About   Help   FAQ
Gene Expression Data
Assay Details
Assay
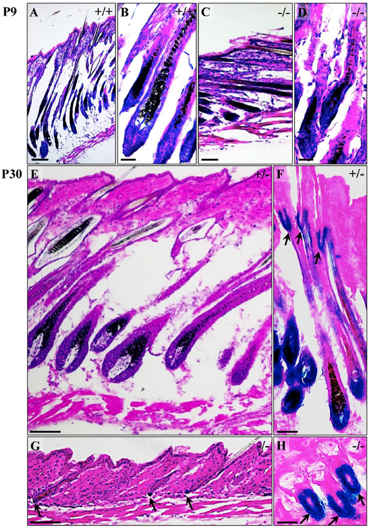
Reference: J:231834 Vanhoutteghem A, et al., The importance of basonuclin 2 in adult mice and its relation to basonuclin 1. Mech Dev. 2016 May;140:53-73
Assay type: In situ reporter (knock in)
MGI Accession ID: MGI:5805482
Gene symbol: Bnc2
Gene name: basonuclin zinc finger protein 2
Reporter: lacZ
Direct Detection
Results
Specimen 4A: postnatal newborn; Bnc2Gt(pU21)18Imeg/Bnc2+ (more )
Structure Level Pattern Image Note
TS27: outer ear Present Regionally restricted 4A Expression in perichondrium of elastic cartilage of the ear.

Specimen 4B: postnatal newborn; Bnc2Gt(pU21)18Imeg/Bnc2+ (more )
Structure Level Pattern Image Note
TS27: nasal septum cartilage Present Regionally restricted 4B Expression in hyaline cartilage of the nose.

Specimen 4C: postnatal newborn; Bnc2Gt(pU21)18Imeg/Bnc2+ (more )
Structure Level Pattern Image Note
TS27: nucleus pulposus Present 4C

Specimen 4D: postnatal newborn; Bnc2Gt(pU21)18Imeg/Bnc2+ (more )
Structure Level Pattern Image Note
TS27: femur Present Regionally restricted 4D Expression in lower half of femur in perichondrium and chondrocytes of growth plate.

Specimen 5A: postnatal newborn; Bnc2Gt(pU21)18Imeg/Bnc2+ (more )
Structure Level Pattern Image Note
TS27: meninges Present 5A
TS27: hair follicle Present Regionally restricted 5A Expression in hair follicles in the scalp.

Specimen 5B: postnatal newborn; Bnc2Gt(pU21)18Imeg/Bnc2+ (more )
Structure Level Pattern Image Note
TS27: peripheral nerve Present Regionally restricted 5B Expression in perineurium of leg peripheral nerve.

Specimen 5C: postnatal newborn; Bnc2Gt(pU21)18Imeg/Bnc2+ (more )
Structure Level Pattern Image Note
TS27: renal capsule Present Regionally restricted 5C

Specimen 5D,5E: postnatal newborn; Bnc2Gt(pU21)18Imeg/Bnc2+ (more )
Structure Level Pattern Image Note
TS27: large intestine wall Present Regionally restricted 5D , 5E Expression in submucosa, muscularis mucosa and serosa of large intestine.

Specimen 6K: postnatal newborn; Bnc2Gt(pU21)18Imeg/Bnc2+ (more )
Structure Level Pattern Image Note
TS27: trigeminal ganglion Present Regionally restricted 6K
TS27: telencephalon Absent 6K No expression in cerebral hemispheres.

Specimen 6L: postnatal newborn; Bnc2Gt(pU21)18Imeg/Bnc2+ (more )
Structure Level Pattern Image Note
TS27: trigeminal ganglion Present Regionally restricted 6L Specific expression in sensory neurons of trigeminal ganglion.

Specimen 7A: postnatal adult; Bnc2Gt(pU21)18Imeg/Bnc2+ (more )
Structure Level Pattern Image Note
TS28: hair follicle Present Regionally restricted 7A Expression in lower portion of hair follicles. No expression in upper part of hair follicles.
TS28: epidermis Absent 7A

Specimen 8A: embryonic day 14.5; Bnc2Gt(pU21)18Imeg/Bnc2+ (more )
Structure Level Pattern Image Note
TS22: hair epidermal placode Present 8A Expression specific to placodes. No specific expression in nonplacode epithelium.

Specimen 8B: embryonic day 16.5; Bnc2Gt(pU21)18Imeg/Bnc2+ (more )
Structure Level Pattern Image Note
TS24: hair germ Present Regionally restricted 8B Expression in advancing epithelial cells of the hair germ.

Specimen 8C: postnatal newborn; Bnc2Gt(pU21)18Imeg/Bnc2+ (more )
Structure Level Pattern Image Note
TS27: hair outer root sheath Present Regionally restricted 8C Expression in outer root sheath and matrix cells surrounding the follicular papilla.
TS27: hair root sheath matrix Present Regionally restricted 8C Expression in outer root sheath and matrix cells surrounding the follicular papilla.

Specimen 8D: postnatal day 16; Bnc2Gt(pU21)18Imeg/Bnc2+ (more )
Structure Level Pattern Image Note
TS28: hair root sheath matrix Present Regionally restricted 8D Expression in matrix of follicles at end of first anagen.

