About   Help   FAQ
Gene Expression Data
Assay Details
Assay
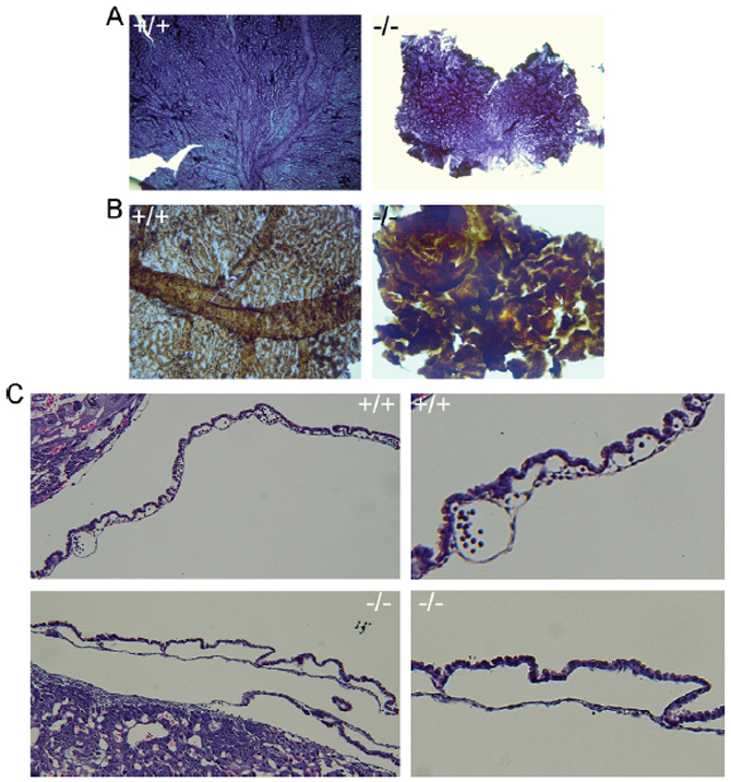
Reference: J:152821 Tian Y, et al., Essential role for the Pak4 protein kinase in extraembryonic tissue development and vessel formation. Mech Dev. 2009 Aug-Sep;126(8-9):710-20
Assay type: Immunohistochemistry
MGI Accession ID: MGI:5779288
Gene symbol: Pecam1
Gene name: platelet/endothelial cell adhesion molecule 1
Antibody: Anti-CD31
Detection system: Secondary antibody coupled to horseradish peroxidase
Results
Specimen 2B +/+: embryonic day 10.5 (more )
Structure Level Pattern Image Note
TS17: yolk sac blood vessel Present 2B +/+

Specimen 2B -/-: embryonic day 10.5; Pak4tm1Amin/Pak4tm1Amin (more )
Structure Level Pattern Image Note
TS17: yolk sac blood vessel Weak 2B -/- There was poor vascular development, so there was only staining in a honeycomb-like primitive vascular plexus.

Specimen 7A -/-: embryonic day 9.5; Pak4tm1Amin/Pak4tm1Amin (more )
Structure Level Pattern Image Note
TS15: blood vessel Weak 7A -/- Middle , 7A -/- Upper , 7A -/- Lower Expression was dramatically reduced in the mutant due to defects/absence of branched networks of small vessels.

Specimen 7A +/+: embryonic day 9.5 (more )
Structure Level Pattern Image Note
TS15: blood vessel Present 7A +/+ Upper , 7A +/+ Middle , 7A +/+ Lower

Specimen 7B -/-: embryonic day 9.5; Pak4tm1Amin/Pak4tm1Amin (more )
Structure Level Pattern Image Note
TS15: blood vessel Weak 7B -/- Expression was dramatically reduced in the mutant due to defects/absence of branched networks of small vessels.

Specimen 7B +/+: embryonic day 9.5 (more )
Structure Level Pattern Image Note
TS15: blood vessel Present 7B +/+


Contributing Projects:
Mouse Genome Database (MGD), Gene Expression Database (GXD), Mouse Models of Human Cancer database (MMHCdb) (formerly Mouse Tumor Biology (MTB)), Gene Ontology (GO)
Citing These Resources
Funding Information
Warranty Disclaimer, Privacy Notice, Licensing, & Copyright
Send questions and comments to User Support.
last database update
03/24/2026
MGI 6.24
The Jackson Laboratory