TS24: interventricular septum Absent


Contributing Projects:
Mouse Genome Database (MGD), Gene Expression Database (GXD), Mouse Models of Human Cancer database (MMHCdb) (formerly Mouse Tumor Biology (MTB)), Gene Ontology (GO)
Citing These Resources
Funding Information
Warranty Disclaimer, Privacy Notice, Licensing, & Copyright
Send questions and comments to User Support.
last database update
01/20/2026
MGI 6.24
The Jackson Laboratory