About   Help   FAQ
Gene Expression Data
Assay Details
Assay
Reference: J:25923 Cserjesi P, et al., MHox: a mesodermally restricted homeodomain protein that binds an essential site in the muscle creatine kinase enhancer. Development. 1992 Aug;115(4):1087-101
Assay type: RNA in situ
MGI Accession ID: MGI:5787781
Gene symbol: Prrx1
Gene name: paired related homeobox 1
Probe: Mhox probe-1
Probe preparation: Antisense labelled with S35 RNA
Visualized with: Autoradiography
Results
Specimen not shown E9.0: embryonic day 9.0 (more )
Structure Level Pattern Image Note
TS14: branchial arch Present Expression first detectable at about 9 days p.c. in the lateral mesoderm and newly formed visceral arches.
TS14: mesenchyme derived from lateral plate Present Expression first detectable at about 9 days p.c. in the lateral mesoderm and newly formed visceral arches.

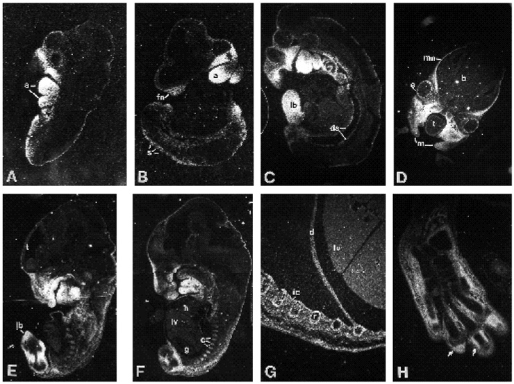
Specimen 7A: embryonic day 9.5 (more )
Structure Level Pattern Image Note
TS15: branchial arch Strong 7A
TS15: head Strong Regionally restricted 7A Strong expression in facial primordia.
TS15: future brain Absent 7A
TS15: future spinal cord Absent 7A

Specimen 7B: embryonic day 9.5 (more )
Structure Level Pattern Image Note
TS15: branchial arch Strong 7B
TS15: fronto-nasal process Strong 7B
TS15: dermomyotome Present 7B

Specimen 7C: embryonic day 10.5 (more )
Structure Level Pattern Image Note
TS17: branchial arch Strong 7C
TS17: head Strong Regionally restricted 7C Strong expression in facial primordia.
TS17: limb bud Present 7C
TS17: dorsal aorta Present 7C

Specimen 7D: embryonic day 13.5 (more )
Structure Level Pattern Image Note
TS21: mandible Present 7D
TS21: eye Present 7D
TS21: meninges Present 7D
TS21: brain Absent 7D

Specimen 7E: embryonic day 13.5 (more )
Structure Level Pattern Image Note
TS21: limb Strong Regionally restricted 7E
TS21: limb cartilage condensation Absent 7E No expression in the central core of limb, coresponding to regions of cartilage differentiation.

Specimen 7F: embryonic day 13.5 (more )
Structure Level Pattern Image Note
TS21: gut Absent 7F
TS21: heart Absent 7F
TS21: liver Absent 7F

Specimen 7G: embryonic day 15.5 (more )
Structure Level Pattern Image Note
TS23: liver Absent 7G
TS23: perichondrium Moderate Regionally restricted 7G Moderate levels of expression in perichondrial tissue surrounding the ribs
TS23: diaphragm Moderate 7G
TS23: intercostal muscle Moderate 7G

Specimen 7H: embryonic day 15.5 (more )
Structure Level Pattern Image Note
TS23: hindlimb phalanx Strong Regionally restricted 7H Strong expression in distal tips of phalanges of digits.
TS23: perichondrium Present Regionally restricted 7H Expression in perichondrial tissue surrounding the developing skeleton.

Specimen not shown E15.5: embryonic day 15.5 (more )
Structure Level Pattern Image Note
TS23: embryo Weak Generally low expression in embryo.
TS23: axial muscle Present
TS23: face Present
TS23: limb Present


Contributing Projects:
Mouse Genome Database (MGD), Gene Expression Database (GXD), Mouse Models of Human Cancer database (MMHCdb) (formerly Mouse Tumor Biology (MTB)), Gene Ontology (GO)
Citing These Resources
Funding Information
Warranty Disclaimer, Privacy Notice, Licensing, & Copyright
Send questions and comments to User Support.
last database update
03/24/2026
MGI 6.24
The Jackson Laboratory