Specimen 8E: postnatal day 16; Bnc2Gt(pU21)18Imeg/Bnc2+ (more )
Structure Level Pattern Image Note
TS28: hair outer root sheath Present Regionally restricted 8E Expression in upper segment in follicle in outer root sheath.

Specimen 8F: postnatal day 17; Bnc2Gt(pU21)18Imeg/Bnc2+ (more )
Structure Level Pattern Image Note
TS28: hair Present Regionally restricted 8F In regressing hair follicles of the first catagen, expression in cells of epithelial strand.
TS28: hair outer root sheath Present 8F

Specimen 8G: postnatal day 20; Bnc2Gt(pU21)18Imeg/Bnc2+ (more )
Structure Level Pattern Image Note
TS28: hair follicle Present Regionally restricted 8G In hairs uniformly in telogen, strong expression in epithelial cells of peg located beneath club hair in close contact with follicular papilla.
TS28: hair outer root sheath Absent 8G No expression in outer root sheath around the club.

Specimen 8H: postnatal month 6; Bnc2Gt(pU21)18Imeg/Bnc2+ (more )
Structure Level Pattern Image Note
TS28: hair follicle Present Regionally restricted 8H Virtually all hair follicles are in telogen. Specific expression in epithelial cells surrounding base of follicle, coinciding with lower bulge and secondary hair germ.
TS28: hair bulb Present 8H
TS28: hair germ Present 8H

Specimen 8I: embryonic day 16.5; Bnc2Gt(pU21)18Imeg/Bnc2+ (more )
Structure Level Pattern Image Note
TS24: vibrissa outer root sheath Present 8I
TS24: vibrissa root sheath matrix Present 8I

Specimen 10F: postnatal day 30; Bnc2Gt(pU21)18Imeg/Bnc2+ (more )
Structure Level Pattern Image Note
TS28: hair follicle Present Regionally restricted 10F Expression confined to follicular base in both new anagen and old telogen follicles.

Specimen 10H: postnatal day 30; Bnc2Gt(pU21)18Imeg/Bnc2+ (more )
Structure Level Pattern Image Note
TS28: hair follicle Present Regionally restricted 10H Expression in peg of telogen follicles.

Specimen S1G: postnatal newborn; Bnc2Gt(pU21)18Imeg/Bnc2+ (more )
Structure Level Pattern Image Note
TS27: spinal ganglion Present Regionally restricted S1G Expression in spinal ganglion, specific to neurons.

Specimen S1K: postnatal newborn; Bnc2Gt(pU21)18Imeg/Bnc2+ (more )
Structure Level Pattern Image Note
TS27: bladder Present Regionally restricted S1K Expression around bladder, urethra, rectum and spinal cord.
TS27: rectum Present Regionally restricted S1K Expression around bladder, urethra, rectum and spinal cord.
TS27: spinal cord Present Regionally restricted S1K Expression around bladder, urethra, rectum and spinal cord.
TS27: urethra Present Regionally restricted S1K Expression around bladder, urethra, rectum and spinal cord.

Specimen S1M: postnatal newborn; Bnc2Gt(pU21)18Imeg/Bnc2+ (more )
Structure Level Pattern Image Note
TS27: hair outer root sheath Present Regionally restricted S1M Expression in outer root sheath and matrix of anlagen follicle.
TS27: hair root sheath matrix Present Regionally restricted S1M Expression in outer root sheath and matrix of anlagen follicle.

Specimen S2A: postnatal newborn; Bnc2Gt(pU21)18Imeg/Bnc2+ (more )
Structure Level Pattern Image Note
TS27: vestibulo-cochlear ganglion Present Regionally restricted S2A Expression in brain limited to vestibulocochlear ganglia.
TS27: telencephalon Absent S2A No expression in cerebral hemispheres
TS27: meninges Present S2A
TS27: perichondrium Present Regionally restricted S2A Expression in perichondria around ear.
TS27: molar Present S2A Expression in molar tooth buds.

Specimen S2B: postnatal newborn; Bnc2Gt(pU21)18Imeg/Bnc2+ (more )
Structure Level Pattern Image Note
TS27: vestibulo-cochlear ganglion Present Regionally restricted S2B

Specimen S4A: postnatal newborn; Bnc2Gt(pU21)18Imeg/Bnc2+ (more )
Structure Level Pattern Image Note
TS27: cervical loop Present Regionally restricted S4A In inferior molar, expression specific to cervical loop.
TS27: lower jaw molar Present Regionally restricted S4A In inferior molar, expression specific to cervical loop.

Specimen S4B: postnatal newborn; Bnc2Gt(pU21)18Imeg/Bnc2+ (more )
Structure Level Pattern Image Note
TS27: lower jaw molar enamel organ Present Regionally restricted S4B Expression restricted to inner enamel epithelium.


Contributing Projects:
Mouse Genome Database (MGD), Gene Expression Database (GXD), Mouse Models of Human Cancer database (MMHCdb) (formerly Mouse Tumor Biology (MTB)), Gene Ontology (GO)
Citing These Resources
Funding Information
Warranty Disclaimer, Privacy Notice, Licensing, & Copyright
Send questions and comments to User Support.
last database update
12/30/2025
MGI 6.24
The Jackson Laboratory